Foram encontradas 690 questões.
Observe o gráfico a seguir, que representa a quantidade de DNA
durante a intérfase e a divisão celular:
(Adaptado de LINHARES, S. et al. Biologia hoje. São Paulo: Ática, 2016. Volume 1.)
Esse gráfico pode representar células como
(Adaptado de LINHARES, S. et al. Biologia hoje. São Paulo: Ática, 2016. Volume 1.)
Esse gráfico pode representar células como
Provas
Questão presente nas seguintes provas
Na Ilha de Maracá, na Estação Ecológica Maracá-Jipioca, no
Amapá, ocorre uma cobertura florestal denominada Formação
Pioneira, constituída por vegetais que se encontram em fase de
sucessão. Uma das duas formações encontradas por lá são os
Campos de Planície, que ocorrem na faixa costeira. A cobertura
vegetal é rica em gramíneas, ciperáceas e melastomáceas.
(Adaptado de Ambiente Brasil, Estação Ecológica Maracá-Jipioca)
Com relação à sucessão ecológica, assinale V para a afirmativa verdadeira e F para a falsa.
( ) A sucessão é um processo não sazonal, contínuo. ( ) As espécies que iniciam o processo de sucessão são chamadas espécies pioneiras, como, por exemplo, diversas espécies de gramíneas. ( ) Ao longo da sucessão ecológica, ocorre a redução da biomassa total.
As afirmativas são, respectivamente,
(Adaptado de Ambiente Brasil, Estação Ecológica Maracá-Jipioca)
Com relação à sucessão ecológica, assinale V para a afirmativa verdadeira e F para a falsa.
( ) A sucessão é um processo não sazonal, contínuo. ( ) As espécies que iniciam o processo de sucessão são chamadas espécies pioneiras, como, por exemplo, diversas espécies de gramíneas. ( ) Ao longo da sucessão ecológica, ocorre a redução da biomassa total.
As afirmativas são, respectivamente,
Provas
Questão presente nas seguintes provas
A utilização de agentes dopantes no esporte está cada vez mais
avançada, atletas de renome estão sendo descobertos pelo uso
de substâncias ilegais que auxiliam em seu desempenho. A
eritropoetina (EPO) é uma forma de doping sanguíneo muito
utilizada no esporte, sendo que sua incidência é elevada em
atletas de provas de resistência. Contudo o uso da EPO como um
agente dopante, pode estar associado ao aparecimento de
distúrbios, trombose venosa, embolia pulmonar, aumento da
viscosidade e hipercoagulabilidade do sangue e anemia.
(Adaptado de EFDeportes, Revista Digital, Ano 21 · n° 225. Buenos Aires, Fevereiro de 2017)
A eritropoetina é um hormônio produzido
(Adaptado de EFDeportes, Revista Digital, Ano 21 · n° 225. Buenos Aires, Fevereiro de 2017)
A eritropoetina é um hormônio produzido
Provas
Questão presente nas seguintes provas
A maioria dos kits comerciais usados para a identificação genética
humana contém o marcador do gene amelogenina como
identificador de gênero. O gene amelogenina (AMELX), presente
no cromossomo X, codifica a proteína amelogenina, que participa
do desenvolvimento do esmalte dentário; a amplificação do
AMELX origina um produto de 106 pb. Outra versão desse gene, o
AMELY, é encontrada no cromossomo Y e sua amplificação
origina um produto de 112 pb.
Observe a seguir o esquema que mostra o resultado parcial do sequenciamento de duas amostras de DNA, provenientes de dois indivíduos diferentes (I e II). Os picos mostram o resultado para o gene da amelogenina.
Considerando a inexistência de alterações cromossomiais, a análise do eletroferograma permite concluir que
Observe a seguir o esquema que mostra o resultado parcial do sequenciamento de duas amostras de DNA, provenientes de dois indivíduos diferentes (I e II). Os picos mostram o resultado para o gene da amelogenina.
Considerando a inexistência de alterações cromossomiais, a análise do eletroferograma permite concluir que
Provas
Questão presente nas seguintes provas
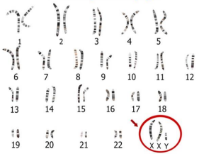
Uma mulher e um homem normais para a identificação visual das
cores têm um filho daltônico, cujos cromossomos podem ser
vistos no idiograma a seguir:
(Fonte: https://andrologylab.gr/en/services/genetic-testing/karyotype/)
A explicação possível para o fato de este casal ter tido um filho daltônico é ter ocorrido a não disjunção dos(as)
(Fonte: https://andrologylab.gr/en/services/genetic-testing/karyotype/)
A explicação possível para o fato de este casal ter tido um filho daltônico é ter ocorrido a não disjunção dos(as)
Provas
Questão presente nas seguintes provas
Os poluentes do ar podem ser de origem natural ou antrópica.
