Foram encontradas 865 questões.
A respeito das lesões de nervos sensoriais na região maxilofacial, assinale a alternativa correta.
Provas
Múltiplos fatores podem ser associados à etiologia do canino impactado e, dessa forma, torna-se difícil identificar o fator preciso de cada caso. Quanto à previsão da impacção do canino superior, utiliza-se como referência a localização da ponta da cúspide do canino e sua relação com o incisivo lateral (IL) adjacente, dividindo essa localização em setores. Considerando esse tema, assinale a alternativa correta.
Provas
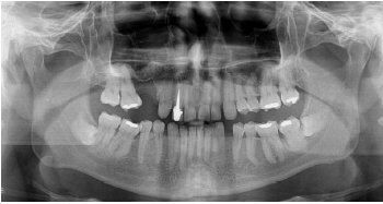
Paciente do sexo masculino, 55 anos de idade, comparece ao consultório odontológico encaminhado pelo ortodontista, sem queixas álgicas. No exame clínico, não foi possível visualizar os dentes 38 e 48, que estavam totalmente recobertos por gengiva e sem sinais de inflamação ou infecção. Na radiografia panorâmica, evidencia-se ambos retidos e impactados, sem sinais sugestivos de patologias associadas. Foi solicitada tomografia computadorizada por feixe cônico e confirmou-se íntimo contato do 48 com canal mandibular. Dentre as seguintes características, assinale a alternativa que apresenta um fator que contraindica a realização da coronectomia no dente 48.

Provas
Sobre a Política Nacional de Saúde Bucal, assinale a alternativa correta.
Provas
Os Centros de Especialidades Odontológicas (CEO) podem fazer adesão à Rede de Cuidados à Pessoa com Deficiência e, para solicitar incentivo adicional, precisam cumprir os seguintes requisitos mínimos, EXCETO
Provas
Em relação à classificação das Desordens da Articulação Temporomandibular, é correto afirmar que
Provas
Assinale a alternativa que apresenta respectivamente: o nervo responsável pela sensibilidade gustativa dos 2/3 anteriores da língua, o nervo responsável pela inervação sensitiva geral dos 2/3 anteriores da língua, o nervo responsável pela inervação sensitiva geral do 1/3 posterior da língua e o nervo responsável pela inervação motora da língua.
Provas
A articulação temporomandibular (ATM) é responsável pelos movimentos da mandíbula (fonação, mastigação). Considerando o tema, assinale a alternativa INCORRETA.
Provas
Em relação à Articulação Temporomandibular (ATM), informe se é verdadeiro (V) ou falso (F) o que se afirma a seguir e assinale a alternativa com a sequência correta.
( ) O tubérculo articular do temporal é uma saliência transversal, originada a partir do tubérculo da raiz do zigoma, que se dirige medialmente na face inferior do temporal. Ele é convexo anteroposteriormente e plano ou pouco côncavo lateromedialmente. Apenas a vertente posterior e o ápice do tubérculo fazem parte da superfície articular.
( ) A cartilagem articular é recoberta por cartilagem hialina, predominantemente avascular, com muitas células cartilaginosas, as quais tornam as superfícies ósseas da articulação mais lisas.
( ) O disco é constituído por um tecido fibrocartilaginoso e tem a forma de "S" deitado, com duas superfícies: superior, maior e convexa posteriormente e côncava anteriormente; e inferior, menor e toda côncava, relaciona-se com o côndilo da mandíbula.
( ) O ligamento temporomandibular é um feixe de tecido fibroso que cobre medialmente o feixe vasculonervoso alveolar inferior. Origina-se na espinha do esfenoide e se insere na língula da mandíbula.
Provas
A respeito da trombose do seio caverno, analise as assertivas e assinale a alternativa que aponta as corretas.
I. A trombose do seio cavernoso raramente pode surgir a partir de uma infecção nas veias faciais e cervicais. Porém é considerada um quadro grave em função das nobres estruturas banhadas pelo seio cavernoso, como a Artéria Carótida Interna, os nervos oculomotor (III), troclear (IV), oftálmico (V/1) e abducente (VI).
II. As vias de transmissão são divididas em anterior, a qual envolve a veia angular através das veias oftálmicas que podem drenar infecções odontogênicas ou do seio maxilar, e posterior, a qual envolve a veia profunda da face que drena para o plexo pterigoide, a partir do qual as veias emissárias passam através do forame emissário esfenoidal, oval e lácero para se unir ao seio sigmoide e depois ao seio cavernoso.
III. A síndrome de Lemierre causa a trombose do seio cavernoso via veia jugular interna, que drena o seio petroso inferior.
IV. A infecção odontogênica pode causar a síndrome de Lemierre pelo envolvimento do espaço faríngeo lateral, levando à Trombose do Seio Cavernoso. A apresentação comum da Síndrome de Lemierre se deve a êmbolos sépticos que seguem o padrão de fluxo normal para o coração onde são distribuídos para os pulmões, fígado, osso e articulações, causando abscessos metastáticos. A fusobacterium necrophorum é o patógeno identificado com mais frequência.
Provas
Caderno Container