Magna Concursos

Foram encontradas 580 questões.

1963781 Ano: 2020
Disciplina: Fisioterapia
Banca: CESPE / CEBRASPE
Orgão: HUB
Provas:
A circulação pulmonar é um sistema de baixa pressão/resistência e é influenciada de modo mais acentuado pela gravidade do que pela circulação sistêmica.
enunciado 840962-1

Considerando a distribuição do fluxo sanguíneo e a ventilação pulmonar, conforme os conceitos da relação ventilação/perfusão (relação V/Q) presentes na figura apresentada, julgue o item subsequente.

Na zona 3 de West, as pressões arterial e venosa excedem a pressão alveolar e aumentam em direção à base; a resistência ao fluxo sanguíneo é mínima, e os capilares encontram-se distendidos.

 

Provas

Questão presente nas seguintes provas
1963780 Ano: 2020
Disciplina: Fisioterapia
Banca: CESPE / CEBRASPE
Orgão: HUB
Provas:
A circulação pulmonar é um sistema de baixa pressão/resistência e é influenciada de modo mais acentuado pela gravidade do que pela circulação sistêmica.
enunciado 840961-1

Considerando a distribuição do fluxo sanguíneo e a ventilação pulmonar, conforme os conceitos da relação ventilação/perfusão (relação V/Q) presentes na figura apresentada, julgue o item subsequente.

Na zona 2 de West, a pressão arterial excede a pressão alveolar e o fluxo sanguíneo aumenta em direção à base.

 

Provas

Questão presente nas seguintes provas
1963779 Ano: 2020
Disciplina: Fisioterapia
Banca: CESPE / CEBRASPE
Orgão: HUB
Provas:
A circulação pulmonar é um sistema de baixa pressão/resistência e é influenciada de modo mais acentuado pela gravidade do que pela circulação sistêmica.
enunciado 840960-1

Considerando a distribuição do fluxo sanguíneo e a ventilação pulmonar, conforme os conceitos da relação ventilação/perfusão (relação V/Q) presentes na figura apresentada, julgue o item subsequente.

A pressão intrapleural é menos negativa na parte superior do pulmão que na base.

 

Provas

Questão presente nas seguintes provas
1963778 Ano: 2020
Disciplina: Fisioterapia
Banca: CESPE / CEBRASPE
Orgão: HUB
Provas:
A circulação pulmonar é um sistema de baixa pressão/resistência e é influenciada de modo mais acentuado pela gravidade do que pela circulação sistêmica.
enunciado 840959-1
Considerando a distribuição do fluxo sanguíneo e a ventilação pulmonar, conforme os conceitos da relação ventilação/perfusão (relação V/Q) presentes na figura apresentada, julgue o item subsequente.
Na região superior do pulmão (zona 1 de West), a pressão alveolar excede a pressão arterial e o fluxo sanguíneo é muito reduzido.
 

Provas

Questão presente nas seguintes provas
1963777 Ano: 2020
Disciplina: Fisioterapia
Banca: CESPE / CEBRASPE
Orgão: HUB
Provas:
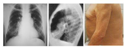
O enfisema é uma doença caracterizada pelo excesso de ar na região pulmonar, estado que é consequência de um complexo processo obstrutivo e destrutivo dos alvéolos e dos bronquíolos terminais (ácino pulmonar) que acarreta a perda da elasticidade pulmonar. Nos alvéolos, ocorre uma hiperdistensão com dilatação excessiva, o que gera uma ruptura dos septos alveolares. A distribuição e a abrangência da lesão variam em cada caso. A seguinte imagem radiológica é típica de paciente enfisematoso.
enunciado 840958-1

Com relação a esse assunto, julgue os item subsequente.

O aumento da enzima alfa-1 antitripsina devido a distúrbio genético causa enfisema.

