Magna Concursos

Foram encontradas 100 questões.

1525327 Ano: 2003
Disciplina: Biologia
Banca: CESPE / CEBRASPE
Orgão: SAAE Alagoinhas-BA
Provas:

enunciado 1525327-1enunciado 1525327-2


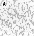
A microscopia é fundamental na análise bacteriológica. Diferentes métodos de identificação bacteriana, como a bacterioscopia e a cultura, têm grande importância na análise de água. As figuras acima ilustram bactérias coradas pelo método de Gram. A partir dessas informações e considerando os aspectos de qualidade da água e microbiologia, julgue os itens subsequentes.

Os coliformes fecais Gram-positivos, que não fermentam a lactose, geralmente são patogênicos.

 

Provas

Questão presente nas seguintes provas
1525326 Ano: 2003
Disciplina: Biologia
Banca: CESPE / CEBRASPE
Orgão: SAAE Alagoinhas-BA
Provas:

enunciado 1525326-1enunciado 1525326-2


A microscopia é fundamental na análise bacteriológica. Diferentes métodos de identificação bacteriana, como a bacterioscopia e a cultura, têm grande importância na análise de água. As figuras acima ilustram bactérias coradas pelo método de Gram. A partir dessas informações e considerando os aspectos de qualidade da água e microbiologia, julgue os itens subsequentes.

As bactérias Gram-positivas assumem coloração roxa e as Gram-negativas, coloração vermelha.

 

Provas

Questão presente nas seguintes provas
1525325 Ano: 2003
Disciplina: Direito Sanitário
Banca: CESPE / CEBRASPE
Orgão: SAAE Alagoinhas-BA
Provas:

A água é condição essencial de vida a todos os seres vivos. O direito à água é um dos direitos fundamentais do ser humano: o direito à vida, como estipulado no art. 3.º da Declaração Universal dos Direitos do Homem.

Apesar da grande quantidade de água na Terra, apenas uma pequena parte dela encontra-se na forma de água potável. Os processos para tornar a água potável são lentos e muito onerosos.

Um sistema de tratamento de água pode ter várias etapas, dependendo das características da água bruta e da utilização da água tratada. Para um perfeito dimensionamento do sistema é primordial saber qual é a procedência da água bruta e a utilização da água tratada.


Nesse contexto, julgue os seguintes itens.

De acordo com o padrão de potabilidade estabelecido pela legislação vigente no Brasil, é recomendada a pesquisa de enterovírus na água com o objetivo final de eliminação desse organismo patogênico. A análise de turbidimetria do efluente filtrado é importante nessa pesquisa.

 

Provas

Questão presente nas seguintes provas
1525324 Ano: 2003
Disciplina: Direito Sanitário
Banca: CESPE / CEBRASPE
Orgão: SAAE Alagoinhas-BA
Provas:

A água é condição essencial de vida a todos os seres vivos. O direito à água é um dos direitos fundamentais do ser humano: o direito à vida, como estipulado no art. 3.º da Declaração Universal dos Direitos do Homem.

Apesar da grande quantidade de água na Terra, apenas uma pequena parte dela encontra-se na forma de água potável. Os processos para tornar a água potável são lentos e muito onerosos.

Um sistema de tratamento de água pode ter várias etapas, dependendo das características da água bruta e da utilização da água tratada. Para um perfeito dimensionamento do sistema é primordial saber qual é a procedência da água bruta e a utilização da água tratada.


Nesse contexto, julgue os seguintes itens.

Mesmo em regiões abastecidas por rede de água potável, é essencial a vacinação da população contra a doença de Chagas, pois seu agente etiológico é transmitido pela ingestão de água contaminada.

 

Provas

Questão presente nas seguintes provas
1525323 Ano: 2003
Disciplina: Direito Sanitário
Banca: CESPE / CEBRASPE
Orgão: SAAE Alagoinhas-BA
Provas:

A água é condição essencial de vida a todos os seres vivos. O direito à água é um dos direitos fundamentais do ser humano: o direito à vida, como estipulado no art. 3.º da Declaração Universal dos Direitos do Homem.

