Foram encontradas 1.600 questões.
O princípio ALARA é adotado por causa do modelo linear sem limiar (LNT), que estabelece uma relação linear sem limiar mínima de dose para efeitos estocásticos – câncer, leucemia e efeitos genéticos. No entanto, deve-se também reconhecer que são utilizados valores baixos de doses de radiação no diagnóstico por imagem. Toda atividade de proteção radiológica em radiologia diagnóstica é voltada para minimizar a exposição à radiação de pacientes e dos trabalhadores. Os três princípios fundamentais da proteção radiológica desenvolvido para atividades nucleares – tempo, distância e blindagem – encontram aplicação igualmente útil nessa área. Quando esses princípios fundamentais são atendidos, a exposição à radiação pode ser minimizada. Com base nessas informações, analise as afirmativas a seguir.
I. A dose recebida por um indivíduo está diretamente relacionada à duração da exposição. Se o tempo durante o qual um indivíduo é exposto à radiação é dobrado, a dose será dobrada.
II. À medida que a distância entre a fonte de radiação e o indivíduo aumenta, a exposição à radiação diminui rapidamente. Essa diminuição da exposição é calculada usando a lei do inverso do quadrado da distância.
III. Posicionar blindagens entre a fonte de radiação e as pessoas expostas reduz muito o nível de exposição à radiação. As blindagens utilizadas em radiologia diagnóstica consistem geralmente em chumbo, apesar de materiais de construção convencionais também serem utilizados.
É correto o que se afirma em
Provas
Paciente chega ao atendimento com uma dor abdominal intensa. Esse sintoma muitos vezes não é específico de uma patologia, dificultando o diagnóstico. Dores abdominais podem sugerir diversas hipóteses de diagnóstico. Por isso, não é tão simples de diagnosticar rápido. Uma das formas de diagnosticar é realizar a anamnese do paciente. Nessa anamnese, o médico tem a possibilidade de caracterizar a dor abdominal. A partir daí, o médico já sabe qual exame pode solicitar para confirmar ou descartar. Entre os exames, está a Rotina Radiográfica Abdome Agudo. O diagnóstico radiográfico é realizado com uma rotina de três incidências básicas:
\( \bullet \) Anteroposterior (AP) de abdome em decúbito dorsal;
\( \bullet \) Anteroposterior (AP) de abdome em ortostase;
\( \bullet \) Póstero-anterior (PA) de tórax em ortostase.
A partir dessas informações avalie as afirmativas a seguir.
I. Na incidência de AP de abdome em supinação simples, várias são as patologias demonstradas como obstrução intestinal, neoplasias, calcificações e ascite.
II. Na incidência em AP ortostática, são observadas massas anormais, níveis de líquidos e acúmulos de ar intraperitonial sob o diafragma.
III. O exame de radiografia de tórax em PA, de forma ereta, faz parte da rotina de abdome agudo.
É correto o que se afirma em
Provas
O exame de ombro, denominado de AP verdadeiro, é obtido com angulação do raio a 45° de medial para lateral, com o braço ao longo do corpo. Outra opção alternativa seria rodar o paciente até que a escápula fique encostada no filme e o raio incida perpendicularmente à escápula. Essa incidência tem como objetivo principal evidenciar a articulação glenoumeral e o espaço subacromial.

BONTRAGER,K. L; LAMPIGNANO, J. P. Manual prático de técnicas e posicionamento radiográfico. Rio de janeiro:Elsevier, 8 ed., 2014 (adaptado).
De acordo com a imagem é correto verificar que o posicionamento do paciente foi
Provas
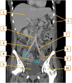
Tomografia computadorizada é um procedimento não invasivo de diagnóstico por imagem que combina o uso de raio-x com computadores especialmente adaptados. É utilizado para criar imagens detalhadas dos mais variados tecidos do corpo humano. O procedimento é realizado através da emissão de raios X rotacionada ao redor do corpo, que, por sua vez e de forma variada, a depender de cada tecido, atenua o feixe de raios-X, que são absorvidos por detectores de radiação, que enviam então os dados para um sistema computacional. Esse sistemconsegue transformar a radiação, através de seus detectores, em um sinal digital no qual se tem a imagem formada muitas vezes mais fidedigna que as imagens radiográficas. Entre os vários assuntos que devem ser conhecidos, a anatomia é fundamental.

Disponível em: https://protocolos-de-tc.webnode.page/abdome/. Acesso em 12/11//2023(Adaptado)
Com base no texto acima e de acordo com a região anatômica apresentada, os números que aparecem na imagem estão corretamente descritos em
Provas
Seriografia é um exame de raio-x, também conhecido como radiografia, que utiliza contraste. O método é comum por ser simples, rápido e não invasivo. Para obter as imagens, utiliza-se baixa dose de radiação e uma substância de contraste, a fim de identificar alterações em ossos e órgãos. O exame é contraindicado para gestantes ou mulheres com suspeita de gravidez. Nas estruturas, como ossos, a alteração é identificada como um corte escuro. Já em órgãos, buscam-se partes claras nessas imagens para identificar algo incomum na região. O contraste faz com que alguns tecidos sejam realçados. No caso do exame de Seriografia (Raio-X de Esôfago, Estômago e Duodeno-Seed), também chamado de Seriografia GI superior, avalia-se o esôfago, o estômago e o duodeno, órgãos do sistema digestivo, avaliando a forma, a função e anormalidades do trato gastrointestinal alto. É um tipo de exame que pode utilizar um duplo contraste.
