Foram encontradas 2.158 questões.

Acerca da figura acima e do processo de transmissão da informação genética, julgue os itens subseqüentes.
Os fragmentos de Okazaki são pequenas seqüências de consenso TATAA(T/A) encontradas nas moléculas de RNA.
Provas

Acerca da figura acima e do processo de transmissão da informação genética, julgue os itens subseqüentes.
A estrutura indicada pela figura A acima representa uma base purínica.
Provas

Acerca da figura acima e do processo de transmissão da informação genética, julgue os itens subseqüentes.
As DNAs polimerases promovem a síntese do DNA, alinhando nucleotídios complementares àqueles expostos no molde de DNA e catalisando sua adição às fitas que estão sendo sintetizadas.
Provas

Acerca da figura acima e do processo de transmissão da informação genética, julgue os itens subseqüentes.
As bases pirimidínicas citosina, timina e uracila são encontradas nas moléculas de DNA.
Provas

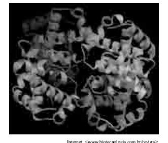
Considerando a figura acima e os diferentes níveis de organização estrutural de proteínas, julgue os seguintes itens.
Proteínas denominadas chaperonas auxiliam no dobramento correto das moléculas protéicas.
Provas

Considerando a figura acima e os diferentes níveis de organização estrutural de proteínas, julgue os seguintes itens.
Na figura, pode-se observar a presença de subunidades conectadas por ligações peptídicas, caracterizando a estrutura quaternária da proteína.
Provas

Considerando a figura acima e os diferentes níveis de organização estrutural de proteínas, julgue os seguintes itens.
A conformação nativa das proteínas é responsável pela sua atividade biológica.
Provas

Considerando a figura acima e os diferentes níveis de organização estrutural de proteínas, julgue os seguintes itens.
A estrutura primária de uma proteína é determinada pelas ligações covalentes entre as cadeias laterais dos resíduos de cisteínas presentes na molécula.
Provas

Considerando a figura acima e os diferentes níveis de organização estrutural de proteínas, julgue os seguintes itens.
A molécula representada na figura é rica em estruturas do tipo alfa-hélice.
Provas
Disciplina: Biblioteconomia
Banca: CESPE / CEBRASPE
Orgão: Pref. Limeira-SP
Julgue os itens subseqüentes, que se referem ao uso de tipos e modalidades de licitação para aquisição de material bibliográfico.
A modalidade de licitação denominada pregão aplica-se à aquisição de material bibliográfico, desde que o valor estimado de contratação não ultrapasse o teto definido por lei para essa modalidade.
Provas
Caderno Container