 

Provas

Questão presente nas seguintes provas
1963776 Ano: 2020
Disciplina: Fisioterapia
Banca: CESPE / CEBRASPE
Orgão: HUB
Provas:
O enfisema é uma doença caracterizada pelo excesso de ar na região pulmonar, estado que é consequência de um complexo processo obstrutivo e destrutivo dos alvéolos e dos bronquíolos terminais (ácino pulmonar) que acarreta a perda da elasticidade pulmonar. Nos alvéolos, ocorre uma hiperdistensão com dilatação excessiva, o que gera uma ruptura dos septos alveolares. A distribuição e a abrangência da lesão variam em cada caso. A seguinte imagem radiológica é típica de paciente enfisematoso.
enunciado 840957-1

Com relação a esse assunto, julgue os item subsequente.

O enfisema é uma doença que altera a parede alveolar, porém não altera a ventilação pulmonar.

 

Provas

Questão presente nas seguintes provas
1963775 Ano: 2020
Disciplina: Fisioterapia
Banca: CESPE / CEBRASPE
Orgão: HUB
Provas:
O enfisema é uma doença caracterizada pelo excesso de ar na região pulmonar, estado que é consequência de um complexo processo obstrutivo e destrutivo dos alvéolos e dos bronquíolos terminais (ácino pulmonar) que acarreta a perda da elasticidade pulmonar. Nos alvéolos, ocorre uma hiperdistensão com dilatação excessiva, o que gera uma ruptura dos septos alveolares. A distribuição e a abrangência da lesão variam em cada caso. A seguinte imagem radiológica é típica de paciente enfisematoso.
enunciado 840956-1

Com relação a esse assunto, julgue os item subsequente.

O tecido elástico na parede interalveolar pode ser destruído pela elastase liberada pelos neutrófilos presentes no lúmen alveolar.

 

Provas

Questão presente nas seguintes provas
1963774 Ano: 2020
Disciplina: Fisioterapia
Banca: CESPE / CEBRASPE
Orgão: HUB
Provas:
O enfisema é uma doença caracterizada pelo excesso de ar na região pulmonar, estado que é consequência de um complexo processo obstrutivo e destrutivo dos alvéolos e dos bronquíolos terminais (ácino pulmonar) que acarreta a perda da elasticidade pulmonar. Nos alvéolos, ocorre uma hiperdistensão com dilatação excessiva, o que gera uma ruptura dos septos alveolares. A distribuição e a abrangência da lesão variam em cada caso. A seguinte imagem radiológica é típica de paciente enfisematoso.
enunciado 840955-1

Com relação a esse assunto, julgue os item subsequente.

O enfisema diminui a PCO2 no sangue.

 

Provas

Questão presente nas seguintes provas
1963773 Ano: 2020
Disciplina: Fisioterapia
Banca: CESPE / CEBRASPE
Orgão: HUB
Provas:
O enfisema é uma doença caracterizada pelo excesso de ar na região pulmonar, estado que é consequência de um complexo processo obstrutivo e destrutivo dos alvéolos e dos bronquíolos terminais (ácino pulmonar) que acarreta a perda da elasticidade pulmonar. Nos alvéolos, ocorre uma hiperdistensão com dilatação excessiva, o que gera uma ruptura dos septos alveolares. A distribuição e a abrangência da lesão variam em cada caso. A seguinte imagem radiológica é típica de paciente enfisematoso.
enunciado 840954-1

Com relação a esse assunto, julgue os item subsequente.

O enfisema é uma doença que aumenta a complacência pulmonar.

 

Provas

Questão presente nas seguintes provas
1963772 Ano: 2020
Disciplina: Fisioterapia
Banca: CESPE / CEBRASPE
Orgão: HUB
Provas:
O equilíbrio ácido-base busca manter a concentração normal de íons de hidrogênio (H+) nos fluidos corporais. Esse equilíbrio é alcançado pela utilização de tampões presentes nos líquidos extracelular e intracelular, por via respiratória, mediante mecanismos que excretam dióxido de carbono, e por via renal, por intermédio de mecanismos que reabsorvem bicarbonato e secretam íons H+ . A respeito do equilíbrio ácido-base do organismo humano, julgue o item subsequente.

Aumento da resistência à passagem de ar, como o que ocorre na asma, deficiência na troca gasosa, como a que ocorre na fibrose cística, pneumonia severa e distrofia muscular podem causar alcalose respiratória.
 

Provas

Questão presente nas seguintes provas