Entre os poluentes naturais, estão os gases e materiais
particulados produzidos por erupções vulcânicas e as emissões de
gases produzidos pela fermentação em locais com alta carga
orgânica.
Com relação à fermentação, analise os itens a seguir:
I. Trata-se de um processo bioquímico de obtenção de ATP que ocorre sem a utilização de gás oxigênio e sem uma cadeia transportadora de elétrons. II. O primeiro passo da fermentação é a glicólise, onde a glicose é oxidada e origina três moléculas de ácido pirúvico. Essa etapa ocorre no citoplasma da célula e tem uma produção líquida de 2 ATP. III. A fermentação é realizada exclusivamente por microrganismos. O produto da fermentação depende do tipo de microrganismo - as leveduras, por exemplo, realizam fermentação etílica., produzindo etanol e CO2 .
Está correto o que se afirma em
I. Trata-se de um processo bioquímico de obtenção de ATP que ocorre sem a utilização de gás oxigênio e sem uma cadeia transportadora de elétrons. II. O primeiro passo da fermentação é a glicólise, onde a glicose é oxidada e origina três moléculas de ácido pirúvico. Essa etapa ocorre no citoplasma da célula e tem uma produção líquida de 2 ATP. III. A fermentação é realizada exclusivamente por microrganismos. O produto da fermentação depende do tipo de microrganismo - as leveduras, por exemplo, realizam fermentação etílica., produzindo etanol e CO2 .
Está correto o que se afirma em
Provas
Questão presente nas seguintes provas
Os vegetais, em decorrência de sua ampla distribuição,
especialmente as angiospermas, mostram-se muito úteis em
questões legais. Os vestígios botânicos, que por muito tempo
foram subestimados, tendo em vista sua utilidade no
esclarecimento de questões criminais, têm levado ao
desenvolvimento da Botânica forense.
Nas angiospermas, grupo dominante na flora mundial, a planta propriamente dita, permanente, é o
Nas angiospermas, grupo dominante na flora mundial, a planta propriamente dita, permanente, é o
Provas
Questão presente nas seguintes provas
Após estimar a idade de briófitas que cresciam sobre um pedaço
da tíbia de um cadáver encontrado em uma floresta em Portugal,
peritos conseguiram determinar o tempo aproximado decorrido
desde a morte. Isso foi possível porque o crescimento de certas
espécies de briófitas ocorre por meio da multiplicação de células
do meristema do ápice, originando segmentos anuais de
crescimento bem definidos.
Observe o esquema com os exemplares de briófitas analisados pelos peritos.

Os segmentos anuais de crescimento estavam localizados no
Observe o esquema com os exemplares de briófitas analisados pelos peritos.

Os segmentos anuais de crescimento estavam localizados no
Provas
Questão presente nas seguintes provas
A história de um pescador que fisgou um pirarucu de 113 kg, em
um rio no interior de São Paulo, preocupa pesquisadores. Segundo
uma doutora em desenvolvimento sustentável, a presença do
peixe na região pode causar desequilíbrio ambiental.
(Adaptado da reportagem do G1, RO, 19/10/2022)
Um possível motivo do desequilíbrio é que o pirarucu pode estabelecer com as espécies nativas dos rios paulistas uma relação ecológica conhecida como
(Adaptado da reportagem do G1, RO, 19/10/2022)
Um possível motivo do desequilíbrio é que o pirarucu pode estabelecer com as espécies nativas dos rios paulistas uma relação ecológica conhecida como
Provas
Questão presente nas seguintes provas
A principal diferença entre as células bacterianas e as células
eucarióticas é a localização do seu DNA. Na célula eucariótica, a
maioria do DNA está na organela chamada de núcleo, enquanto
na célula bacteriana o DNA está concentrado em uma região não
envolta por membrana, chamada de nucleoide.
Uma outra característica diferencial da célula bacteriana é a
Uma outra característica diferencial da célula bacteriana é a
Provas
Questão presente nas seguintes provas
Cadernos
Caderno Container