Foram encontradas 854 questões.
Observe a seguinte charge.

A charge refere-se ao seguinte processo biológico
Provas
Observe a representação esquemática das divisões celulares.

Após análise da imagem, é CORRETO afirmar que
Provas
Observe a representação esquemática de um experimento para demonstração de uma das etapas da fotossíntese.

Disponível em: <http://quartzodeplasma.wordpress.com/2012/10/22/fotossintese-no-laboratorio/ > Acesso em 14 mar. 2014.
Após análise do experimento, é CORRETO afirmar que
Provas
Observe a representação de uma ligação química que forma uma importante substância orgânica.

A substância orgânica formada a partir de várias dessas ligações é
Provas
Observe a representação embrionária de diferentes grupos animais.

Disponível em: <http://omundodoemiliojunior.blogspot.com.br/2012/09/embriologia.html>
Após análise das imagens, é CORRETO afirmar que a representação de número
Provas
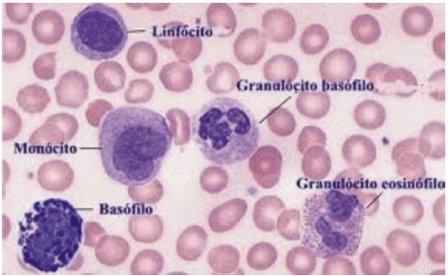
Observe a imagem que mostra um conjunto de células que faz parte de um dos sistemas biológicos humanos.

Disponível em: http://www.sobiologia.com.br/conteudos/Corpo/Circulacao4.php
As células apresentadas fazem parte de um tipo tecido animal.
Em relação ao tipo de tecido animal representado, assinale a alternativa CORRETA.
Provas
Observe a imagem que ilustra os movimentos de inspiração e expiração humana.

Disponível em:<http://www.infoescola.com/fisiologia/respiracao> Acesso em: 14 de mar. 2014. (Adaptado)
Com base na análise das imagens, o diafragma
Provas
Observe a imagem que mostra o crescimento de um fungo filamentoso em meio de cultura.

Disponível: <http://atlasmicologia.blogspot.com.br/2011_05_01_archive.html>
A espécie de fungo mostrada na imagem foi cultivada em um meio de cultura, contendo NaCl, amido, extrato de carne e ágar.
Durante um exame de rotina, o técnico, ao abrir a placa, deixou cair uma quantidade significativa de lugol. Para sua surpresa, uma área ao redor do fungo (A) ficou clara e o restante, externo ao fungo (B), ficou azul.
Esse halo claro formado em torno da colônia pode estar relacionado
Provas
Observe a imagem representativa de um coração em corte.

Disponível: <http://histologiaanimalturmat.blogspot.com.br/2010/11/tecido-cardiaco.html>
O órgão em destaque apresenta na sua constituição, dentre outros, o seguinte tecido:
Provas
Analise a imagem que mostra o sistema digestório de um ruminante.

Disponível em:<http://www.brasilescola.com/biologia/digestao-dos-ruminantes.htm>
Em relação ao processo de digestão desses animais, assinale a alternativa CORRETA.
Provas
Caderno Container