Magna Concursos

Foram encontradas 40 questões.

3316954 Ano: 2023
Disciplina: Medicina
Banca: Pref. Bauru-SP
Orgão: Pref. Bauru-SP
Provas:

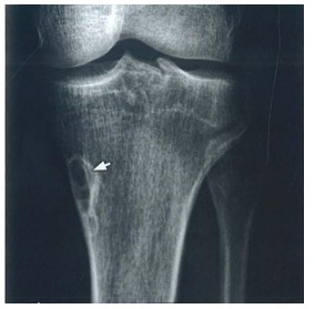
Radiografia realizada em paciente do sexo masculino de 17 anos demonstra a lesão radioluminescente com bordas escleróticas apontada pelas setas na figura. O diagnóstico CORRETO é:

Enunciado 3505932-1

 

Provas

Questão presente nas seguintes provas
3316953 Ano: 2023
Disciplina: Medicina
Banca: Pref. Bauru-SP
Orgão: Pref. Bauru-SP
Provas:

Tomografia do joelho abaixo demonstra falha óssea na face lateral do côndilo femoral medial (apontada pelas setas). O diagnóstico CORRETO é:

Enunciado 3505931-1

 

Provas

Questão presente nas seguintes provas
3316952 Ano: 2023
Disciplina: Medicina
Banca: Pref. Bauru-SP
Orgão: Pref. Bauru-SP
Provas:

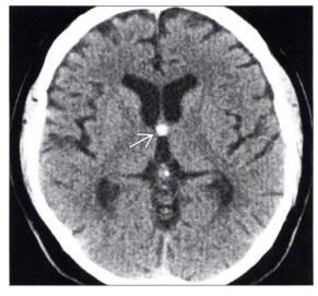
Tomografia do crânio sem contraste em corte axial ao nível do forame de Monro demonstra a imagem apontada pela seta na figura abaixo. O diagnóstico CORRETO é:

Enunciado 3505930-1

 

Provas

Questão presente nas seguintes provas
3316951 Ano: 2023
Disciplina: Medicina
Banca: Pref. Bauru-SP
Orgão: Pref. Bauru-SP
Provas:

A presença de schwannomas vestibulares bilaterais é patognomônica de:

 

Provas

Questão presente nas seguintes provas
3316950 Ano: 2023
Disciplina: Medicina
Banca: Pref. Bauru-SP
Orgão: Pref. Bauru-SP
Provas:

A respeito dos meningiomas assinale a alternativa CORRETA:

 

Provas

Questão presente nas seguintes provas
3316949 Ano: 2023
Disciplina: Medicina
Banca: Pref. Bauru-SP
Orgão: Pref. Bauru-SP
Provas:

O enema opaco com duplo contraste ilustrado a seguir evidencia uma doença bastante prevalente. A respeito desta doença, assinale a alternativa CORRETA:

Enunciado 3505927-1

 

Provas

Questão presente nas seguintes provas
3316948 Ano: 2023
Disciplina: Medicina
Banca: Pref. Bauru-SP
Orgão: Pref. Bauru-SP
Provas:

Dor no hipocôndrio direito devido à obstrução extrínseca do ducto hepático comum por cálculo impactado no infundíbulo da vesícula biliar corresponde a qual condição:

 

Provas

Questão presente nas seguintes provas
3316947 Ano: 2023
Disciplina: Medicina
Banca: Pref. Bauru-SP
Orgão: Pref. Bauru-SP
Provas:

A respeito dos efeitos biológicos da radiação ionizante, é CORRETO o que se afirma em:

 

Provas

Questão presente nas seguintes provas
3316946 Ano: 2023
Disciplina: Medicina
Banca: Pref. Bauru-SP
Orgão: Pref. Bauru-SP
Provas:

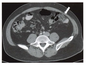
Mulher de 29 anos inicia com dor abdominal aguda em flanco esquerdo. O sintoma é bem localizado e a paciente consegue apontar o local exato da dor. Realizada tomografia com contraste endovenoso que evidencia densificação focal da gordura pericolônica esquerda, na borda antimesentérica, com aspecto em “dedo de luva”, apontado pela seta na figura abaixo. Assinale a alternativa com o diagnóstico CORRETO:

Enunciado 3505924-1

 

Provas

Questão presente nas seguintes provas
3316945 Ano: 2023
Disciplina: Medicina
Banca: Pref. Bauru-SP
Orgão: Pref. Bauru-SP
Provas:

Paciente de 30 anos desenvolveu cordão doloroso visível e palpável no quadrante súperolateral da mama esquerda. Realizada ultrassonografia que detectou uma veia superficial trombosada sem fluxo ao Doppler. A respeito desta condição, assinale a alternativa CORRETA:

 

Provas

Questão presente nas seguintes provas