Foram encontradas 270 questões.
A coluna da esquerda apresenta doenças musculares ou da junção neuromuscular e a da direita, suas
características. Numere a coluna da direita de acordo com a da esquerda.
1. Doença de Thomsen (miotonia congênita) 2. Distrofia muscular de Duchenne 3. Miosite idiopática 4. Miastenia grave
( ) Doença inflamatória caracterizada por fraqueza muscular proximal, a pele pode apresentar eritema difuso ou localizado. Dor muscular espontânea ou à palpação não é frequente.
( ) Fraqueza muscular que aparece ou piora após esforço físico, compromete músculos extraoculares, bulbares, do pescoço, cintura escapular e parte distal dos membros.
( ) Promove um ressalto da musculatura: paciente tem aparência de halterofilista, mas com pouca força. Há dificuldade em iniciar o ato motor e melhora quando se exercita.
( ) Compromete inicialmente os músculos da cintura pélvica, seguido dos tibiais, peitoral e membros superiores. Ocorre aumento de volume das panturrilhas. Exagero da lordose lombar e levantar miopático.
Marque a sequência correta.
1. Doença de Thomsen (miotonia congênita) 2. Distrofia muscular de Duchenne 3. Miosite idiopática 4. Miastenia grave
( ) Doença inflamatória caracterizada por fraqueza muscular proximal, a pele pode apresentar eritema difuso ou localizado. Dor muscular espontânea ou à palpação não é frequente.
( ) Fraqueza muscular que aparece ou piora após esforço físico, compromete músculos extraoculares, bulbares, do pescoço, cintura escapular e parte distal dos membros.
( ) Promove um ressalto da musculatura: paciente tem aparência de halterofilista, mas com pouca força. Há dificuldade em iniciar o ato motor e melhora quando se exercita.
( ) Compromete inicialmente os músculos da cintura pélvica, seguido dos tibiais, peitoral e membros superiores. Ocorre aumento de volume das panturrilhas. Exagero da lordose lombar e levantar miopático.
Marque a sequência correta.
Provas
Questão presente nas seguintes provas
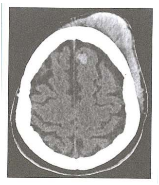
Paciente sexo masculino, 38 anos, deu entrada no PA de um hospital local, vítima de atropelamento ao tentar
atravessar uma movimentada avenida fora da faixa de pedestre. Apresenta-se agitado, com diversas
escoriações pelo corpo e corte extenso na região frontal à direita. Realizados os procedimentos de rotina, foi
solicitado TC de crânio. 
Após a análise da imagem, confirma-se que se trata de um hematoma

Após a análise da imagem, confirma-se que se trata de um hematoma
Provas
Questão presente nas seguintes provas
A hipercapnia permissiva é caracterizada pela aceitação de um CO2 arterial elevado para manutenção da
proteção pulmonar em estratégias ventilatórias que visam minimizar a LPIV (Lesão pulmonar induzida pelo
ventilador) em pacientes críticos. Em que consiste a hipercapnia permissiva?
Provas
Questão presente nas seguintes provas
Foi colhida uma gasometria arterial e os resultados foram os seguintes: pH= 7,31, PaCO2= 40 mmHg e
HCO3= 18 mEq/L. Qual o distúrbio encontrado?
Provas
Questão presente nas seguintes provas
Atleta de 29 anos, maratonista, foi avaliada pelo Fisioterapeuta com queixa de dor aguda na face medial do
joelho. Não é uma dor constante e se manifesta ao subir e descer escadas, ao se levantar de uma cadeira ou
cama. Na inspeção, observa-se hiperemia, edema com dor à palpação. Após minuciosa avaliação física e
exame de ultrasonografia da articulação do joelho, o profissional afirma se tratar de uma tendinite da pata de
ganso. Nesse caso, quais músculos formam a pata de ganso?
Provas
Questão presente nas seguintes provas
Um paciente procurou ambulatório de Fisioterapia com queixa de dor e fraqueza no ombro direito,
dificuldade para colocar o braço para trás, pentear os cabelos e encontrar posição confortável para dormir.
