Foram encontradas 80 questões.
Um paciente de 28 anos de idade, vítima de colisão frontal entre carros, em que estava na posição de motorista, deu entrada no pronto-socorro. Apresenta escoriação em face anterior do hemitórax esquerdo, sem outros sinais externos de ferimentos. Ao exame físico, com PA de 110 x 70 mmHg, FC de 120 bpm, FR de 28 irpm, sat. de O2 de 91% em ar ambiente, diminuição acentuada de MV no hemitórax esquerdo (HTE), discreto desvio traqueal da linha média para a direita, hipersonoridade à percussão do hemitórax esquerdo e discreta estase jugular.
Com base nessa situação hipotética, é correto afirmar que a conduta a ser adotada é a de
Provas
Um paciente de 65 anos de idade, fumante, dirigiu-se ao pronto-socorro, com queixa de dor torácica anterior. Recebeu o diagnóstico de carcinoma de pulmão de células não pequenas, de 4 cm, periférico, com sinais de invasão de um arco costal.
Com base nesse caso hipotético, assinale a alternativa correta.
Provas
Assinale a alternativa que apresenta uma situação clínica de infiltrado pulmonar intersticial, com indicação para biópsia pulmonar cirúrgica, em que se deve optar por biópsia pulmonar à céu aberto, em detrimento da biópsia realizada por videotoracoscopia.
Provas
Um paciente de 68 anos de idade apresenta um bócio mergulhante intratorácico, maior à direita, que ultrapassa a veia inominada, apoia-se na porção superior do arco aórtico e comprime a traqueia, desviando-a para a esquerda
Com base nessa situação hipotética, assinale a alternativa correta.
Provas
Uma paciente caquética, moradora de rua, de cinquenta anos de idade, realizou uma radiografia de tórax posteroanterior, que revelou um velamento de seio costofrênico direito.
Com base nesse caso hipotético, assinale a alternativa correta.
Provas
Após a ressecção completa de um adenocarcinoma pulmonar de 2,3 cm (pT1cN0M0) por lobectomia superior direita, a condução do seguimento terapêutico será
Provas
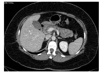
Um paciente de 51 anos de idade, sem comorbidades, iniciou, há três dias, quadro de fortes dores em hipocôndrio direito e epigástrio, com vômitos após refeição copiosa. Fez uso de analgésicos comuns, mas, como houve piora da dor, procurou o atendimento do seu médico particular. O médico solicitou exame de imagem e exame laboratorial para investigação. Nos exames laboratoriais, Hb 13 g/dL, leucócitos 14.000/mm3 , TGO e TGP dentro da normalidade, bilirrubina total 3,2 mg/dL, bilirrubina direta 2,8 mg/dL, amilase 650 U/L, ureia 28 mg/dl, creatinina 1,2 mg/dL, fosfatase alcalina 110 mg/dL, gama GT 320 mg/dL e PCR 5 mg/dL. Realizou uma ultrassonografia, que revelou colelitíase, e a tomografia cuja imagem é mostrada a seguir. Após avaliar os exames, o médico encaminhou o paciente ao pronto-socorro.

Com base nesse caso hipotético, assinale a alternativa correta.
Provas
A respeito da avaliação nutricional dos pacientes, assinale a alternativa correta.
Provas
Um paciente de 28 anos de idade, vítima de ferimento de arma de fogo, foi submetido à laparotomia exploradora e apresenta lesão extensa em lobo direito hepático, lesão em ceco e lesão em ângulo hepático do cólon. Está em uso de droga vasoativa, com pressão arterial de 60 x 40 mmHg. Apresenta sangramento contínuo, difuso e sem formação de coágulos em todos os ferimentos.
Com base nessa situação hipotética, é correto afirmar que a melhor opção para se aumentar a chance de sobrevida do paciente é
Provas
Um paciente de setenta anos de idade procurou atendimento médico por queixa de dor abdominal em andar superior há quatro dias, com distensão abdominal, vômitos e náuseas, sem febre e sem alteração do hábito intestinal. Tem histórico de infarto agudo do miocárdio há cinco anos, é tabagista (40 anos/maço) e tem diabetes tipo 2 controlado. No exame físico, pulso 120 bpm, PA de 130 x 95 mmHg, abdome doloroso à palpação, principalmente em hipocôndrio direito, Murphy positivo e descompressão brusca negativa. Nos exames de laboratório, leucócitos 18.600/mm3 , com desvio à esquerda, proteína C-reativa 10 mg/dl, Cr 1,5 mg/dL, bilirrubina total 1,8 mg/dL, bilirrubina direta 1 mg/dL, fosfatase alcalina 87, GGT 34 e amilase 35. Ultrassonografia mostrou vesícula biliar distendida, espessada de 1,2 cm, com múltiplos cálculos em seu interior, sem dilatação de vias biliares intra e extra-hepáticas.
Com base nesse caso hipotético, assinale a alternativa correta.
Provas
Caderno Container