Foram encontradas 720 questões.
Os vírus são agentes infecciosos sem organização celular
e que dependem da maquinaria celular para se replicarem. São classificados de acordo com o tipo de material
genético que possuem: vírus de DNA ou vírus de RNA.
Essa diferença influencia o modo como infectam a célula
hospedeira e como se replicam.
Com relação aos vírus de DNA e aos vírus de RNA, é correto afirmar que, de forma geral,
Com relação aos vírus de DNA e aos vírus de RNA, é correto afirmar que, de forma geral,
Provas
Questão presente nas seguintes provas
O corpo humano apresenta diversos tipos celulares, cada
um plenamente adaptado à sua função. Todos os tipos
celulares de um organismo humano são oriundos da
célula ovo, ou zigoto.
A figura a seguir ilustra alguns tipos celulares gerados a partir da célula ovo:
(https://colegiovascodagama.pt)
Os processos ilustrados
A figura a seguir ilustra alguns tipos celulares gerados a partir da célula ovo:
(https://colegiovascodagama.pt)
Os processos ilustrados
Provas
Questão presente nas seguintes provas
A bomba de sódio e potássio é uma proteína transmembrana que transporta íons de sódio (Na+) e íons de
potássio (K+) mantendo uma maior concentração de Na+
fora da célula e uma maior concentração de K+ dentro da
célula. Esse processo é crucial para manter o potencial
de repouso da membrana celular, essencial para a função de células nervosas e musculares, por exemplo.
O transporte celular de íons de sódio (Na+) e íons de potássio (K+) ocorre
O transporte celular de íons de sódio (Na+) e íons de potássio (K+) ocorre
Provas
Questão presente nas seguintes provas
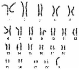
O cariótipo, conjunto de cromossomos de uma espécie,
pode ser organizado em uma representação, denominada cariograma, como mostrado na figura a seguir:
(www.vivendociencias.com.br)
A análise desse cariograma indica que se trata de uma pessoa do sexo
(www.vivendociencias.com.br)
A análise desse cariograma indica que se trata de uma pessoa do sexo
Provas
Questão presente nas seguintes provas
A baleia azul, o maior animal do mundo, é o que também
conta com a maior quantidade de gordura. Em um estudo envolvendo 49 espécies de mamíferos dos Estados
Unidos e do Brasil, pesquisadores descobriram que o
cetáceo tinha a maior percentagem de gordura corporal,
mais de 35%.
(www.bbc.com.)
Os lipídeos, na forma de gordura da baleia, exercem funções importantes nesses animais, como
(www.bbc.com.)
Os lipídeos, na forma de gordura da baleia, exercem funções importantes nesses animais, como
Provas
Questão presente nas seguintes provas
Os lisossomos são formados a partir de uma determinada organela celular que os empacota em vesículas contendo enzimas digestivas. Os lisossomos são
essenciais para a digestão intracelular, degradando
materiais como organelas danificadas ou bactérias.
Tal organela, responsável pela síntese, modificação e embalagem de proteínas e outros materiais, incluindo as enzimas dos lisossomos é
Tal organela, responsável pela síntese, modificação e embalagem de proteínas e outros materiais, incluindo as enzimas dos lisossomos é
Provas
Questão presente nas seguintes provas
Analise a molécula a seguir:
(www.sobiologia.com.br)
Essa molécula é o ATP (adenosina trifosfato), a principal estrutura de fornecimento de energia nos processos celulares.
Durante a respiração mitocondrial,
(www.sobiologia.com.br)
Essa molécula é o ATP (adenosina trifosfato), a principal estrutura de fornecimento de energia nos processos celulares.
Durante a respiração mitocondrial,
Provas
Questão presente nas seguintes provas
Relatório do Estado Global do Clima, publicado pela
Organização Meteorológica Mundial (WMO, na sigla
em inglês), apresenta dados considerados chave para
monitorar o sistema climático global. Foi reiterada a
necessidade de modificar a trajetória global e reduzir as
emissões de gases de efeito estufa e investir em sistemas meteorológicos e de alertas para proteger a população dos impactos de eventos extremos.
(www.gov.br)
As mudanças climáticas são caracterizadas
(www.gov.br)
As mudanças climáticas são caracterizadas
Provas
Questão presente nas seguintes provas
A permutação, ou crossing-over, permite uma recombinação genética entre cromossomos. Na prófase I, fase em
que esse fenômeno ocorre, os cromossomos vindos dos
progenitores trocam pedaços, como mostrado na figura
a seguir.
(https://colegiovascodagama.pt)
A permutação durante a prófase I da meiose
(https://colegiovascodagama.pt)
A permutação durante a prófase I da meiose
Provas
Questão presente nas seguintes provas
A mitose é um processo de divisão celular que permite o
crescimento e a regeneração de tecidos. Na ilustração a
seguir é mostrada uma célula em uma das etapas dessa
divisão celular.
(www.biologianet.com)
Com relação ao ciclo celular mitótico e à etapa ilustrada, verifica-se que a figura corresponde à
(www.biologianet.com)
Com relação ao ciclo celular mitótico e à etapa ilustrada, verifica-se que a figura corresponde à
Provas
Questão presente nas seguintes provas
Cadernos
Caderno Container