Foram encontradas 340 questões.
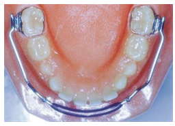
Observe a imagem e indique o equipamento odontológico demonstrado:

Provas
Questão presente nas seguintes provas
Os selantes são materiais que formam uma barreira
física entre a superfície dentária e o meio bucal, o que
evita a retenção de bactérias e restos alimentares na superfície dentária. Os selantes são aplicados nas cicatrículas e fissuras de dentes:
Provas
Questão presente nas seguintes provas
Sobre a limpeza dos instrumentais odontológicos, em
lavadora ultrassônica, a mesma deve estar ligada e na
temperatura de:
Provas
Questão presente nas seguintes provas
A limpeza deve ser realizada em todo artigo odontológico contaminado. É o mecanismo fundamental para
remoção de matéria orgânica e inorgânica/sujidade presente nos artigos. Não é objetivo da limpeza dos artigos
contaminados:
Provas
Questão presente nas seguintes provas
Sobre o cemento, analise os itens:
I- Tecido mineralizado especializado que recobre as raízes dos dentes, revestindo a dentina radicular, composto de 46% de material inorgânico.
II- Se localiza no interior da cavidade pulpar (circundada pela dentina).
III- Tem as funções nutritiva, sensorial e defensiva do dente.
É CORRETO o que se afirma em:
I- Tecido mineralizado especializado que recobre as raízes dos dentes, revestindo a dentina radicular, composto de 46% de material inorgânico.
II- Se localiza no interior da cavidade pulpar (circundada pela dentina).
III- Tem as funções nutritiva, sensorial e defensiva do dente.
É CORRETO o que se afirma em:
Provas
Questão presente nas seguintes provas
Sobre a Dentina, é INCORRETO afirmar:
Provas
Questão presente nas seguintes provas
Arco Palatoglosso é a estrutura anatômica que marca
o limite bucal:
Provas
Questão presente nas seguintes provas
“De acordo com a Lei 8080/90, entende-se por o conjunto articulado de ações, em todos os níveis de complexidade, que visem a garantir promoção,
prevenção, recuperação e reabilitação odontológica, individual e coletiva, inseridas no contexto da integralidade da atenção à saúde.”.
Assinale a alternativa que preenche, CORRETAMENTE, a lacuna do texto:
Assinale a alternativa que preenche, CORRETAMENTE, a lacuna do texto:
Provas
Questão presente nas seguintes provas
Vínculo, de acordo com a Política Nacional de Saúde
Bucal é responsabilizar a unidade ou serviço de saúde na
solução dos problemas em sua área de abrangência, através da oferta de ações qualificadas, eficazes e que permitam o controle, pelo usuário, no momento de sua execução. O vínculo é:
I- a expressão-síntese da humanização da relação com o usuário e sua construção requer a definição das responsabilidades de cada membro da equipe pelas tarefas necessárias ao atendimento nas situações de rotina ou imprevistas;
II- o resultado das ações do acolhimento e, principalmente, da qualidade da resposta (clínica ou não) recebida pelo usuário;
III- implica-se com os problemas e demandas dos usuários, garantindo respostas resolutivas, tornando-se corresponsável pelo enfrentamento dos fatores associados com o processo saúde-doença em cada território.
É CORRETO o que se afirma em:
I- a expressão-síntese da humanização da relação com o usuário e sua construção requer a definição das responsabilidades de cada membro da equipe pelas tarefas necessárias ao atendimento nas situações de rotina ou imprevistas;
II- o resultado das ações do acolhimento e, principalmente, da qualidade da resposta (clínica ou não) recebida pelo usuário;
III- implica-se com os problemas e demandas dos usuários, garantindo respostas resolutivas, tornando-se corresponsável pelo enfrentamento dos fatores associados com o processo saúde-doença em cada território.
É CORRETO o que se afirma em:
Provas
Questão presente nas seguintes provas
Dos princípios norteadores das ações da Política Nacional de Saúde Bucal, cita-se assegurar que toda e qualquer ação seja regida pelos princípios:
Provas
Questão presente nas seguintes provas
Cadernos
Caderno Container