Foram encontradas 40 questões.
Para a reprodução do guia anterior das coroas provisórias na mesa incisal do articulador, procede-se da seguinte forma:
I. cobre-se a mesa incisal de plástico do articulador com uma camada de papel-alumínio, para evitar a aderência da resina acrílica, e envolve-se a mesa com fita adesiva (± 10 mm de altura), para contê-la.
II. ergue-se o pino guia incisal em 4 a 5 mm e coloca-se resina de rápida polimerização sobre a mesa incisal; então fecha-se o articulador até que ocorra contato do pino com a resina plástica e executam-se os movimentos laterais e protrusivos no ASA, guiados pela concavidade palatina dos dentes anteriores. O percurso traçado na mesa incisal corresponde ao arco gótico de Gysi.
III. após polimerização da resina, refinam-se os traçados com Duralay, erguendo-se o pino incisal ± 1,0 mm e repetindo-se os movimentos.
É correto o que se afirma em
Provas
Reembasamento é o procedimento protético definido como
Provas
As próteses provisórias têm a função de
I. preservar a saúde periodontal do tecido gengival saudável.
II. auxiliar no tratamento e na recuperação do tecido gengival alterado.
III. auxiliar na manutenção da saúde do periodonto tratado.
É correto o que se afirma em
Provas
Sobre a descrição da notação dentária, assinale a alternativa INCORRETA.
Provas
A principal causa de fracasso do tratamento com Próteses Parciais Fixas (PPF) são os dentes pilares
Provas
Nos casos de reconstrução oclusal extensa, em que a grande maioria das superfícies oclusais e/ou palatinas sofrerá modificações, é necessário incorporar as características de uma oclusão ideal. Sobre essas características, assinale a alternativa correta.
Provas
A notação dentária 48 é indicada em terceiro molar
Provas
As técnicas mais usadas para o restabelecimento da DV empregam testes fonéticos e estéticos. Um dos métodos mais conhecidos para sua obtenção é a determinação da Dimensão Vertical de Repouso (DVR), feita com compasso de , régua ou espátula de madeira ou outro instrumento.
Assinale a alternativa que preenche corretamente a lacuna.
Provas
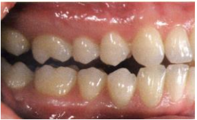
Analise a imagem abaixo para responder à questão 32.

(https://pt.b-ok.lat/book/17416060/4c2e4c).
Com base na imagem acima, observa-se
Provas
Sobre a avaliação da adaptação de próteses antigas, assinale a alternativa que apresenta o tipo de radiografia mais indicado.
Provas
Caderno Container