Foram encontradas 70 questões.
Qual dos modos ventilatórios abaixo NÃO deve ser utilizado em um paciente sedado
profundamente e bloqueado (bloqueio neuromuscular)?
Provas
Questão presente nas seguintes provas
Você recebe na UTI um paciente oriundo da sala cirúrgica em pós-operatório de
hepatectomia parcial. O anestesista refere que não ocorreram intercorrências no transoperatório e
agora o paciente apresenta pressão arterial média de 65 mmHg e enchimento capilar de 3 segundos.
Ele ainda está recebendo suporte ventilatório invasivo e está monitorizado com um cateter
hemodinâmico minimamente invasivo que apresenta as seguintes medidas:

Referências: CI = índice cardíaco. SVV = variação do volume sistólico. SVRI = índice da resistência vascular sistêmica. ScvO2 = saturação venosa central de oxigênio.
Com base nessas informações, qual a conduta mais adequada a ser tomada em relação ao paciente?

Referências: CI = índice cardíaco. SVV = variação do volume sistólico. SVRI = índice da resistência vascular sistêmica. ScvO2 = saturação venosa central de oxigênio.
Com base nessas informações, qual a conduta mais adequada a ser tomada em relação ao paciente?
Provas
Questão presente nas seguintes provas
Relacione a Coluna 1 à Coluna 2, associando o tipo de assincronia ventilatória com
as formas de corrigi-las pelo ajuste do ventilador mecânico.
Coluna 1 1. Fluxo insuficiente. 2. Ciclagem prematura. 3. Disparo ineficaz. 4. Duplo disparo.
Coluna 2 ( ) Ajustar/corrigir problemas da sensibilidade (sensibilidade a fluxo é mais sensível que a pressão). Reduzir tempo inspiratório por ajustes em cada modo (VCV, PCV e PSV). ( ) Em VCV, aumentar o fluxo inspiratório ou mudar para modos PCV ou PSV (fluxo livre). ( ) Em PCV, aumentar o tempo inspiratório. Em VCV, diminuir o fluxo inspiratório e/ou aumentar o volume corrente. ( ) Aumentar o tempo inspiratório (VCV ou PCV). Reduzir o limiar de percentual de fluxo para ciclagem (PSV).
A ordem correta de preenchimento dos parênteses, de cima para baixo, é:
Coluna 1 1. Fluxo insuficiente. 2. Ciclagem prematura. 3. Disparo ineficaz. 4. Duplo disparo.
Coluna 2 ( ) Ajustar/corrigir problemas da sensibilidade (sensibilidade a fluxo é mais sensível que a pressão). Reduzir tempo inspiratório por ajustes em cada modo (VCV, PCV e PSV). ( ) Em VCV, aumentar o fluxo inspiratório ou mudar para modos PCV ou PSV (fluxo livre). ( ) Em PCV, aumentar o tempo inspiratório. Em VCV, diminuir o fluxo inspiratório e/ou aumentar o volume corrente. ( ) Aumentar o tempo inspiratório (VCV ou PCV). Reduzir o limiar de percentual de fluxo para ciclagem (PSV).
A ordem correta de preenchimento dos parênteses, de cima para baixo, é:
Provas
Questão presente nas seguintes provas
Homem de 25 anos, em tratamento quimioterápico para leucemia T aguda, interna
na UTI por SDRA, necessitando de suporte ventilatório invasivo. A contagem de neutrófilos totais é de
1.045/mL. Foi realizada uma TC de tórax, demonstrada abaixo:

Qual o diagnóstico provável e a causa da imunossupressão do paciente?

