Foram encontradas 70 questões.
Paciente feminina de 57 anos, hipertensa e diabética tipo 2
insulino-dependente com tratamento irregular, admitida no
pronto socorro há 36 horas por acidente vascular encefálico
isquêmico em topografia de artéria cerebral média esquerda, fora
de tempo de trombólise.
Durante o seu plantão, a paciente evolui com rebaixamento do
nível de consciência e é entubada para proteção de vias aéreas. Ao
exame físico pós-intubação, encontra-se em RASS -5 sem
sedoanalgesia contínua, com anisocoria esquerda > direita,
mantendo hemiplegia dimidiada à direita, pressão arterial de
200x120 mmHg, FC de 65 bpm, ventilando em modo controlado,
bem acoplado e sem assincronias, com ausculta cardíaca e
pulmonar sem alterações.
Exames laboratoriais pós intubação evidenciando Hb 12.2, Ht 36,
leucócitos 9500, plaquetas 240.000, Ur 40, Cr 1.2, Na 132, K 4.2,
Mg 1.9, pH 7.30, pCO2 58, pO2 130 e HCO3 23.

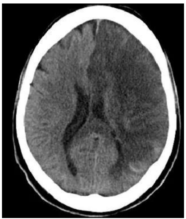
Tomografia computadorizada de crânio sem contraste, com
hipodensidade fronto-parieto-temporal volumosa à esquerda,
apagamento de sulcos e desvio contralateral da linha média.
Provas
Questão presente nas seguintes provas
Assinale a opção que apresenta um antibiótico que não cobre
infecções causadas por Pseudomonas aeruginosa.
Provas
Questão presente nas seguintes provas
Paciente masculino de 65 anos, ex-tabagista e com diagnóstico de
doença pulmonar obstrutiva crônica, em tratamento de leucemia
mieloide aguda com último ciclo de quimioterapia há 8 dias, sem
histórico de internações ou antibioticoterapia recentes, admitido
no pronto atendimento por relato de febre aferida no mesmo dia
de 38,5ºC.
Ao exame físico, em regular estado geral, febril, prostrado, hipocorado 2+/4, desidratado 2+/4, anictérico, com FC 105 bpm, PA 120x85 mmHg, TEC < 3s, ausculta pulmonar e cardíaca sem alterações, sem queixas de vias aéreas superiores ou urinárias.
Realizados exames laboratoriais evidenciando: Hb 8.4 Ht 24, leucócitos totais 1000, neutrófilos 450, linfócitos 400, plaquetas 90.000, Ur 35, Cr 0.9, lactato arterial 1.2 mmol/L, Na 133, K 4.1, Mg 1.8.
Sobre o caso, assinale a afirmativa verdadeira.
Ao exame físico, em regular estado geral, febril, prostrado, hipocorado 2+/4, desidratado 2+/4, anictérico, com FC 105 bpm, PA 120x85 mmHg, TEC < 3s, ausculta pulmonar e cardíaca sem alterações, sem queixas de vias aéreas superiores ou urinárias.
Realizados exames laboratoriais evidenciando: Hb 8.4 Ht 24, leucócitos totais 1000, neutrófilos 450, linfócitos 400, plaquetas 90.000, Ur 35, Cr 0.9, lactato arterial 1.2 mmol/L, Na 133, K 4.1, Mg 1.8.
Sobre o caso, assinale a afirmativa verdadeira.
Provas
Questão presente nas seguintes provas
Paciente feminina de 34 anos, com histórico de nefrolitíase de
repetição e dor neuropática crônica em membro inferior
esquerdo, usuária crônica de dipirona 2g via oral a cada 6 horas,
cetoprofeno 100 mg via oral a cada 12 horas, tramadol 50 mg via
oral a cada 6 horas, amitriptilina 50 mg via oral uma vez por dia e
gabapentina 600 mg via oral a cada 8 horas, é admitida no pronto
atendimento com queixa de lombalgia à esquerda, febre,
hematúria e diminuição do volume urinário há 1 dia.
Ao exame físico, se encontra em regular estado geral, com FC 115 bpm, PA 115x75, tempo de enchimento capilar < 3s, frequência respiratória de 16 irpm, sonolenta, com pupilas isofotorreagentes e apresentando mioclonias difusas e recorrentes.
Exames laboratoriais evidenciando: Hb 12.4, Ht 37, leucócitos totais 12.000, plaquetas 245.000, Cr 4.2, Ur 140, K 5.1, Na 147, lactato 1.0 mmol/L, exame de elementos anormais do sedimento urinário com mais de 1.000.000 hemácias e mais de 1.000.000 leucócitos.
Sobre o caso, assinale a provável etiologia do quadro neurológico apresentado pela paciente.
Ao exame físico, se encontra em regular estado geral, com FC 115 bpm, PA 115x75, tempo de enchimento capilar < 3s, frequência respiratória de 16 irpm, sonolenta, com pupilas isofotorreagentes e apresentando mioclonias difusas e recorrentes.
