Foram encontradas 896 questões.
Assinale a alternativa que indica corretamente o grampo mais indicado para realizar o isolamento absoluto do dente 26.
Provas
Assinale a alternativa que contém o nome do instrumental indicado para prender e/ou pendurar a película radiográfica nos processos de revelação manual.
Provas
Durante o exame clínico do paciente, o cirurgião-dentista suspeita da presença de bolsa periodontal na região do elemento 26.
Para verificar a profundidade da bolsa periodontal, qual instrumento é o indicado?
Provas
O conhecimento da anatomia bucal é extremamente importante para os profissionais da área odontológica.
Diante disso, assinale a alternativa que contém somente músculos da mastigação.
Provas
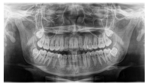
Analise a radiografia abaixo:

A imagem ilustrada refere-se de um raio-x do tipo:
Provas
O instrumento ilustrado ao lado recebe o nome de:

Provas
O fórceps nº 18R é indicado para extração de qual grupo de dentes permanentes?
Provas
O atendimento ao usuário e suas necessidades é a essência do conceito de biblioteca.
Assinale a alternativa correta em relação às normas de atendimento ao usuário da biblioteca.
Provas
A Classificação Decimal Universal (CDU) serve como um sistema de classificação abrangente para organizar informações em diversas áreas do conhecimento.
Assinale a alternativa correta sobre a CDU.
Provas
Assinale a alternativa correta sobre a informatização de uma biblioteca.
Provas
Caderno Container