Foram encontradas 80 questões.
No que se refere aos escores prognósticos e de gravidade utilizados em UTI, assinale a alternativa correta.
Provas
Quanto à comunicação eficiente no ambiente de terapia intensiva, assinale a alternativa correta.
Provas
Com relação à ulceração de mucosa gastrintestinal por estresse, assinale a alternativa correta.
Provas
Acerca dos pacientes com delirium na unidade de terapia intensiva (UTI), assinale a alternativa correta.
Provas
Um paciente de 35 anos de idade, sem queixas, realizou exames para que pudesse doar sangue e obteve os seguintes resultados: HIV negativo; sífilis negativo; HAV IgG positivo e IgM negativo; HBsAg positivo; anti-Hbc IgM negativo; anti-Hbc total negativo; anti-Hbe positivo; HbeAg negativo; anti-HBs negativo; e anti-HCV positivo.
Com base nesse caso hipotético, assinale a alternativa correta.
Provas
Acerca da profilaxia pós-exposição (PEP) ao HIV e da profilaxia pré-exposição (PrEP) ao HIV, julgue os itens a seguir.
I A PEP é a indicação ideal para os profissionais de saúde pós-acidente com material biológico e deve ser realizada com tenofovir, lamivudina e atazanavir com ritonavir como primeira escolha.
II A PrEP é a escolha do Ministério da Saúde, entre outras situações, para homens que fazem sexo com homens (HSH), visando a evitar a transmissão do HIV. Deve ser feita com tenofovir e entricitabina (um comprimido por dia). Os pacientes obrigatoriamente devem ser testados para o HIV e para outras infecções sexualmente transmissíveis antes do início dessa profilaxia.
III Para pacientes vítimas de estupro, a PEP é indicada, independentemente do conhecimento do estado sorológico do agressor. Para as pacientes que procurarem atendimento no quarto dia após a violência sexual, além de outras medidas, o esquema preconizado do PEP será com tenofovir, lamivudina e dolutegravir.
IV Na PEP, o risco de transmissão do HIV é maior se o paciente-fonte tiver resistência prévia ao HIV ou se estiver em supressão virológica do HIV e se o acidente ocorrer com agulha de grosso calibre (no caso de acidente com material biológico) ou em relação sexual anal receptiva (no caso de PEP pós-exposição sexual).
V A PrEP é indicada para pacientes com alto risco de aquisição do HIV, tais como HSH, profissionais do sexo, mulheres trans e parceiros sorodiferentes para o HIV. Foi pensado inicialmente para pacientes que não usam rotineiramente preservativos. O uso do preservativo ainda é a medida mais segura na prevenção do HIV. O paciente que usa PrEP tem boa proteção contra o HIV e outras infecções sexualmente transmissíveis.
Assinale a alternativa correta.
Provas
Um paciente de 29 anos de idade tem diagnóstico de HIV há vinte dias, comprovado, ainda sem tratamento antirretroviral. Procura atendimento médico por deficit motor em dimídio esquerdo há uma semana, com desvio de rima e perda de força, com predomínio crural. Ao exame físico, apresenta-se emagrecido, com monilíase oral e dermatite seborreica em região da face. Exames respiratório, cardíaco e abdominal sem alterações.
Com base nessa situação hipotética, assinale a alternativa incorreta.
Provas
A respeito do diagnóstico de covid-19, assinale a alternativa correta.
Provas
Um paciente de 48 anos de idade deu entrada no pronto-atendimento por febre de até 39,5 ⁰C e sangramento de mucosas há três dias, quando escovava os dentes. Tem ainda intensa mialgia, com mesmo tempo de início, cefaleia intensa e náuseas associadas. Trabalha como gari e faz limpeza de sarjetas para a prefeitura habitualmente. Há diversos casos de dengue no bairro, inclusive sua esposa está internada há cinco dias. Ao exame, encontra-se desidratado (2+/4+), febril (39 ⁰C), prostrado e ictérico (+/4). Realizou prova do laço, com resultado positivo. Dor importante à palpação de grandes grupos musculares, principalmente da panturrilha, sem sinais de artrite. Aparelho respiratório sem alterações, ritmo cardíaco regular, a 120 spm, e PA de 110 x 95 mmHg. Abdome com ruídos hidroaéreos presentes, indolor. Fígado com rebordo costal direito a 2 cm. Baço não palpável. Exames com Hb 12.8, Ht 35, leucócitos 16.000 (80% neutrófilos, 15% bastões, 3% mielócitos e 5% linfócitos), plaquetas 95.000, CPK 960 (normal até 200), ALT 101, AST 120, Na 135, K 2.8, ureia 60, Cr 2.5, PCR 12 (normal até 1), bilirrubinas totais 2.5 e bilirrubina direta 2.2.
Com base nesse caso hipotético, assinale a alternativa que apresenta a doença que mais provavelmente é a causadora do quadro clínico.
Provas
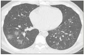
Um homem de 64 anos de idade, diabético, em uso regular de suas medicações, procurou um pronto-socorro na cidade de São Paulo no dia 24 de junho de 2020, referindo que, há seis dias, vinha com dor de garganta e diarreia, sendo que, há três dias, iniciou tosse seca. Ao ser questionado pelo médico, ainda relatou que teve perda de apetite dois dias antes do início dos sintomas. O paciente levou consigo hemograma e urina tipo 1 de uma passagem que tivera, há dois dias, em outro serviço médico, com resultados normais. Negou tabagismo, etilismo ou exposição a trabalhos que, ao longo da vida, pudessem ter desencadeado doenças profissionais. Ao exame físico, apresentava bom nível de consciência,saturação de O2 de 85% em ar ambiente e de 97% com cateter de O2 2L/min., FC de 95 bpm, 37,8 ⁰C de temperatura, PA de 145 x 90 mmHg, FR de 18 irpm, obesidade grau II e encontrava-se prostrado, desidratado, corado, anictérico e com movimentos respiratórios amplos. Aparelho cardiovascular com bulhas rítmicas, sem sopro, e tempo de enchimento capilar igual a 4 s. Aparelho respiratório com murmúrio vesicular difuso mais evidente em bases pulmonares, bilateralmente. Som pulmonar claro. Abdome com hiperdinamia à ausculta, ausência de massas à palpação superficial e profunda e dor difusa discreta. Exames atuais com Hb 16, Ht 54, leucócitos 12.000 (73% neutrófilos e 25% linfócitos), plaquetas 285.000, Na 158, K 2.5, Mg 1.9, ureia 80 e creatinina 2.5. Gasometria em ar ambiente com pH 7.3, PaO2 58 mmHg, PaCO2 40 mmHg, BE –4, lactato arterial 1.25, bicarbonato 17, CPK 350, ALT 70 e AST 60. Urina I com densidade 1.030, proteína +++, glicose +++, leucócitos 250.000 e eritrócitos 500.000. Realizou, também, a tomografia de tórax mostrada a seguir.

Com base nessa situação hipotética, assinale a alternativa correta quanto à conduta mais segura para o paciente.
Provas
Caderno Container