Relata trabalhar em um supermercado como repositor de estoques e que, frequentemente, levanta pesos para
reposição. Após avaliação cinético funcional, o Fisioterapeuta conclui se tratar de uma lesão no manguito
rotador (Síndrome do impacto do ombro). Essa lesão acomete quais músculos?
Provas
Questão presente nas seguintes provas
A VNI representa um recurso terapêutico amplamente reconhecido por resultados positivos em quadros
agudos. Como recurso associado ao exercício físico, apresenta efeitos significativos sobre a tolerância ao
exercício. NÃO constitui benefício da VNI na Insuficiência cardíaca:
Provas
Questão presente nas seguintes provas
A respeito das alterações da mecânica ventilatória encontradas na DPOC, analise as afirmativas.
I - Reduzida capacidade dos músculos ventilatórios para sustentar a carga ventilatória durante o esforço.
II - Combinação de hiperinsuflação passiva e dinâmica coloca os músculos respiratórios em desvantagem mecânica.
III - Reduzida capacidade de gerar força muscular diafragmática provocada por diminuição da zona de aposição.
IV - Acentuado aprisionamento de ar nos pulmões não compromete a capacidade inspiratória.
Está correto o que se afirma em
I - Reduzida capacidade dos músculos ventilatórios para sustentar a carga ventilatória durante o esforço.
II - Combinação de hiperinsuflação passiva e dinâmica coloca os músculos respiratórios em desvantagem mecânica.
III - Reduzida capacidade de gerar força muscular diafragmática provocada por diminuição da zona de aposição.
IV - Acentuado aprisionamento de ar nos pulmões não compromete a capacidade inspiratória.
Está correto o que se afirma em
Provas
Questão presente nas seguintes provas
A fadiga, depois da dispneia, é o sintoma com maior prevalência relatado pelos pacientes portadores de
DPOC. Esse sintoma limita a execução de atividades que exigem esforço físico. Com relação à ocorrência
de fadiga em pacientes com DPOC, marque V para as afirmativas verdadeiras e F para as falsas.
( ) Provoca redução da qualidade de vida e é um fator limitante para as atividades cotidianas. ( ) Causa estresse muscular esquelético e metabólico. ( ) Aumenta o trabalho respiratório, diminuindo o estresse oxidativo. ( ) Associa-se à diminuição da capacidade funcional e ao aumento da mortalidade.
Assinale a sequência correta.
( ) Provoca redução da qualidade de vida e é um fator limitante para as atividades cotidianas. ( ) Causa estresse muscular esquelético e metabólico. ( ) Aumenta o trabalho respiratório, diminuindo o estresse oxidativo. ( ) Associa-se à diminuição da capacidade funcional e ao aumento da mortalidade.
Assinale a sequência correta.
Provas
Questão presente nas seguintes provas
O envelhecimento é um processo do desenvolvimento normal, envolvendo alterações neurobiológicas,
estruturais, funcionais e químicas. Neste processo, quedas e as consequentes lesões resultantes constituem
um problema de saúde pública e de grande impacto social enfrentado hoje por todos os países em que ocorre
expressivo envelhecimento populacional. Com relação às intervenções para controle do risco de queda,
marque V para as afirmativas verdadeiras e F para as falsas.
( ) Exercícios físicos que melhorem a força muscular. ( ) Exercícios físicos que melhorem o equilíbrio. ( ) Corrente interferencial para aumento da força muscular. ( ) Barras de apoio são considerados um controle de risco ambiental na indução de quedas.
Assinale a sequência correta.
( ) Exercícios físicos que melhorem a força muscular. ( ) Exercícios físicos que melhorem o equilíbrio. ( ) Corrente interferencial para aumento da força muscular. ( ) Barras de apoio são considerados um controle de risco ambiental na indução de quedas.
Assinale a sequência correta.
Provas
Questão presente nas seguintes provas
Cadernos
Caderno Container