Foram encontradas 455 questões.
João tem descendência ucraniana, mas é brasileiro. Após o início da Guerra entre Rússia e Ucrânia, ele decide lutar pelo país de seus antepassados e se junta ao exército ucraniano. Seis meses depois de João chegar à Ucrânia, o conflito bélico chega ao fim, com assinatura do acordo de paz entre Rússia e Ucrânia, em fevereiro de 2023. Passado mais de dois anos após o fim do conflito, a família de João, no Brasil, não tem mais notícias suas. Diante disso, segundo o Código Civil, é correto afirmar que:
Provas
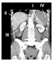
Observe a imagem radiológica abaixo:

Fonte: https://www.lecturio.com/pt/concepts/imagem-do-baco/
Os números I, II, III e IV refere-se a quais órgãos?
Provas
Um tipo de contraste radiológico, sua molécula é composta de um anel de seis membros tri-iodado com duas cadeias orgânicas laterais e um grupo carboxil. Observe a figura e sua estrutura:

A solução do contraste composta por estas três moléculas, são chamadas de meio de contraste:
Provas
Uma radiação é considerada ionizante, quando libera energia mínima suficiente para arrancar um elétron de um átomo, ou molécula, caso contrário é denominada não ionizante.
Sobre os efeitos biológicos das radiações e meios de proteção, assinale a alternativa incorreta.
Provas
Para a formação da imagem radiológica no equipamento de ressonância magnética nuclear, alguns conhecimentos básicos de física das radiações são requeridos. O termo ressonância refere-se à frequência do campo, incidido nos átomos de hidrogênio dos tecidos humanos e refletidos após o desligamento de outro campo.
Assinale a alternativa correta, sobre o funcionamento físico-químico da ressonância magnética nuclear.
Provas
A Física das radiações trata da física aplicada à medicina e à indústria. Esta ciência consiste também de conhecimentos básicos para a formação de profissionais nas áreas tecnológicas, médicas, industrial e nuclear, no que concerne a formação da imagem radiológica.
Referente aos conhecimentos básicos da física das radiações, assinale a alternativa incorreta.
Provas
Disciplina: Noções de Primeiros Socorros
Banca: MS CONCURSOS
Orgão: Pref. Patrocínio-MG
As crianças estão expostas a acidentes em sua rotina diária. Por isso, geralmente, as quedas são mais frequentes em crianças pequenas, sendo a consequência mais comum os machucados/ferimentos na cabeça. Segundo Possuelo et al. (2022), no e-book “Primeiros socorros na Educação Infantil”, se houver sangramento após uma queda com ferimento cortante, você não deve:
Provas
Paciente do sexo masculino, 37 anos, trabalhador rural apresentou úlceras com aspecto de amora na região do palato. O paciente relatou durante a anamnese estar em tratamento sistêmico com anfotericina B para controlar uma infecção fúngica. Qual doença este paciente provavelmente trata?
Provas
Traumatismo dentário cuja as estruturas de suporte do dente são lesionadas, sem aumento de mobilidade ou deslocamento do dente, mas com sensibilidade à percussão. A descrição desse tipo de trauma dental refere-se à:
Provas
A sífilis também conhecida como lues é uma doença sexualmente transmissível causada pelo Treponema Pallidum. Existem três formas de transmissão: sexual, hematogênica e materno-fetal. Sendo assim, a sífilis congênita é caracterizada pela tríade de Hutchinson que são:
Provas
Caderno Container