Foram encontradas 247 questões.
A ressonância magnética nuclear é um exame indispensável para detecção de distúrbios nos tecidos, pois permite uma avaliação rigorosa das doenças, podendo ser útil para planejamento cirúrgico, caso indicado. O mesmo evita também que o paciente faça uma biópsia, um método invasivo que pode deixar sequelas. Ademais, este exame é sobretudo útil para avaliar de forma eficaz, o tamanho e a localização de tumores mais agressivos. Sobre os mecanismos e princípios do aparelho de ressonância magnética nuclear, assinale a alternativa correta.
Provas
O estudo radiológico da cabeça e do pescoço, abrange as regiões cervical, mandíbula, maxila, seios da face, articulação temporomandibular, ouvidos e órbitas.
Sobre a radiologia da cabeça e pescoço, assinale a alternativa incorreta.
Provas
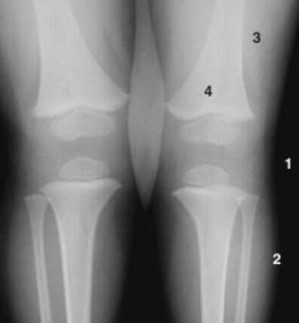
Analise a figura.

Fonte: JUNIOR, C. M., Radiologia Básica, 2 ed., Revinter, 2016.
Quais das numerações presentes na figura, refere-se ao ar e à gordura, respectivamente?
Provas
Prestes ao início da Copa do Mundo de Futebol, um jogador do Brasil foi convocado pela primeira vez. Ao correr para o campo, sentiu um nó no estômago e seu coração disparou. Recebeu seu primeiro passe e já lançou com perfeição ao volante, que logo no começo da partida quase marcou um gol. Aos poucos seu coração desacelerou e o estômago relaxou, sentiu que seria uma excelente partida para a seleção brasileira.
Analisando esse caso, assinale a alternativa incorreta.
Provas
Em 2004, no Brasil, foi lançada uma Política Pública Nacional de Saúde Bucal, que vislumbra fortalecer os cuidados da saúde bucal da população brasileira, em consonância com as diretrizes do Sistema Único de Saúde (SUS). Esse programa é chamado de:
Provas
Uma criança de 06 anos, chegou à clínica odontológica acompanhada de sua mãe, com o elemento dentário inferior, do lado esquerdo, com bastante mobilidade. O Cirurgião-Dentista percebeu que o paciente estava com o incisivo central inferior decíduo, em fase de esfoliação, e decidiu realizar a exodontia. Solicitou ao Técnico em Higiene Dental, que anotasse o número do dente no prontuário. Assinale a alternativa com o número do dente descrito no texto.
Provas
A biossegurança é uma área da saúde que requer atenção de seus profissionais, pois vislumbra a redução de infecções cruzadas. Um procedimento simples que requer atenção do profissional é a lavagem de mãos para combater a transmissão de vetores que poderão desencadear doenças. Outro método de prevenção de doenças é a imunização através da vacinação regular dos profissionais. Os imunizantes agem criando anticorpos para combater o agente causador da doença, dessa forma, cria no organismo uma memória imunológica, que possibilita em um outro contagio, atenuar sinais e sintomas da moléstia. Existe uma doença de natureza viral, cujo esquema vacinal é realizado em 03 doses, que acomete o fígado e tem como possibilidade sua transmissão via sanguínea e, também, pela saliva.
Marque a alternativa que denomina essa doença.
Provas
A remoção de cárie é um procedimento realizado pelo Cirurgião-Dentista (CD), que requer atenção do Técnico em Higiene Dental (THD), para montar a bandeja clínica. Qual material odontológico não compõe o kit instrumental operatório para esse procedimento?
Provas
A esterilização dos materiais odontológicos é de extrema importância para o atendimento odontológico seguro. O artigo usado para embalar os instrumentos deve ser bem selado e colocado na autoclave, de forma que o vapor entre em contato facilmente com os instrumentos. O nome desse artigo usado para embalagem é:
Provas
Sempre que possível, o diagnóstico de Hipertensão Arterial Sistêmica (HAS) deve ser estabelecido em mais de uma visita médica. Geralmente de 2 a 3 visitas com intervalos de 1 a 4 semanas (dependendo do nível de pressão). O diagnóstico é feito em uma única visita, se a PA do paciente estiver maior, ou igual a 180/110 mmHg, e houver evidência de doença cardiovascular. Sendo assim, tendo como referência do Ministério da Saúde, assinale a alternativa que complete corretamente a lacuna sobre o semáforo da HAS
Vermelho: Alerta - Hipertensão: PA \( \ge \) 140/90mmHg.
Amarelo: Atenção - Pré-hipertensão: PA entre ____/____mmHg.
Verde: Livre - Normal: PA \( \le \) !20/80mmHg.
Provas
Caderno Container