Foram encontradas 32 questões.
O método utilizado para evidenciar cistos de protozoários e ovos de helmintos, tendo como princípio centrífugo-sedimentação pelo formol-éter é o de:
Provas
O meio de cultivo mais utilizado para o crescimento da Chlamydia trachomatis é o de:
Provas
Sobre a presença de cristais na urina, assinale a afirmativa INCORRETA.
Provas
Analise os elementos encontrados nas figuras a seguir.

As figuras anteriores são, respectivamente:
Provas
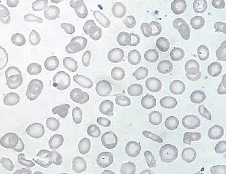
“Ao analisar o esfregaço de sangue de uma paciente de 13 anos, notou-se anemia microcítica hipocrômica, hemácias em forma de lápis ou cigarro e anisositose.” Os resultados dos exames complementares dessa paciente e o esfregaço sanguíneo apresentam-se a seguir.


De acordo com os dados e as imagens anteriores, é correto afirmar que a paciente apresenta:
Provas
Relacione adequadamente as colunas a seguir.
1. Meio de Lowenstein-Jensen.
2. Ágar manitol.
3. Caldo Lim.
4. Ágar cistina-telurito.
( ) Seletivo para estafilococos.
( ) Recuperação de Corynebacterium diphtheriae.
( ) Seletivo para micobactérias.
( ) Recuperação de Streptococcus agalactiae.
A sequência está correta em
Provas
Sobre a presença de cilindros na urina, é INCORRETO afirmar que cilindros
Provas
Analise as afirmativas a seguir, marque V para as verdadeiras e F para as falsas.
( ) A bactéria Legionella é um importante patógeno respiratório. Para o isolamente desse organismo, é necessário o uso de um meio suplementado com ferro e L-cisteína.
( ) Chlamydia, uma importante bactéria responsável por doenças sexualmente transmissíveis, é um patógeno intracelular obrigatório que só pode ser cultivado em células vivas (cultura de células).
( ) O meio de cultura Ágar Mueller-Hinton é um meio seletivo do tipo especializado, diferencial para Salmonella.
( ) O Ágar manitol é seletivo para estafilococos, diferencial para Staphylococcus aureus.
A sequência está correta em
Provas
A macrocitose é uma alteração no tamanho das hemácias, em que a medula óssea produz glóbulos vermelhos gigantes e imaturos. Essa alteração pode ser chamada de anemia megaloblástica ou anemia macrocítica. “Um paciente está com um quadro clínico de glossite, faz ingestão excessiva de álcool e está desnutrido (carência alimentar). Ao analisar uma lâmina de sangue no microscópio deste um paciente, é observado: anemia macrocítica normocrômica, presença de glóbulos vermelhos nucleados, presença de macro-ovalócitos e aumento do espectro de distribuição das hemácias.” Estas características se referem à:
Provas
“As fitas reativas de urina nos fornecem informações sobre gravidade específica, pH, proteína, glicose, cetonas, bilirrubina, sangue (heme), nitrito e esterase leucocitária. Porém, as fitas reativas não são confiáveis para a detecção de algumas proteínas ou açúcares redutores (exceto a glicose).”
(Manual de Exames Diagnósticos – 6ª edição Por Diana Nicoll.)
Trata-se de proteína detectada na fita reativa de urina:
Provas
Caderno Container