Foram encontradas 1.180 questões.
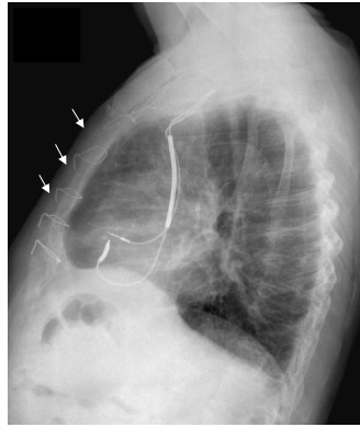
Observe a figura abaixo.

As setas indicam
Provas
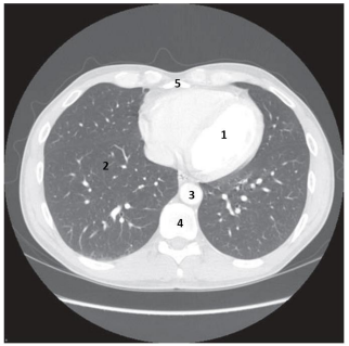
Observe a imagem a seguir.

Assinale a opção que identifica corretamente o número indicado na imagem
Provas
Associe os itens a seguir a seus usos e características.
1. Princípio ALARA.
2. Dosímetro pessoal.
3. Avental de chumbo.
4. Sala de exame pediátrico.
( ) Deve cobrir toda a extensão dos ombros e da região frontal de uma pessoa adulta, até próximo ao joelho.
( ) Deve ser usado para avaliar a exposição à radiação pelos profissionais que trabalham com radiação.
( ) Deve possuir pelo menos 2 aventais de chumbo, 2 protetores de tireoide e 1 par de luvas.
( ) Tão baixo quanto razoavelmente possível. Assinale a opção que indica a relação correta, na ordem apresentada.
Provas
( ) Os aventais de chumbo não têm prazo de validade estabelecido.
( ) A maneira como são guardados os aventais de chumbo influi diretamente na sua durabilidade.
( ) Os aventais de chumbo devem ser mantidos em suporte apropriado, de preferência do tipo toalheiro.
( ) A camada protetora do avental de chumbo não deve apresentar quebras ou fissuras.
( ) Os aventais de chumbo têm prazo de validade de 6 meses.
As afirmativas são, respectivamente:
Provas
Provas
- Anatomia e Fisiologia HumanaSistema Esquelético, Articulações e Músculos
- Protocolos de Exames de Medicina NuclearProcessamento de Imagens Radiológicas
Provas
Provas
- Protocolos de Exames de Medicina NuclearTécnicas Radiográficas em Tomografia Computadorizada
- Protocolos de Exames de Medicina NuclearProcessamento de Imagens Radiológicas
Provas
Entre as possíveis consequências de um extravasamento de contraste podem ser citadas:
Provas
( ) Um contraste é utilizado com a intenção de diferenciar estruturas com densidades semelhantes. ( ) São muito utilizados na seriografia de esôfago, estômago e duodeno (SEED). ( ) O ar é considerado um contraste natural. ( ) Na SEED se utiliza contraste iodado. ( ) Na urografia excretora se utiliza contraste iodado.
As afirmativas são, respectivamente,
Provas
Caderno Container