Foram encontradas 775 questões.
Provas
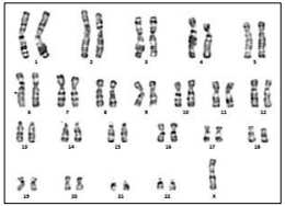
A figura apresenta um cariótipo com banda G representando uma constituição cromossômica:

Diante do exposto, assinale a afirmativa correta.
Provas
I. Cada complexo do coletor de luz consiste em uma molécula de clorofila a ligada a proteínas. II. O complexo do centro de reação é uma associação de proteínas organizadas que aprisionam um par especial de moléculas de clorofila a e clorofila b. III. O complexo do centro de reação também possui uma molécula capaz de receber elétrons e tornar-se reduzida, sendo chamada de aceptor primário de elétrons.
Está correto o que se afirma apenas em
Provas
A partir dos dados anteriores, analise as afirmativas a seguir.
I. Fosfofrutocinase é uma importante enzima que catalisa a etapa 4 da glicólise. II. À medida que o ATP acumula, há inibição da enzima fosfofrutocinase e aceleração da glicólise. III. Conforme o citrato é acumulado, a glicólise diminui e a oferta de grupos acetila ao ciclo do ácido cítrico diminui. IV. A enzima torna-se ativa novamente quando o trabalho celular converte ATP em ADP (e AMP) mais rápido do que o ATP está sendo regenerado.
Está INCORRETO o que se afirma apenas em
Provas
Ao analisar o experimento, pode-se concluir que:
Provas
Provas
Determinado professor separou sua turma em dois grandes grupos – o grupo A e grupo B – e pediu que o grupo A descrevesse três exemplos de rota do anabolismo e o grupo B três exemplos de rota do catabolismo. O resultado consta a seguir:
Grupo A: I – síntese de aminoácidos a partir de moléculas menores; II – fotossíntese; III – processo de degradação de moléculas, liberando energia.
Grupo B: I – hidrólise de ATP; II – síntese de proteínas; III – processo de construção de moléculas, consumindo energia.
Sobre esse contexto, assinale a afirmativa correta.
Provas
Provas
Provas
Sobre os conceitos de mutações, analise as afirmativas a seguir.
I. Podem ocorrer tanto em células da linhagem germinativa quanto em células somáticas.
II. Somente as mutações que ocorrem na linhagem germinativa podem ser transmitidas aos descendentes.
III. Em geral, as mutações são deletérias e dominantes.
Está correto o que se afirma apenas em
Provas
Caderno Container