Exames laboratoriais evidenciando: Hb 12.4, Ht 37, leucócitos totais 12.000, plaquetas 245.000, Cr 4.2, Ur 140, K 5.1, Na 147, lactato 1.0 mmol/L, exame de elementos anormais do sedimento urinário com mais de 1.000.000 hemácias e mais de 1.000.000 leucócitos.
Sobre o caso, assinale a provável etiologia do quadro neurológico apresentado pela paciente.
Provas
Questão presente nas seguintes provas
Paciente feminina de 75 anos, hipertensa, diabética, com histórico
de doença arterial coronariana, 2 infartos agudos do miocárdio
prévios, é admitida no pronto-socorro com queixa de dor torácica
tipo B há cerca de 8 horas da entrada. Exames laboratoriais
mostram duas dosagens de troponina ultrassensível negativas e
com intervalo de 2 horas entre as coletas.
Paciente refere melhora importante das queixas após analgesia com 2g de dipirona endovenosa, 100 mg de cetoprofeno endovenoso, 5 mg de nitrato sublingual e 2 mg de morfina endovenosa. O eletrocardiograma da admissão é o da imagem a seguir.

Eletrocardiograma de 12 derivações, com onda P precedendo todos os complexos QRS, sem supra ou infradesnivelamento do segmento ST e com onda T bifásica (positiva e depois negativa) em V2, V3 e V4.
Frente ao quadro descrito, a melhor conduta é
Paciente refere melhora importante das queixas após analgesia com 2g de dipirona endovenosa, 100 mg de cetoprofeno endovenoso, 5 mg de nitrato sublingual e 2 mg de morfina endovenosa. O eletrocardiograma da admissão é o da imagem a seguir.

Eletrocardiograma de 12 derivações, com onda P precedendo todos os complexos QRS, sem supra ou infradesnivelamento do segmento ST e com onda T bifásica (positiva e depois negativa) em V2, V3 e V4.
Frente ao quadro descrito, a melhor conduta é
Provas
Questão presente nas seguintes provas
Paciente masculino de 55 anos, previamente hipertenso, diabético
tipo 2, com histórico de infarto agudo do miocárdio há 5 anos,
tendo sido realizada angioplastia com stent em artéria
descendente anterior, foi admitido na sala de emergência do
pronto socorro há 24h com quadro de pneumonia comunitária.
Evolui com choque séptico, insuficiência respiratória com
necessidade de intubação orotraqueal.
No início do seu plantão, você recebe o paciente em uso de
noradrenalina na vazão de 0,45 mcg/kg/min e é chamado para
avaliá-lo pois o mesmo se encontra com PAM de 67 mmHg, FC de
60 bpm, tempo de enchimento capilar de 5s e lactato arterial de 5
mmol/L, ventilando em modo assistido controlado, bem acoplado
à ventilação mecânica e sem assincronias.
Você realiza exame de ultrassonografia point of care e identifica:
veia cava inferior com diâmetro de 2, 8 cm, sem variação com
movimentos respiratórios, pulmões com > 3 linhas B por campo
em bases, derrame pleural moderado à direita, diâmetro da via de
saída do ventrículo esquerdo (VSVE) de 1,8 cm e integral da
velocidade do fluxo da VSVE de 10 cm.
Provas
Questão presente nas seguintes provas
Paciente masculino de 55 anos, previamente hipertenso, diabético
tipo 2, com histórico de infarto agudo do miocárdio há 5 anos,
tendo sido realizada angioplastia com stent em artéria
descendente anterior, foi admitido na sala de emergência do
pronto socorro há 24h com quadro de pneumonia comunitária.
Evolui com choque séptico, insuficiência respiratória com
necessidade de intubação orotraqueal.
No início do seu plantão, você recebe o paciente em uso de
noradrenalina na vazão de 0,45 mcg/kg/min e é chamado para
avaliá-lo pois o mesmo se encontra com PAM de 67 mmHg, FC de
60 bpm, tempo de enchimento capilar de 5s e lactato arterial de 5
mmol/L, ventilando em modo assistido controlado, bem acoplado
à ventilação mecânica e sem assincronias.
Você realiza exame de ultrassonografia point of care e identifica:
veia cava inferior com diâmetro de 2, 8 cm, sem variação com
movimentos respiratórios, pulmões com > 3 linhas B por campo
em bases, derrame pleural moderado à direita, diâmetro da via de
saída do ventrículo esquerdo (VSVE) de 1,8 cm e integral da
velocidade do fluxo da VSVE de 10 cm.
Provas
Questão presente nas seguintes provas
Paciente feminina de 32 anos, asmática e obesa, admitida no
pronto-socorro por taquidispneia, tosse e sibilância difusa com
evolução há 1 dia após início de reforma em seu domicílio.
Refratária após medidas iniciais otimizadas, encontra-se em máscara não-reinalante 15 L/min, com uso de musculatura acessória, com tiragem intercostal, sem conseguir falar palavras completas, com frequência respiratória de 32 irpm, sonolenta, FC 125 batimentos por minuto, PA 125 x 75 mmHg e tempo de enchimento capilar < 3s.