Qual o diagnóstico provável e a causa da imunossupressão do paciente?
Provas
Questão presente nas seguintes provas
Em relação à escolha da melhor PEEP para um paciente com Síndrome do Desconforto
Respiratório Agudo (SDRA) que está em ventilação mecânica invasiva, assinale a alternativa correta.
Provas
Questão presente nas seguintes provas
Em relação ao manejo das assincronias, analise as assertivas abaixo e assinale V, se
verdadeiras, ou F, se falsas.
( ) A assincronia paciente-ventilador refere-se ao descompasso entre as demandas do sistema respiratório do paciente (tempo, fluxo, pressão, volume) e a operação do ventilador mecânico. ( ) A incidência das assincronias varia de 70% a 80%. ( ) O índice de assincronias é a razão percentual entre o número de eventos assincrônicos e todos os ciclos respiratórios (incluindo esforços ineficazes, que não disparam o ventilador). ( ) O autodisparo compromete totalmente a ventilação protetora por causar redução de ciclos ventilatórios, resultando em volume corrente excessivo e hiperdistensão pulmonar global e regional desigual (efeito pendelluft).
A ordem correta de preenchimento dos parênteses, de cima para baixo, é:
( ) A assincronia paciente-ventilador refere-se ao descompasso entre as demandas do sistema respiratório do paciente (tempo, fluxo, pressão, volume) e a operação do ventilador mecânico. ( ) A incidência das assincronias varia de 70% a 80%. ( ) O índice de assincronias é a razão percentual entre o número de eventos assincrônicos e todos os ciclos respiratórios (incluindo esforços ineficazes, que não disparam o ventilador). ( ) O autodisparo compromete totalmente a ventilação protetora por causar redução de ciclos ventilatórios, resultando em volume corrente excessivo e hiperdistensão pulmonar global e regional desigual (efeito pendelluft).
A ordem correta de preenchimento dos parênteses, de cima para baixo, é:
Provas
Questão presente nas seguintes provas
Analise as seguintes assertivas sobre a Cetoacidose Diabética (CAD) e assinale V, se
verdadeiras, ou F, se falsas.
( ) São fatores precipitantes da CAD: ocorrência de infecções, infarto agudo do miocárdio, traumatismos e tratamento insulínico inadequado. ( ) A CAD é uma síndrome clínica que inclui hiperglicemia, cetose, depleção de volume e deficiência de eletrólitos, redução do ânion gap e acidose metabólica. ( ) Para compensar a acidose metabólica, pode ser constatada a respiração de Kussmaul no paciente, havendo uma hiperventilação como tentativa de gerar alcalose respiratória para compensar a acidose metabólica.
A ordem correta de preenchimento dos parênteses, de cima para baixo, é:
( ) São fatores precipitantes da CAD: ocorrência de infecções, infarto agudo do miocárdio, traumatismos e tratamento insulínico inadequado. ( ) A CAD é uma síndrome clínica que inclui hiperglicemia, cetose, depleção de volume e deficiência de eletrólitos, redução do ânion gap e acidose metabólica. ( ) Para compensar a acidose metabólica, pode ser constatada a respiração de Kussmaul no paciente, havendo uma hiperventilação como tentativa de gerar alcalose respiratória para compensar a acidose metabólica.
A ordem correta de preenchimento dos parênteses, de cima para baixo, é:
Provas
Questão presente nas seguintes provas
A respeito das doenças hepáticas, assinale a alternativa INCORRETA.
Provas
Questão presente nas seguintes provas
Relacione a Coluna 1 à Coluna 2, associando as doenças ou condições com os
respectivos quadros clínicos e seus aspectos epidemiológicos.
Coluna 1 1. Descolamento da retina. 2. Oclusão da artéria central da retina. 3. Neurite óptica.
Coluna 2 ( ) Perda súbita da visão unilateral, normalmente sem sinal de percepção de luz, associada a fatores de risco para doença aterosclerótica. ( ) Perda de visão unilateral progressiva, variável, ao longo de dias, desconforto retro-ocular com movimento dos olhos, associada com esclerose múltipla. ( ) Aparecimento súbito de flashes de luz, moscas volantes ou escotomas, seguido de turvamento visual unilateral, com piora progressiva, associada com degeneração do vítreo ou retinopatia diabética.
A ordem correta de preenchimento dos parênteses, de cima para baixo, é:
Coluna 1 1. Descolamento da retina. 2. Oclusão da artéria central da retina. 3. Neurite óptica.
Coluna 2 ( ) Perda súbita da visão unilateral, normalmente sem sinal de percepção de luz, associada a fatores de risco para doença aterosclerótica. ( ) Perda de visão unilateral progressiva, variável, ao longo de dias, desconforto retro-ocular com movimento dos olhos, associada com esclerose múltipla. ( ) Aparecimento súbito de flashes de luz, moscas volantes ou escotomas, seguido de turvamento visual unilateral, com piora progressiva, associada com degeneração do vítreo ou retinopatia diabética.
A ordem correta de preenchimento dos parênteses, de cima para baixo, é:
Provas
Questão presente nas seguintes provas
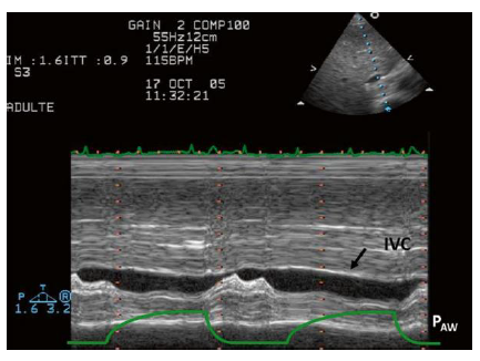
Você recebe na UTI um paciente, em ventilação mecânica invasiva, oriundo da sala
de emergência com diagnóstico de sepse respiratória. Ele apresenta pressão arterial média de 65
mmHg (recebendo noradrenalina em dose 0,3 mg/Kg/min) e apresenta enchimento capilar de 6
segundos. Realizada ultrassonografia torácica, abaixo representada:

Com base nessas informações, qual a conduta mais adequada a ser tomada em relação ao paciente?

Com base nessas informações, qual a conduta mais adequada a ser tomada em relação ao paciente?
Provas
Questão presente nas seguintes provas
Cadernos
Caderno Container