Foram encontradas 40 questões.
Provas
Provas
Provas
Provas
Acerca da história e do desenvolvimento da Ressonância Magnética (RM), analise as sentenças a seguir:
I- A Ressonância Magnética tem origem nos princípios da ressonância nuclear magnética, inicialmente desenvolvidos para fins espectroscópicos, sendo a descoberta do fenômeno atribuída a Felix Bloch e Edward Purcell em 1946, o que lhes rendeu o Prêmio Nobel em 1952.
II- Os estudos de Raymond Damadian, ao demonstrar diferenças nos tempos de relaxamento entre tecidos normais e tumorais, foram determinantes para que a RM passasse a ser considerada um método de diagnóstico por imagem na medicina.
III- Paul Lauterbur e Richard Ernst contribuíram para a RM ao introduzirem, respectivamente, a tomografia computadorizada e a técnica de ecoplanar, ambas no início da década de 1970.
IV- A angiografia por ressonância magnética, desenvolvida por Charles Dumoulin, possibilitou a visualização do fluxo sanguíneo sem a necessidade do uso de meio de contraste.
Analisadas as sentenças, assinale a alternativa CORRETA:
Provas
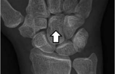
A imagem apresenta uma radiografia do punho, com destaque para os ossos do carpo, observe:

Considerando a disposição anatômica correta dos ossos carpais, o osso em destaque corresponde ao:
Provas
Provas
Provas
Provas
Provas
Caderno Container