Foram encontradas 55 questões.
Disciplina: Atualidades e Conhecimentos Gerais
Banca: VUNESP
Orgão: IAMSPE

Essa solidariedade foi prestada ao presidente
Provas
Disciplina: Atualidades e Conhecimentos Gerais
Banca: VUNESP
Orgão: IAMSPE
O agrônomo e pesquisador Josias Correa de Faria, um dos coordenadores de pesquisa da Embrapa, que buscava um produto resistente à doença chamada de mosaico dourado, anunciou, no dia 28 de agosto deste ano (2011), o sucesso dos experimentos que resultaram na primeira planta geneticamente modificada do Brasil. Ele afirmou que “enquanto numa cultura convencional, à época de alta incidência de mosca branca, são necessárias aplicações semanais de agrotóxico, na cultura transgênica
Provas
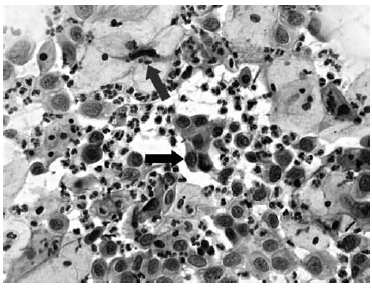
Nas questões de números 46 a 60, assinale a alternativa que melhor corresponde ao diagnóstico do quadro microscópico apresentado.

Provas
Nas questões de números 46 a 60, assinale a alternativa que melhor corresponde ao diagnóstico do quadro microscópico apresentado.

Provas
Nas questões de números 46 a 60, assinale a alternativa que melhor corresponde ao diagnóstico do quadro microscópico apresentado.

Provas
Nas questões de números 46 a 60, assinale a alternativa que melhor corresponde ao diagnóstico do quadro microscópico apresentado.

Provas
Nas questões de números 46 a 60, assinale a alternativa que melhor corresponde ao diagnóstico do quadro microscópico apresentado.

Provas
Nas questões de números 46 a 60, assinale a alternativa que melhor corresponde ao diagnóstico do quadro microscópico apresentado.

Provas
Nas questões de números 46 a 60, assinale a alternativa que melhor corresponde ao diagnóstico do quadro microscópico apresentado.

Provas
Nas questões de números 46 a 60, assinale a alternativa que melhor corresponde ao diagnóstico do quadro microscópico apresentado.

Provas
Caderno Container