Apesar da grande quantidade de água na Terra, apenas uma pequena parte dela encontra-se na forma de água potável. Os processos para tornar a água potável são lentos e muito onerosos.

Um sistema de tratamento de água pode ter várias etapas, dependendo das características da água bruta e da utilização da água tratada. Para um perfeito dimensionamento do sistema é primordial saber qual é a procedência da água bruta e a utilização da água tratada.


Nesse contexto, julgue os seguintes itens.

A Portaria n.º 1.469, do Ministério da Saúde, estabelece normas de qualidade da água para consumo humano em todo o território nacional.

 

Provas

Questão presente nas seguintes provas
1525297 Ano: 2003
Disciplina: Informática
Banca: CESPE / CEBRASPE
Orgão: SAAE Alagoinhas-BA

enunciado 1525297-1


A figura acima mostra uma janela do Excel 2000, contendo uma planilha com gasto mensal, por pessoa, com medicamentos de uso regular, para algumas classes de renda per capita. Considerando essa figura, julgue os itens seguintes, referentes ao Excel 2000.

Para se visualizar, na barra de status, o valor total da soma dos conteúdos das células de B3 a B6, é suficiente selecionar as referidas células.

 

Provas

Questão presente nas seguintes provas
1525296 Ano: 2003
Disciplina: Informática
Banca: CESPE / CEBRASPE
Orgão: SAAE Alagoinhas-BA

enunciado 1525296-1


A figura acima mostra uma janela do Excel 2000, contendo uma planilha com gasto mensal, por pessoa, com medicamentos de uso regular, para algumas classes de renda per capita. Considerando essa figura, julgue os itens seguintes, referentes ao Excel 2000.

Por meio de opção encontrada no menu enunciado 1525296-2, é possível salvar a planilha em edição no formato do Word 2000. Nesse caso, será gerado um arquivo contendo uma tabela com os conteúdos da planilha mostrada.

 

Provas

Questão presente nas seguintes provas
1525295 Ano: 2003
Disciplina: Informática
Banca: CESPE / CEBRASPE
Orgão: SAAE Alagoinhas-BA

enunciado 1525295-1


A figura acima mostra uma janela do Excel 2000, contendo uma planilha com gasto mensal, por pessoa, com medicamentos de uso regular, para algumas classes de renda per capita. Considerando essa figura, julgue os itens seguintes, referentes ao Excel 2000.

Para se obter o maior valor entre os conteúdos das células de B3 a B6, pondo o resultado na célula B7, é suficiente clicar a célula B7; digitar =MAIOR(B3,B6) e, a seguir, teclar enunciado 1525295-2 .

 

Provas

Questão presente nas seguintes provas
1525294 Ano: 2003
Disciplina: Informática
Banca: CESPE / CEBRASPE
Orgão: SAAE Alagoinhas-BA

enunciado 1525294-1


A figura acima mostra uma janela do Excel 2000, contendo uma planilha com gasto mensal, por pessoa, com medicamentos de uso regular, para algumas classes de renda per capita. Considerando essa figura, julgue os itens seguintes, referentes ao Excel 2000.

Caso se selecione as células A1 e A2 e, a seguir, se clique o botão enunciado 1525294-2, as referidas células serão mescladas. Caso, imediatamente após essas ações, o botão enunciado 1525294-3 seja clicado, a ação realizada anteriormente será desfeita.

 

Provas

Questão presente nas seguintes provas
1525293 Ano: 2003
Disciplina: Informática
Banca: CESPE / CEBRASPE
Orgão: SAAE Alagoinhas-BA

enunciado 1525293-1


A figura acima mostra uma janela do Excel 2000, contendo uma planilha com gasto mensal, por pessoa, com medicamentos de uso regular, para algumas classes de renda per capita. Considerando essa figura, julgue os itens seguintes, referentes ao Excel 2000.

É possível formatar as células de B3 a B6 para moeda por meio das funcionalidades da opção Célula, encontradas no menu enunciado 1525293-2.

 

Provas

Questão presente nas seguintes provas