Magna Concursos

Foram encontradas 80 questões.

2606788 Ano: 2022
Disciplina: Medicina
Banca: Consulplan
Orgão: PM-RN
Provas:

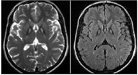
Paciente, 56 anos, internada em leito de UTI devido a complicações da Covid-19, evoluindo com várias intercorrências ao longo dos seus 24 dias de internação hospitalar, como diversos distúrbios hidroeletrolíticos, com necessidade de correção. A paciente evoluiu com tetraparesia espástica e realizou o seguinte exame de imagem:

Enunciado 2606788-1

Assinale o provável diagnóstico da paciente.

 

Provas

Questão presente nas seguintes provas
2606787 Ano: 2022
Disciplina: Medicina
Banca: Consulplan
Orgão: PM-RN
Provas:

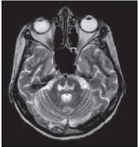
Paciente, sexo masculino, 29 anos de idade, apresenta quadro de parkinsonismo (ridigez em roda denteada e bradicinesia principalmente); distonia cervical; disartria e disfonia discretas; alteração comportamental com surtos psicóticos; retinopatia pigmentar; e, sinais de liberação piramidal ao exame físico neurológico. O quadro tem apresentado piora progressiva ao longo do tempo. Foi realizada a seguinte Ressonância de Crânio (RM de crânio); observe:

Enunciado 2606787-1

Assinale o provável diagnóstico desse paciente.

 

Provas

Questão presente nas seguintes provas
2606786 Ano: 2022
Disciplina: Medicina
Banca: Consulplan
Orgão: PM-RN
Provas:

Criança, sexo masculino, três anos de idade, é levada pelos pais ao consultório do neuropediatra por apresentar quadro de movimentos bruscos, rápidos e erráticos de tronco e membros, além de movimentos rápidos do globo ocular em diversas direções. Ao examinar o paciente, o médico percebeu que se tratava de um caso de síndrome de opsoclonus-mioclonus. Neste contexto, o neuropediatra deve desconfiar de:

 

Provas

Questão presente nas seguintes provas
2606785 Ano: 2022
Disciplina: Medicina
Banca: Consulplan
Orgão: PM-RN
Provas:

“A doença de Huntington (DH) é neurodegenerativa progressiva e rara em que os pacientes apresentam movimentos coreiformes, alterações cognitivas e psiquiátricas ao longo da vida.”

Geneticamente, ocorre uma expansão do número de repetições de bases nitrogenadas; assinale-as.

 

Provas

Questão presente nas seguintes provas
2606784 Ano: 2022
Disciplina: Medicina
Banca: Consulplan
Orgão: PM-RN
Provas:

“A doença de Huntington (DH) é neurodegenerativa progressiva e rara em que os pacientes apresentam movimentos coreiformes, alterações cognitivas e psiquiátricas ao longo da vida.”

Geneticamente, trata-se de uma doença cuja herança é:

 

Provas

Questão presente nas seguintes provas
2606783 Ano: 2022
Disciplina: Medicina
Banca: Consulplan
Orgão: PM-RN
Provas:

Paciente, sexo masculino, 63 anos de idade, com quadro de afasia e hemiparesia de predomínio fasciobraquial à direita; realizou TC e Ângio TC de crânio, sendo identificado um trombo ocasionando a oclusão completa do segmento M1 da artéria cerebral média esquerda. Foi levado para trombectomia mecânica com stent retriever. Após duas passagens com o dispositivo, obtém-se completa desobstrução e reperfusão do território acometido, com reperfusão, inclusive, dos ramos mais distais. O procedimento é encerrado. De acordo com a escala modificada de Trombólise no Infarto Cerebral (mTICI), esse resultado angiográfico pode ser classificado como:

 

Provas

Questão presente nas seguintes provas
2606782 Ano: 2022
Disciplina: Medicina
Banca: Consulplan
Orgão: PM-RN
Provas:

Considerando que as doenças neurodegenerativas são cada vez mais prevalentes na sociedade atual, como as que envolvem a deposição anormal de alfa sinucleína nos neurônios e as células da glia, denominadas de alfa sinucleinopatias. Assinale, a seguir, dois exemplos de alfa sinucleinopatias.

 

Provas

Questão presente nas seguintes provas
2606781 Ano: 2022
Disciplina: Medicina
Banca: Consulplan
Orgão: PM-RN
Provas:

O cerebelo é a estrutura do Sistema Nervoso Central (SNC) responsável pelo equilíbrio; postura; tônus muscular; e, coordenação motora, através de diversas conexões com regiões corticais; subcorticais; troncoencefálico; e, medula. Por muito tempo acreditava-se que o cerebelo apresentava apenas funções motoras; porém, atualmente, sabemos que ele participa de algumas funções cognitivas como o planejamento motor, tomada de decisões, linguagem e emoções.

Enunciado 2606781-1

Sobre a importante estrutura do SNC, assinale a alternativa que associa corretamente os núcleos centrais do cerebelo.

 

Provas

Questão presente nas seguintes provas
2606780 Ano: 2022
Disciplina: Medicina
Banca: Consulplan
Orgão: PM-RN
Provas:

A Síndrome da Apneia Obstrutiva do Sono (SAOS) afeta, aproximadamente, 30% da população adulta, sendo mais frequente em homens, obesos e pessoas com mais de 40 anos de idade. O diagnóstico dessa patologia requer um estudo de polissonografia, onde o Índice de Apneia-Hipopneia (IAH) é utilizado para classificar a gravidade do quadro. Em relação à polissonografia na SAOS, é INCORRETO afirmar que o Índice de Apneia-Hipopneia (IAH):

 

Provas

Questão presente nas seguintes provas

De acordo com o Novo Código de Ética Médica, quanto aos princípios fundamentais, assinale a afirmativa correta.

 

Provas

Questão presente nas seguintes provas