Foram encontradas 40 questões.
Complete a lacuna na proposição que segue, com
uma das alternativas disponibilizadas.
¨A sela é o elemento constituinte da PPR que vai preencher ___________________, reconstruindo, funcional e esteticamente, os tecidos ósseos e mucosos alterados pela perda dos dentes e servindo como base para a fixação dos dentes artificiais¨.
¨A sela é o elemento constituinte da PPR que vai preencher ___________________, reconstruindo, funcional e esteticamente, os tecidos ósseos e mucosos alterados pela perda dos dentes e servindo como base para a fixação dos dentes artificiais¨.
Provas
Questão presente nas seguintes provas
¨A partir da moldagem funcional, é obtido o modelo funcional¨. (RUSSI e ROCHA; 2015)
Para qual finalidade fazemos o modelo funcional?
Provas
Questão presente nas seguintes provas
Para garantir a eficiência funcional da prótese parcial
removível (PPR). Para isso, é necessário conhecer
determinadas características que se repetem dentro
de um mesmo grupo de casos clínicos, as quais,
quando agrupadas, fundamentam inúmeras
classificações.¨ (RUSSI e ROCHA, 2015).
Portanto, o método classificatório para avaliação dos espaços parcialmente edentados que prevaleceu e continua sendo utilizado de forma ampla é a classificação de Kennedy.
Responda a alternativa correta de acordo com as figuras A e B:

Portanto, o método classificatório para avaliação dos espaços parcialmente edentados que prevaleceu e continua sendo utilizado de forma ampla é a classificação de Kennedy.
Responda a alternativa correta de acordo com as figuras A e B:

Provas
Questão presente nas seguintes provas
Na fase final da prótese total convencional, qual o
material mais utilizado atualmente para acrilização?
Provas
Questão presente nas seguintes provas
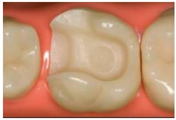
Analise a figura a seguir:

O preparo apresentado na figura possui características destinadas a qual solução protética?
Provas
Questão presente nas seguintes provas
¨São recipientes metálicos, geralmente de bronze ou
alumínio, dentro das quais se fixam os modelos e a
dentaduras encerradas para posterior prensagem da
resina acrílica e polimerização. ¨
De acordo com a afirmação acima, estamos nos referindo a qual equipamento?
De acordo com a afirmação acima, estamos nos referindo a qual equipamento?
Provas
Questão presente nas seguintes provas
Sobre a anatomia dos incisivos superiores, assinale
as afirmações corretas.
I. A face lingual do incisivo central superior apresenta um cíngulo largo e fossa lingual rasa.
II. O incisivo lateral superior apresenta uma ponte de esmalte.
III. A coroa do incisivo central superior é maior comparada com a coroa do incisivo central inferior.
IV. A face lingual do incisivos central superior apresenta um cíngulo estreito e fossa ausente.
V. O contorno da face vestibular do incisivo lateral superior apresenta o formato Trapezoidal alongado (dimensão vertical acentuadamente maior que a horizontal).
I. A face lingual do incisivo central superior apresenta um cíngulo largo e fossa lingual rasa.
II. O incisivo lateral superior apresenta uma ponte de esmalte.
III. A coroa do incisivo central superior é maior comparada com a coroa do incisivo central inferior.
IV. A face lingual do incisivos central superior apresenta um cíngulo estreito e fossa ausente.
V. O contorno da face vestibular do incisivo lateral superior apresenta o formato Trapezoidal alongado (dimensão vertical acentuadamente maior que a horizontal).
Provas
Questão presente nas seguintes provas
A moldagem preliminar para obter o modelo de
estudo serve para:
Provas
Questão presente nas seguintes provas
As fases laboratoriais consiste em etapas
subsequentes. Indique a alternativa que apresenta as
etapas em ordem correta para uma prótese total.
Provas
Questão presente nas seguintes provas
Para a realização de uma prótese fixa bem feita,
existem três parâmetros que devem ser avaliados na
escolha da cor para poder reproduzi-la de forma
objetiva e previsível. Analise os itens abaixo:
I. Matiz. II. Luz. III. Croma. IV. Valor. V. Calor.
Assinale a alternativa correta.
I. Matiz. II. Luz. III. Croma. IV. Valor. V. Calor.
Assinale a alternativa correta.
Provas
Questão presente nas seguintes provas
Cadernos
Caderno Container