Foram encontradas 60 questões.
Paciente de 73 anos de idade refere quadro de tontura há 3 dias, sobretudo, ao levantar-se. O eletrocardiograma realizado é mostrado a seguir.

Com esses dados, é correto afirmar:
Provas
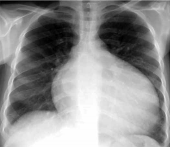
Mulher de 33 anos de idade refere febre, dispneia e dor torácica à esquerda há 3 dias. Nega tabagismo, etilismo ou patologias prévias. Exame físico: PA: 110 x 70 mmHg, FC: 96 bpm, FR: 18 ipm, T: 38,9 ºC e saturação arterial de O2: 94%; cardiovascular: normal; pulmão: crepitações em 2/3 inferior do hemitórax esquerdo. Radiografia realizada é mostrada a seguir.

O tratamento antimicrobiano inicial correto é
Provas
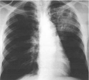
Homem de 59 anos de idade apresenta dispneia há cerca de 1 ano, inicialmente, aos grandes esforços, evoluindo para moderados e pequenos esforços. Exame físico: PA: 112 x 88 mmHg, FC: 112 bpm e FR: 16 ipm; ausculta pulmonar com crepitações em 1/3 de ambos os pulmões. radiografia realizada é mostrada a seguir.

Ao exame físico, a alteração que, mais provavelmente, deve ser encontrada é
Provas
Homem de 27 anos de idade, sem patologias prévias, apresenta quadro de febre intermitente, anorexia, perda de 8 kg no período (12% do peso) e tosse há 2 meses. Nega uso de medicamentos, viagem recente, tabagismo, etilismo ou ingestão de drogas ilícitas. Exame físico: hemodinamicamente estável; FR: 24 ipm, saturação arterial de O2 : 87% e T: 38,1 ºC. Teste para o vírus HIV: negativo. A radiografia de tórax realizada é mostrada a seguir.

A principal hipótese diagnóstica é
Provas
Mulher de 42 anos de idade, em uso de clortalidona (50 mg/dia) há 2 anos, retorna à consulta de rotina. Ela traz a caderneta com as medidas de pressão arterial dos últimos 6 meses, cujos valores ficaram entre 155 x 100 mmHg e 165 x 105 mmHg. Nega tabagismo, etilismo, diabetes mellitus, doença coronariana, nefropatia ou acidente vascular cerebral, mas refere asma brônquica desde a infância. Exame físico: hidratada, corada e afebril; PA: 155 x 100 mmHg, FC: 76 bpm; IMC: 23 kg/m2; cardíaco e respiratório: normais.
Nesse momento, a conduta recomendada é
Provas
Homem de 69 anos apresenta quadro de confusão mental progressivo há 1 semana. Exame físico: PA: 150 x 100 mmHg e FC: 68 bpm. Exames séricos: glicemia: 96 mg/dL, ureia: 12 mg/dL, creatinina: 0,3 mg/dL, potássio: 3,9 mEq/L e sódio: 114 mEq/L. Exames urinários: sódio: 520 mEq/L, densidade > 1030 e leucócitos: 3/cp. Tomografia de crânio: normal.
Das opções a seguir, assinale aquela que mais provavelmente pode ter ocasionado o quadro clínico descrito.
Provas
Uma mulher de 43 anos de idade é avaliada com quadro de pápulas dolorosas e pruriginosas na parte superior das pernas e costas há 2 semanas. As lesões individuais desaparecem com hematomas em 3-4 dias. Refere dores articulares associadas no período, particularmente, em pequenas articulações das mãos. Nega uso de medicamentos, etilismo, tabagismo ou doenças prévias. Exame físico: sinais vitais normais; placas edematosas policíclicas no dorso e coxas; exame restante é normal.
Nesse momento, a conduta correta é
Provas
Homem de 47 anos de idade apresenta mal-estar, adinamia, sensação de febre e sinais flogísticos na perna direita há 5 dias. Nega tabagismo, etilismo, náuseas, vômitos, diarreia, diabetes mellitus, nefropatia ou eventos semelhantes previamente. Exame físico: estado geral regular, orientado, hidratado, corado, anictérico; PA: 145 x 90 mmHg, FC: 92 bpm, FR: 14 ipm, SatO2: 95% e T: 37,8 ºC; cardiopulmonar: normal; membros inferiores: esquerdo normal e direito com edema, eritema e calor na parte medial da perna, sem abscesso.
Nesse momento, a conduta correta é prescrever
Provas
Paciente do sexo feminino, 43 anos de idade, sem antecedentes mórbidos, apresenta quadro de dor na perna direita há 3 dias. Nega febre, tosse, dispneia, dor torácica, vômitos ou diarreia. Exame físico: sinais vitais normais; cardiopulmonar: sem alteração; edema depressível (2+/4+) no membro inferior direito e dor à palpação da panturrilha; membro inferior esquerdo sem alterações. Hemograma, plaquetas, exames de coagulação, ureia, creatinina, eletrólitos, glicemia e função hepática: todos normais.
Com os dados descritos, constitui a conduta correta
Provas
Homem de 41 anos de idade apresenta quadro de cefaleia holocraniana, náuseas, tremores, sudorese e agressividade nas últimas 12 horas. Não há sintomas psicóticos Esposa refere que o paciente faz uso de bebida alcoólica, quase que diariamente, há 15 anos. Exame físico: afebril, sudorese evidente, agitado, desorientado no tempo, irritabilidade e tremores intensos de extremidades; não há déficit neurológico focal. Glicemia capilar normal.
Nesse momento, o tratamento inicial correto é com
Provas
Caderno Container