Foram encontradas 560 questões.
Assinale a alternativa correta em relação à ação
do músculo estilo-hioide.
Provas
Questão presente nas seguintes provas
Durante a análise dentária de uma criança de
11 anos, verificou-se que a mesma apresentava apenas 1 dente decíduo em boca, correspondente ao
segundo molar inferior direito.
De acordo com o sistema de numeração da Federação Dentária Internacional (FDI), o segundo molar inferior direito decíduo é identificado pelo número:
De acordo com o sistema de numeração da Federação Dentária Internacional (FDI), o segundo molar inferior direito decíduo é identificado pelo número:
Provas
Questão presente nas seguintes provas
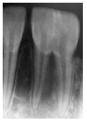
Em uma radiografia periapical
de um indivíduo desconhecido,
solicitada para fins de identificação
odontolegal, observa-se um dente
incisivo inferior com duas raízes
separadas e com canais radiculares
independentes; contudo, apresentando duas coroas fundidas parcialmente, ilustradas na imagem
abaixo.
Com base nesses achados, assinale a alternativa que descreve corretamente as alterações dentárias observadas.
Com base nesses achados, assinale a alternativa que descreve corretamente as alterações dentárias observadas.
Provas
Questão presente nas seguintes provas
Os documentos odontolegais consistem em
registros escritos ou declarações orais elaboradas por
um cirurgião-dentista no exercício de sua atividade
profissional, podendo ser utilizados como prova, inclusive em processos judiciais. O laudo pericial, que nada
mais é do que um relatório elaborado pelo perito,
deve seguir normas formais para garantir sua validade.
Nesse contexto, analise as etapas a seguir:
1. Resposta aos quesitos.
2. Descrição.
3. Histórico.
4. Preâmbulo.
5. Conclusão.
6. Discussão.
Assinale a alternativa que apresenta, respectivamente, a ordem correta das partes que devem constar obrigatoriamente em um laudo odontolegal.
Nesse contexto, analise as etapas a seguir:
1. Resposta aos quesitos.
2. Descrição.
3. Histórico.
4. Preâmbulo.
5. Conclusão.
6. Discussão.
Assinale a alternativa que apresenta, respectivamente, a ordem correta das partes que devem constar obrigatoriamente em um laudo odontolegal.
Provas
Questão presente nas seguintes provas
Assinale a alternativa correta no que diz respeito
aos tipos de lesões corporais e aos instrumentos
vulnerantes.
Provas
Questão presente nas seguintes provas
Em perícias médico-legais, a morte pode ser descrita sob diferentes perspectivas. Do ponto de vista
jurídico, considera-se “causa mortis” o fator que define
a forma de ocorrência da morte e a responsabilidade
legal envolvida, independentemente do mecanismo
biológico que levou à morte.
Assinale a alternativa que indica corretamente uma causa mortis jurídica.
Assinale a alternativa que indica corretamente uma causa mortis jurídica.
Provas
Questão presente nas seguintes provas
Na identificação humana, existem princípios
fundamentais que garantem que o processo seja confiável, aplicável e sistemático. Esses princípios servem
como requisitos básicos para qualquer método de
reconhecimento individual.
Assinale a alternativa que apresenta corretamente os requisitos essenciais da identificação humana.
Assinale a alternativa que apresenta corretamente os requisitos essenciais da identificação humana.
Provas
Questão presente nas seguintes provas
Na Odontologia Legal, a identificação de
materiais restauradores é fundamental em perícias
dentárias.
Considerando restaurações confeccionadas com resina composta fotopolimérica, o método cientificamente reconhecido e mais confiável para identificação, utilizado em conjunto com análise pericial, é:
Considerando restaurações confeccionadas com resina composta fotopolimérica, o método cientificamente reconhecido e mais confiável para identificação, utilizado em conjunto com análise pericial, é:
Provas
Questão presente nas seguintes provas
Em perícias de disparos de arma de fogo, os vestígios deixados ao redor da ferida de entrada permitem
estimar a distância do tiro e o tipo de arma utilizada.
Quando há depósito difuso de fuligem e resíduos de pólvora ao redor da ferida, sem perfuração pontilhada da pele, esse sinal caracteriza a/o:
Quando há depósito difuso de fuligem e resíduos de pólvora ao redor da ferida, sem perfuração pontilhada da pele, esse sinal caracteriza a/o:
Provas
Questão presente nas seguintes provas
Os cromossomos são estruturas localizadas no
núcleo celular, formadas por filamentos de DNA responsáveis por armazenar a informação genética.
Assinale a alternativa correta considerando o cariótipo humano típico de indivíduos sem alterações cromossômicas, nas células somáticas.
Assinale a alternativa correta considerando o cariótipo humano típico de indivíduos sem alterações cromossômicas, nas células somáticas.
Provas
Questão presente nas seguintes provas
Cadernos
Caderno Container