Foram encontradas 1.558 questões.
Paciente adulto, em sua anamnese, diz ser portador de tuberculose. A equipe de saúde bucal corre grande risco de contrair a doença, visto que esta se propaga por meio de gotículas que são expelidas. Alguns protocolos de biossegurança podem ser adotados a fim de reduzir o nível de transmissão durante a consulta odontológica, EXCETO
Provas
O ambiente odontológico, pelas suas particularidades, oferece um quadro ideal para a transmissão de doenças infecciosas. A esse respeito, assinale a alternativa que NÃO indica um meio de transmissão para a hepatite B.
Provas
Em odontologia, a ergonomia objetiva a simplificação do trabalho, prevenção de fadiga e maior conforto tanto para o cirurgião dentista como para a equipe. Para tanto, classificaram os tipos de movimentos executados durante os procedimentos odontológicos. Dessa forma, para o melhor rendimento do trabalho, o cirurgião dentista deve restringir-se aos movimentos
Provas
Um cirurgião dentista fez uma moldagem inferior utilizando alginato. Rotineiramente, qual quantidade de colheres do pó foi necessária?
Provas
Preencha a lacuna e assinale a alternativa correta. _____________________ é a imagem formada após a incidência dos feixes primários de raios X sem que haja processamento.
Provas
A figura a seguir representa um(a):

Provas
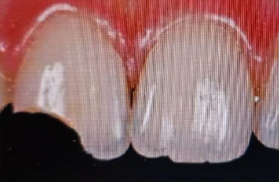
Observe a figura a seguir:

Um cirurgião dentista precisa finalizar a restauração estética da paciente. Para isso, qual material odontológico é indicado?
Provas
Sobre o uso das luvas na rotina odontológica, assinale a alternativa INCORRETA.
Provas
Paciente chegou à UBS com queixa de dor no terceiro molar inferior esquerdo. Em sua ficha clínica, deverá ser anotado o dente
Provas
No sistema de identificação dos dentes pelo Método Cruz de Redier, os dentes decíduos são numerados com
Provas
Caderno Container