Foram encontradas 40 questões.
Menino de 10 anos de idade inicia há 6 meses quadro de coreia, hipotonia muscular e labilidade emocional. Ecocardiograma demonstra insuficiência de valva mitral.
O diagnóstico mais provável é
Provas
Adolescente de 15 anos de idade é levada ao pronto- -socorro por crise convulsiva. Há 2 dias, iniciou febre, cefaleia e confusão mental. Na avaliação, apresenta-se torporosa, sem sinais de irritação meníngea. A tomografia de crânio na emergência é normal. O estudo do LCR revela 120 células com predomínio linfocítico, proteína 93 mg/dL e glicose 72 mg/dL.
A proposta de tratamento mais adequada para este caso é
Provas
Criança do sexo feminino de 6 meses de idade é trazida para avaliação por episódios estereotipados de flexão do tronco e da região proximal de membros superiores. Os movimentos ocorrem múltiplas vezes ao dia, em salvas, e são associados a irritabilidade e choro. Na inspeção, observam-se múltiplas máculas hipocrômicas em tronco e membros.
Qual o tratamento inicial mais adequado para o caso?
Provas
Garota de 8 anos de idade iniciou há poucos meses episódios paroxísticos de olhar vago e parada comportamental com duração de 5 a 10 segundos, várias vezes ao dia. Retorna dos episódios continuando a atividade interrompida, sem perda de tônus muscular ou sonolência.
Apresenta ótimo rendimento escolar. Os episódios são desencadeados pelo teste de hiperventilação em avaliação no consultório. Assinale a alternativa que apresenta o padrão eletroencefalográfico mais provável de ser encontrado nesse caso.
Provas
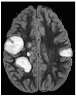
Menina de 9 anos de idade é levada ao pronto-socorro por sonolência e fraqueza muscular progressivas há 2 dias. Na avaliação, a criança se apresenta sonolenta, mas desperta aos estímulos vigorosos. Não responde aos comandos solicitados. Reflexos osteotendíneos são exaltados globalmente, e apresenta reflexo cutâneo plantar em extensão à esquerda e sem resposta à direita. O reflexo pupilar e o exame de fundo de olho são normais. Há 10 dias do início dos sintomas, ela apresentou quadro de infecção de vias aéreas superiores, a qual foi tratada com amoxicilina.
A imagem da ressonância magnética de crânio é mostrada a seguir.

O diagnóstico mais provável é
Provas
Menino de 5 anos de idade é levado ao pronto-socorro por dificuldade para andar há 2 dias. Na avaliação, a criança só quer permanecer sentada e chora por dor na região lombar e em membros inferiores quando é colocada para andar com apoio. Força muscular é de difícil avaliação em membros inferiores, mas é preservada em membros superiores. Os reflexos osteotendíneos são abolidos globalmente, e o reflexo cutâneo-plantar é em flexão bilateral. A sensibilidade é preservada. Há 1 semana do início dos sintomas, a criança apresentou quadro de gastroenterite com resolução espontânea.
O diagnóstico mais provável é:
Provas
Menino de 6 anos de idade é trazido à consulta por queixa de fraqueza muscular há 3 anos, com piora progressiva.
À avaliação, apresenta fraqueza muscular de predomínio proximal com sinal de Gowers presente, marcha em ponta dos pés, retração dos tendões aquileus e lordose lombar. As panturrilhas são aumentadas de tamanho. O nível sérico de CPK é 14 000 U/L.
Qual o padrão de herança mais provável neste caso?
Provas
Dos fármacos antiepilépticos apresentados nas alternativas, qual tem maior risco de causar grave hepatotoxicidade em pacientes com doença mitocondrial?
Provas
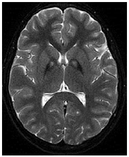
Menino de 10 anos de idade apresenta história progressiva de distonia, disartria e regressão cognitiva. A ressonância magnética de crânio revela o seguinte achado na imagem.

Qual o gene mais provavelmente associado ao quadro?
Provas
Adolescente de 16 anos de idade do sexo feminino é trazida à consulta por movimentos anormais. Na avaliação, apresenta tremor postural, hipertonia plástica de membros e distonia em pé esquerdo. Faz acompanhamento regular com psiquiatra por depressão e tentativa de suicídio. Exames de sangue revelam aumento de ALT e AST.
Assinale a alternativa que apresenta a alteração oftalmológica mais provável de ser encontrada neste caso.
Provas
Caderno Container