Magna Concursos

Foram encontradas 570 questões.

2673885 Ano: 2023
Disciplina: Biologia
Banca: FGV
Orgão: Pref. São Paulo-SP
Pesquisadores do Instituto Oceanográfico da Universidade de São Paulo mostraram que a acidificação dos oceanos afeta animais marinhos. Segundo eles, quando a água fica ácida, o oceano retira íons de cálcio do ambiente para neutralizá-la. Assim, quanto mais ácida a água, mais cálcio é necessário para a neutralização. O resultado é que haverá menos cálcio disponível no ambiente para que organismos como estrelas do mar e crustáceos formem seu exoesqueleto calcáreo.
O fenômeno da acidificação dos oceanos ocorre devido
 

Provas

Questão presente nas seguintes provas
2673884 Ano: 2023
Disciplina: Biologia
Banca: FGV
Orgão: Pref. São Paulo-SP
Durante a fabricação de cerveja, a fase da fermentação alcoólica do mosto inicia-se com o término do oxigênio. Nessa fase, a levedura Saccharomyces cerevisiae será responsável pela produção de álcool e gás carbônico, reduzindo o teor de açúcares do meio. A fermentação do mosto deve ser feita em ausência de oxigênio porque
 

Provas

Questão presente nas seguintes provas
2673883 Ano: 2023
Disciplina: Biologia
Banca: FGV
Orgão: Pref. São Paulo-SP
Um estudo desenvolvido na Universidade Estadual de Campinas mostrou que 90% dos íons cálcio responsáveis pela contração das células cardíacas ficam armazenados em compartimento da própria célula. A liberação dos íons, deste compartimento para o citoplasma durante a atividade elétrica, dispara a contração. Os íons cálcio, necessários para a contração muscular, são liberados principalmente do(a)
 

Provas

Questão presente nas seguintes provas
2673882 Ano: 2023
Disciplina: Biologia
Banca: FGV
Orgão: Pref. São Paulo-SP
A matriz elétrica de uma região é composta pelo conjunto de fontes de energia disponíveis para serem utilizadas apenas para a geração de energia elétrica. Os gráficos a seguir mostram a composição das matrizes elétricas, brasileira e mundial.


Enunciado 3585526-1


Com relação às matrizes acima, analise os itens a seguir:
I. A energia nuclear, em destaque na matriz elétrica mundial, possui alta eficiência energética e baixo impacto socioambiental, pois não produz gases poluentes ou rejeitos que possam oferecer riscos à saúde e contaminar o ambiente. II. A matriz elétrica do Brasil é bem diferente da matriz elétrica mundial. Apenas 21,9% das fontes utilizadas no Brasil provém de recursos não renováveis, como o gás natural e o carvão mineral. III. O carvão mineral, recurso energético não renovável mais importantes na matriz elétrica mundial, gera impactos severos ao ambiente - sua queima emite gases de efeito estufa e gases que contribuem para a formação de chuvas ácidas.
Está correto o que se afirma em
 

Provas

Questão presente nas seguintes provas
2673881 Ano: 2023
Disciplina: Biologia
Banca: FGV
Orgão: Pref. São Paulo-SP

Em junho de 2022, o Sistema de Estimativas de Emissões de Gases de Efeito Estufa (SEEG), ligado ao Observatório do Clima, divulgou os dados de 2019 por município — oito dos dez maiores emissores de gases de efeito estufa do Brasil estão na Amazônia.

(Fonte: g1.globo.com/meio-ambiente. Junho/2022)

Enunciado 3585525-1

A elevada emissão de gases de efeito estufa registrada na Amazônia é consequência, principalmente da(o)

 

Provas

Questão presente nas seguintes provas
2673880 Ano: 2023
Disciplina: Biologia
Banca: FGV
Orgão: Pref. São Paulo-SP

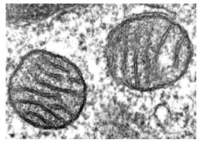
Observe a imagem obtida por microscopia eletrônica de transmissão.

Enunciado 3585524-1

As organelas acima

 

Provas

Questão presente nas seguintes provas
2673879 Ano: 2023
Disciplina: Biologia
Banca: FGV
Orgão: Pref. São Paulo-SP
Todas as células são envolvidas por uma membrana. A membrana plasmática circunda a célula, define seus limites e mantém as diferenças essenciais entre o citosol e o ambiente extracelular. Já no interior das células eucarióticas, as membranas das organelas mantêm as diferenças características entre o conteúdo de cada organela e o citosol. Em relação a composição, estrutura e funcionamento das membranas biológicas, é correto afirmar que
 

Provas

Questão presente nas seguintes provas
2673878 Ano: 2023
Disciplina: Biologia
Banca: FGV
Orgão: Pref. São Paulo-SP

Em uma atividade realizada nas aulas de Biologia, os alunos trouxeram diferentes rótulos de alimentos consumidos por eles ao longo de uma semana. Em grupos, eles fizeram a leitura das informações contidas nos rótulos, pesquisaram seus significados e investigaram a função das diversas substâncias (nutrientes, conservantes etc.) presentes nesses alimentos. Ao final, realizaram um debate onde alguns aspectos da educação alimentar e nutricional foram abordados, tais como hábitos alimentares e cultura, o padrão de consumo alimentar atual e o grau de processamento dos alimentos consumidos.

Com relação à atividade descrita, analise os itens a seguir:

I. O termo diet, observado em alguns rótulos, é uma informação nutricional complementar, e indica que o alimento apresenta a quantidade de algum nutriente ou de seu valor energético ligeiramente reduzido, quando comparado a um alimento convencional.

II. Os rótulos de alimentos transgênicos podem servir de instrumento para estimular os alunos a pesquisar sobre as tecnologias do DNA, bem como analisar e debater aspectos éticos e legais do seu uso.

III. A atividade de leitura e compreensão das informações dos rótulos dos alimentos tem como um dos objetivos contribuir para a promoção da saúde e redução do risco de doenças crônicas não transmissíveis.

Está correto o que se afirma em

 

Provas

Questão presente nas seguintes provas
2673877 Ano: 2023
Disciplina: Biologia
Banca: FGV
Orgão: Pref. São Paulo-SP
Nos humanos, os rins formam um par de órgãos localizados logo acima da cintura, entre o peritônio e a parede posterior do abdome. Neles estão os néfrons, onde ocorrem as três etapas da fabricação da urina: filtração, reabsorção e secreção.
Um hormônio que interfere diretamente na produção da urina é a vasopressina.
Em relação à vasopressina, é correto afirmar que
 

Provas

Questão presente nas seguintes provas
2673876 Ano: 2023
Disciplina: Biologia
Banca: FGV
Orgão: Pref. São Paulo-SP
Os insetos são o maior grupo animal da terra nos tempos atuais, podendo ser encontrados em praticamente todos os lugares.
O grupo apresenta, caracteristicamente, respiração por
 

Provas

Questão presente nas seguintes provas