Foram encontradas 1.359 questões.
Disciplina: Odontologia
Banca: Consulplan
Orgão: Pref. Santa Maria Jetibá-ES
A ampliação dos recursos humanos na odontologia, com a inserção das categorias auxiliares (ASB, TSB e TPD), teve como objetivo racionalizar o trabalho e aumentar sua produtividade e qualidade. São consideradas vantagens da inclusão do pessoal auxiliar na clínica odontológica, EXCETO:
Provas
Disciplina: Odontologia
Banca: Consulplan
Orgão: Pref. Santa Maria Jetibá-ES
Analise a imagem a seguir:

(Robinson & Bird, 2021.)
Qual tratamento está sendo realizado?
Provas
Disciplina: Odontologia
Banca: Consulplan
Orgão: Pref. Santa Maria Jetibá-ES
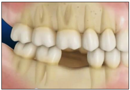
Observe a imagem a seguir:

(Robinson & Bird, 2021.)
De acordo com o sistema de notação dentária ISO/FDI, o dente que está faltando se refere ao:
Provas
Disciplina: Odontologia
Banca: Consulplan
Orgão: Pref. Santa Maria Jetibá-ES
Determinada paciente procurou o cirurgião-dentista para realizar a exodontia de seus terceiros molares. Antes de iniciar o procedimento, o profissional pediu para sua auxiliar que, com auxílio de uma pinça Collin e uma gaze estéril, passasse na face do paciente uma solução de clorexidina a 2%. Esse procedimento realizado pela auxiliar de saúde bucal denomina-se:
Provas
Disciplina: Odontologia
Banca: Consulplan
Orgão: Pref. Santa Maria Jetibá-ES
Ao examinar um paciente totalmente dentado, é possível observar que na arcada superior há 16 dentes. Esses dentes estão inseridos em um osso denominado:
Provas
Disciplina: Odontologia
Banca: Consulplan
Orgão: Pref. Santa Maria Jetibá-ES
É manuseado com a pressão do ar e atinge velocidades de 450.000 rpm. Durante os procedimentos de restauração, a maior parte da estrutura do dente é removida usando essa peça de mão. Para proteger o dente contra o calor da fricção causado pela velocidade extremamente alta da broca, são equipadas com dispositivos de pulverização de água. O dente e a broca são constantemente borrifados com água fria durante o uso. O spray de água também ajuda a remover os detritos ao preparar a cavidade. O equipamento odontológico referido trata-se de:
Provas
Disciplina: Odontologia
Banca: Consulplan
Orgão: Pref. Santa Maria Jetibá-ES
Sabe-se que a técnica de escovação de Bass é uma das mais indicadas para pacientes com periodontite. Para a realização correta desta técnica, a escova deve ser inserida no sulco gengival ou na bolsa periodontal formando um ângulo de:
Provas
Disciplina: Odontologia
Banca: Consulplan
Orgão: Pref. Santa Maria Jetibá-ES
Determinado cirurgião-dentista realizou exame clínico em paciente com periodontite e, a fim de complementar o diagnóstico, solicitou o exame radiográfico periapical completo. Quantas radiografias deverão ser feitas?
Provas
Disciplina: Odontologia
Banca: Consulplan
Orgão: Pref. Santa Maria Jetibá-ES
O esmalte dentário é a estrutura com maior dureza no corpo humano, apresentando 96% de cristais de apatita e 4% de estrutura orgânica e água. Diante de um esmalte desmineralizado, em que há alterações na estrutura do esmalte sadio, o profissional pode realizar avaliação clínica como uma lesão de mancha branca ou Mancha Branca Ativa (MBA). Diante de tal característica clínica, pode-se considerar que:
Provas
Disciplina: Odontologia
Banca: Consulplan
Orgão: Pref. Santa Maria Jetibá-ES
A equipe da Estratégia Saúde da Família (ESF) oportuniza aos cirurgiões-dentistas trabalharem de forma multidisciplinar para o controle do câncer de boca. É essencial que estejam sensibilizados e capacitados para construir ações de prevenção e detecção precoce do câncer, contribuindo para o tratamento em tempo oportuno. Assim, são sinais e sintomas em que o profissional deve ficar alerta para o câncer bucal:
Provas
Caderno Container