Sobre o caso descrito, assinale a afirmativa correta.
Refratária após medidas iniciais otimizadas, encontra-se em máscara não-reinalante 15 L/min, com uso de musculatura acessória, com tiragem intercostal, sem conseguir falar palavras completas, com frequência respiratória de 32 irpm, sonolenta, FC 125 batimentos por minuto, PA 125 x 75 mmHg e tempo de enchimento capilar < 3s.
Sobre o caso descrito, assinale a afirmativa correta.
Provas
Questão presente nas seguintes provas
Paciente masculino de 65 anos, hipertenso, diabético e doente
renal crônico dialítico por permcath em veia jugular interna direita,
é encaminhado da clínica de hemodiálise por mal-estar, astenia e
hipotensão durante sessão de diálise.
Apresenta-se sonolento, com tempo de enchimento capilar de 4 segundos, mottling score de 3,FR de 24 irpm, PA de 75x45 e FC de 120.
Exames laboratoriais com Hb 8.2, Ht 25, leucócitos 17.500, neutrófilos 14.000 com 1500 bastonetes, linfócitos de 1400, Na 137, K de 5.7, Ca T 9.1, albumina 3.5, Mg 1.9, Ur 195, Cr 7.5, pH 7.31, PCO2 39, PO2 87, SO2 94% e HCO3 18.
A conduta imediata mais adequada é
Apresenta-se sonolento, com tempo de enchimento capilar de 4 segundos, mottling score de 3,FR de 24 irpm, PA de 75x45 e FC de 120.
Exames laboratoriais com Hb 8.2, Ht 25, leucócitos 17.500, neutrófilos 14.000 com 1500 bastonetes, linfócitos de 1400, Na 137, K de 5.7, Ca T 9.1, albumina 3.5, Mg 1.9, Ur 195, Cr 7.5, pH 7.31, PCO2 39, PO2 87, SO2 94% e HCO3 18.
A conduta imediata mais adequada é
Provas
Questão presente nas seguintes provas
Paciente masculino, 60 anos, com antecedente de hipertensão,
diabetes mellitus tipo 2 e dislipidemia, admitido por infarto agudo
do miocárdio com supradesnivelamento do segmento ST.
Evolui com parada cardiorrespiratória (PCR) integralmente assistida e conduzida conforme diretrizes do Advanced Cardiac Life Support (ACLS), com duração de 20 minutos e tendo sido identificado ritmo de fibrilação ventricular (FV) por 4 vezes na checagem de ritmo.
Após, evoluiu com retorno à circulação espontânea (RCE). Sobre a situação acima, avalie se as afirmativas a seguir são verdadeiras (V) ou falsas (F).
( ) No atendimento dessa PCR, conforme protocolo ABCDE, o estabelecimento de via aérea definitiva com tubo orotraqueal ou máscara laríngea é prioridade, sendo a primeira conduta a ser tomada pelo médico presente, de preferência durante o primeiro ciclo de RCP ou durante o primeiro intervalo entre ciclos.
( ) Como o paciente apresentou ritmo de FV 2 ou mais vezes, está indicado uso de um antiarrítmico, seja amiodarona ou lidocaína.
( ) Se foi escolhida amiodarona, duas doses - a primeira de 300 mg e a segunda de 150 mg - devem ter sido realizadas.
( ) Após a RCE, esse paciente deve ter sido encaminhado imediatamente à hemodinâmica para realização de cineangiocoronariografia de urgência.
As afirmativas são, respectivamente,
Evolui com parada cardiorrespiratória (PCR) integralmente assistida e conduzida conforme diretrizes do Advanced Cardiac Life Support (ACLS), com duração de 20 minutos e tendo sido identificado ritmo de fibrilação ventricular (FV) por 4 vezes na checagem de ritmo.
Após, evoluiu com retorno à circulação espontânea (RCE). Sobre a situação acima, avalie se as afirmativas a seguir são verdadeiras (V) ou falsas (F).
( ) No atendimento dessa PCR, conforme protocolo ABCDE, o estabelecimento de via aérea definitiva com tubo orotraqueal ou máscara laríngea é prioridade, sendo a primeira conduta a ser tomada pelo médico presente, de preferência durante o primeiro ciclo de RCP ou durante o primeiro intervalo entre ciclos.
( ) Como o paciente apresentou ritmo de FV 2 ou mais vezes, está indicado uso de um antiarrítmico, seja amiodarona ou lidocaína.
( ) Se foi escolhida amiodarona, duas doses - a primeira de 300 mg e a segunda de 150 mg - devem ter sido realizadas.
( ) Após a RCE, esse paciente deve ter sido encaminhado imediatamente à hemodinâmica para realização de cineangiocoronariografia de urgência.
As afirmativas são, respectivamente,
Provas
Questão presente nas seguintes provas
Cadernos
Caderno Container