Foram encontradas 1.896 questões.
A função de transformar o nitrogênio existente no ar atmosférico em formas assimiláveis para plantas e animais é realizada por bactérias fixadoras de nitrogênio e algumas algas azuis (cianobactérias) (…) Uma das associações mais conhecidas é a que ocorre entre várias espécies de leguminosas e as bactérias da família Rhizobiaceae e pode ser verificada através da formação de nódulos nas raízes.
(www.agencia.cnptia.embrapa.br/gestor/cana-de acucar/ arvore/CONTAG01_31_711200516717.html)
A relação ecológica descrita no texto é classificada como:
Provas
A figura a seguir mostra um trecho da molécula de DNA evidenciando as bases nitrogenadas Adenina, Guanina e Timina em um dos filamento de polinucleotídeos.

(Adap. de: http://www.ufv.br/dbg/genetica/cap10.htm)
Sobre as bases nitrogenadas indicadas pelos números 1, 2 e 3, avalie as seguintes afirmativas:
I- A base nitrogenada 1 é a timina, não encontrada no ácido nucleico RNA.
II- A base nitrogenada 2 é a citosina, que se liga à guanina por três pontes de hidrogênio.
III- A base nitrogenada 3 é a uracila, que se liga à timina por duas pontes de hidrogênio.
Assinale a alternativa correta:
Provas
O exame parasitológico de fezes (EPF) é a análise laboratorial feita a partir de uma amostra, buscando detectar a presença e o tipo de vermes parasitas e protozoários no intestino. Enquanto os protozoários são organismos unicelulares, os vermes parasitas ou helmintos são seres vivos mais complexos, compostos por várias células. São exemplos de helmintos que podem ser detectados no EPF:
Provas
Existe aproximadamente um milhão de espécies de artrópodes, o que equivale a quatro vezes o total de todas as outras espécies de animais reunidas. Os insetos formam uma classe dentro do filo Arthropoda e representam quase 90% das espécies desse filo. Todas as características abaixo pertencem aos insetos, EXCETO:
Provas
Os glóbulos vermelhos estão normalmente em suspensão no plasma sanguíneo. O exame de uma gota de sangue em uma microscopia óptica revela que estas células possuem formato bicôncavo característico. Se adicionarmos água pura ou solução concentrada de sal a essa gota de sangue, os glóbulos vermelhos terão o formato e o volume alterados conforme ilustrado abaixo.

(Sadava, David … (et al. ) Vida: a ciência da biologia. 8. ed. Porto Alegra. Artmed, 2009. Volume I, p 107.)
Os glóbulos vermelhos I, II e III estão mergulhados, respectivamente, em:
Provas
Os carboidratos são moléculas orgânicas que representam fonte de energia para os seres vivos. Existem três categorias de carboidratos biologicamente importantes: monossacarídeos, dissacarídeos e polissacarídeos. Em relação aos carboidratos, NÃO é correto afirmar que:
Provas
A habilidade manual é uma característica que obedece à 1a lei de Mendel. O fenótipo canhoto é condicionado pelo alelo autossômico recessivo enquanto o fenótipo destro é condicionado pelo alelo autossômico dominante. O heredograma abaixo representa uma família com indivíduos destros e canhotos.

A análise do heredograma permite concluir que os indivíduos:
Provas
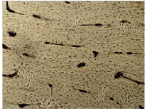
A imagem abaixo representa o tecido ósseo visto em um microscópio óptico com um aumento de 400 x.

Sobre o tecido apresentado na imagem, analise as seguintes afirmativas:
I- É um tecido avascular.
II- Contém células vivas denominadas osteócitos, osteoblastos e osteoclastos.
III- A matriz extracelular contém fosfato de cálcio responsável pela rigidez do osso.
Assinale a afirmativa correta:
Provas
Existem quatro tipos de sangues no sistema ABO: A, B, AB e O. Esses tipos são caracterizados pela presença ou não de certas substâncias na membrana das hemácias, os aglutinogênios, e pela presença ou ausência de outras substâncias, as aglutininas, no plasma sanguíneo. Soros anti-a e anti-b são empregados para análise laboratorial a fim de identificar a tipagem do grupo sanguíneo. Três amostras de sangue (X, Y e Z) foram testadas em laboratório e os resultados estão descritos na tabela abaixo:
|
AMOSTRA |
Soro anti-A |
Soro anti-B |
| X | Não aglutinou |
Não aglutinou |
| Y | Aglutinou |
Não aglutinou |
| Z | Não aglutinou |
Aglutinou |
As amostras X, Y e Z pertencem, respectivamente, aos tipos sanguíneos:
Provas
No laboratório, o cuidado com a lavagem, descontaminação e desinfecção da vidraria deve ser criterioso; dependendo do tipo de uso, pode inclusive influenciar os resultados. Os equipamentos volumétricos devem estar sempre limpos e livres de gordura em suas paredes internas. Em alguns equipamentos a presença de gordura pode afetar o escoamento das soluções e proporcionar leituras equivocadas dos meniscos. Para retirar a gordura presente nas partes internas de uma bureta sem danificá-la, o procedimento mais adequado é:
Provas
Caderno Container