Foram encontradas 80 questões.
Paciente masculino, 56 anos, fará um transplante renal por uma doença renal em fase terminal de etiologia diabética. Considere as seguintes drogas que podem ser usadas para indução da remissão durante a indução anestésica:
I. Timoglobulina.
II. Alentuzumabe.
III. Basiliximabe.
IV. Daclizumabe.
Considerando tais drogas, as depletoras de linfócitos são apenas
Provas
Homem, 60 anos, previamente hígido, é levado ao pronto-socorro por quadro de febre; mialgia; astenia; disúria; e, dor em região perineal de início há três dias. Foi submetido à biópsia prostática guiada por ultrassom há sete dias como propedêutica para investigação de câncer de próstata após resultado de PSA aumentado há um mês. Aguarda laudo histopatológico. Ao exame: paciente confuso; torporoso; desidratado + / 4+; Temperatura = 38,2° C; PA = 90 x 50 mmHg; FR = 24 irpm; saturação periférica de Oxigênio = 96%; tempo de enchimento capilar = 5 segundos; auscutas respiratória e cardíaca sem alterações; exame abdominal sem alterações; ao toque retal: próstata aumentada; firme; edemaciada; e, sensível à palpação. Fazem parte da conduta frente ao caso, EXCETO:
Provas
Homem, 65 anos de idade, tabagista, procurou atendimento por quadro de hematúria macroscópica indolor. Realizou ultrassonografia de vias urinárias que identificou lesão suspeita em bexiga. Encaminhada à cistoscopia que revelou lesão única submetida à ressecção endoscópica. Análise histopatológica da lesão: carcinoma urotelial com invasão da camada basal (lâmina própria ou tecido conjuntivo subepitelial), margens livres. Considerando o caso clínico relatado, qual a melhor conduta?
Provas
Sobre carcinoma de células renais, assinale a afirmativa correta.
Provas
Mulher, 40 anos, queixa-se de disúria há cinco dias. Há dois dias apresenta febre e dor lombar à direita. Ao exame físico: regular estado geral; febril (38° C); hidratada; corada; FC = 100 bpm; FR = 17 irpm; exame abdominal sem alterações; punho- -percussão positiva à direita. Coletou hemograma; função renal; urina tipo I; e, urocultura e aguarda resultados. Radiografia de abdômen: presença de cálculo radiopaco, preenchendo toda pelve renal e cálices à direita em aspecto “coraliforme”. Em relação ao caso clínico, assinale a afirmativa correta.
Provas
A diálise peritoneal é uma opção de tratamento para doentes renais na qual se utiliza o peritônio do paciente como a membrana semipermeável para trocas. As duas principais modalidades de diálise peritoneal utilizadas são a Diálise Peritoneal Ambulatorial Contínua (DPAC) e a Diálise Peritoneal Automatizada (DPA). Sobre a Diálise Peritoneal Ambulatorial Contínua (CAPD), assinale a alternativa correta.
Provas
Homem, 60 anos, hipertenso, diabético e nefropata em hemodiálise, abandonou tratamento por mais de um mês. Foi trazido à emergência por dispneia, fraqueza e confusão mental. Ao instituir tratamento, qual manifestação, se apresentada pelo paciente, não será corrigida pela hemodiálise?
Provas
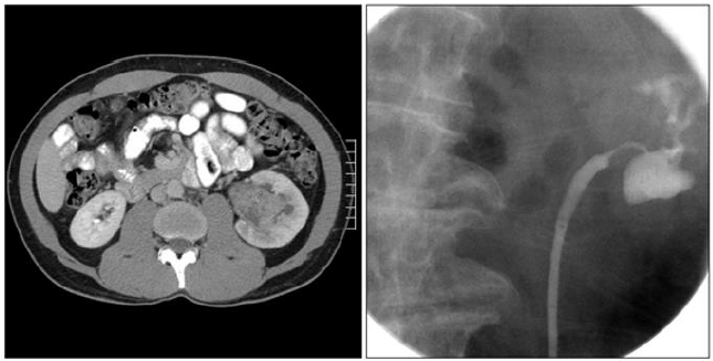
Homem, 70 anos, branco, tabagista, com história prévia de ressecção transuretral de tumor de bexiga por duas vezes. Consulta por novo episódio de hematúria macroscópica com coágulos, dessa vez associada à dor abdominal. Citologia urinária positiva para células neoplásicas. Realizada cistoscopia sem identificação de lesões ou massas suspeitas. Observe o estudo de imagens:

Considerando o caso clínico, qual diagnóstico mais provável?
Provas
Considerando que, ao ser programado o início de terapia dialítica, deve-se escolher entre diálise peritoneal ou hemodiálise, analise as alternativas a seguir.
I. Maior perda proteica.
II. Requer uso de heparina.
III. Menor rapidez de extração de líquidos e solutos.
IV. Maior índice de hipotensão.
Das características evidenciadas anteriormente sobre a diálise peritoneal em detrimento à hemodiálise convencional, está correto o que se afirma apenas em
Provas
Paciente feminina, 54 anos, fazendo hemodiálise intermitente por conta de uma lesão renal aguda através de um cateter de curta permanência na veia jugular interna direita há 17 dias, evolui com febre e calafrios. Não havia outro foco presumido. Pela hipótese de infecção de corrente sanguínea associada ao cateter, foram colhidas hemoculturas, sendo um par do cateter e outro par em veia periférica no MSD. No dia seguinte, foi visto que havia crescido Staphylococcus aureus com 12 horas e 2 minutos na hemocultura colhida a partir do cateter e 12 horas e 56 minutos a partir da hemocultura colhida no sangue periférico. Antibiograma mostrava resistência à oxacilina e sensibilidade à vancomicina; teicoplanina; linezolida; e, tigeciclina. Em relação ao quadro clínico, é INCORRETO afirmar que:
Provas
Caderno Container