Considerando o que foi exposto,
Provas
As fraturas de punho acontecem com bastante frequência na rotina clínica, principalmente em adultos jovens e idosos. Elas são geralmente associadas não apenas a acidentes de trânsitos mas também a acidentes domésticos da própria altura. O técnico deve ter conhecimento anatômico e das técnicas a serem realizadas para o resultado satisfatório da imagem final. A fileira proximal e distal é importante, e cada uma com sua característica. A partir dessas considerações, avalie as afirmações a seguir.
I. O escafoide é um osso em forma de barco que se articula proximamente com o rádio.
II. O semilunar é o segundo osso da fileira proximal que se articula com o rádio.
III. O captato ou osso magno, também conhecido como osso grande, é o trapezóide em forma de cunha, sendo o menor osso da fileira distal.
IV. O pisiforme apresenta o formato de uma ervilha e é o menor osso do carpo localizado na fileira distal.
São corretas as afirmações
Provas
O exame de Raio-X é um dos exames de imagem mais comuns na medicina. É um exame indolor e não invasivo. Funciona através da emissão de raios que penetram alguns tecidos do corpo humano, tornando a imagem enegrecida ao raio-X. Já em outros tecidos, os raios não penetram, como nos ossos e estruturas com certo grau de calcificação, fornecendo imagens brancas. O Raio-X de Abdome Simples recebe essa nomeação por ser realizado com apenas uma imagem do abdome e com o paciente em apenas uma posição. É fundamental o técnico de radiologia conhecer a divisão dos quadrantes para a melhor realização dos exames associado aos pontos topográficos anatômicos. Acerca dos pontos topográficos avalie as afirmações a seguir.
I. Extremidade processo xifóide T09-T10
II. Margem costal inferior nível L02-L03
III. Crista ilíaca L04-L05
IV. Trocanter maior
São corretas as afirmações:
Provas
O pulmão é envolvido externamente por uma membrana delicada que também recobre a superfície interna da cavidade torácica, a pleura. A primeira é chamada de pleura visceral e a segunda, pleura parietal. Entre elas existe uma camada bem fina de líquido que facilita a movimentação dos pulmões durante a respiração. Quando há um acúmulo excessivo de líquido entre as pleuras, ocorre o derrame pleural, que é popularmente conhecido como “água na pleura”. Normalmente, a quantidade de líquido no espaço pleural é de cerca de 10 ml, o que gera um equilíbrio entre a sua produção e absorção. Porém, quando surge alguma enfermidade como infecções no pulmão, esse equilíbrio pode ser afetado, fazendo com que ocorra um acúmulo excessivo de líquido. Quando o líquido não consegue ser absorvido de forma adequada, este vai acumulando aos poucos, causando um aumento de pressão sobre o pulmão. Para aquisição da melhor imagem neste exame específico, o técnico em radiologia deve posicionar o paciente, adequadamente, em
Provas
As imagens dos filmes radiográficos proporcionam uma imagem bidimensional. O filme necessita da exposição a um processamento químico, quando são observadas etapas de revelação, fixação, lavagem e secagem. Dessa forma, é necessário, por parte dos técnicos de radiologia, o conhecimento de fatores de exposição da imagem, que irão influenciar de forma direta na qualidade final da imagem. Um erro por parte dessse profissional pode induzir a erros de diagnóstico final por parte dos médicos radiologistas. Considerando o processo de formação de imagens, é correto afirmar que
Provas
A primeira vítima fatal, nos Estados Unidos, devido à exposição à radiação foi a assistente de Thomas Edison, Clarence Dally. Desde esse evento, um grande esforço tem sido dedicado para o desenvolvimento de equipamentos, técnicas e procedimentos para controlar os níveis de radiação e reduzir a exposição desnecessária à radiação para os trabalhadores* e para o público. O fornecimento de proteção radiológica para os trabalhadores e para o público é a prática da proteção radiológica. Os profissionais de proteção radiológica projetam equipamentos, calculam e constroem blindagens e desenvolvem protocolos administrativos para manter a exposição à radiação ALARA (“as low as reasonably achievable”), tão baixas quanto razoavelmente exequíveis). Sobre proteção radiológica, avalie as afirmações a seguir:
I. Toda atividade de proteção radiológica em radiologia diagnóstica é voltada para minimizar a exposição à radiação de pacientes e dos trabalhadores.
II. Os três princípios fundamentais da proteção radiológica desenvolvido para atividades nucleares – tempo, distância e blindagem.
III. A dose recebida por um indivíduo está diretamente relacionada à duração da exposição.
IV. O princípio ALARA é adotado por causa do modelo linear sem limiar (LNT), que estabelece uma relação linear sem limiar mínima de dose para efeitos estocásticos – câncer, leucemia e efeitos genéticos.
É correto o que se afirma em:
Provas
Caderno Container