Magna Concursos

Foram encontradas 50 questões.

3988607 Ano: 2025
Disciplina: Medicina
Banca: QUADRIX
Orgão: FMJ
Caso clínico hipotético para a questão.
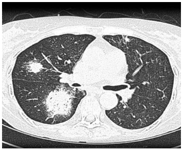
Um paciente masculino de 56 anos de idade, com leucemia mieloide aguda em quimioterapia, tem apresentado febre persistente há 5 dias, juntamente com tosse seca e dispneia. Esses são sintomas refratários ao uso de meropenem e vancomicina prescritos pela equipe de hematologia do serviço médico. O paciente apresentou-se eupneico em ar ambiente, normotenso, normocárdico, bem-perfundido e sem alteração neurológica. Foi realizada uma TC de tórax, que está disposta a seguir.
Enunciado 4939215-1  
Ainda com base nesse caso clínico hipotético, assinale a opção que apresenta o tratamento farmacológico adequado ao caso clínico hipotético apresentado.
 

Provas

Questão presente nas seguintes provas
3988606 Ano: 2025
Disciplina: Medicina
Banca: QUADRIX
Orgão: FMJ
Caso clínico hipotético para a questão.
Um paciente masculino de 56 anos de idade, com leucemia mieloide aguda em quimioterapia, tem apresentado febre persistente há 5 dias, juntamente com tosse seca e dispneia. Esses são sintomas refratários ao uso de meropenem e vancomicina prescritos pela equipe de hematologia do serviço médico. O paciente apresentou-se eupneico em ar ambiente, normotenso, normocárdico, bem-perfundido e sem alteração neurológica. Foi realizada uma TC de tórax, que está disposta a seguir.
Enunciado 4939214-1  
Com base nesse caso clínico hipotético, assinale a opção que contempla a conduta mais adequada.
 

Provas

Questão presente nas seguintes provas
3988605 Ano: 2025
Disciplina: Medicina
Banca: QUADRIX
Orgão: FMJ
Paciente masculino, 65 anos de idade, com dispneia aguda e hipotensão, é avaliado no pronto-socorro. O exame físico sugere estado de hipoperfusão tecidual, mas a etiologia permanece incerta. O POCUS revela veia cava inferior colabada, ausência de líquido livre abdominal, pulmões sem linhas B ou consolidações, e coração com contratilidade global preservada, sem derrame pericárdico.

Com base nesse caso clínico hipotético, assinale a opção que contempla a hipótese diagnóstica mais provável.
 

Provas

Questão presente nas seguintes provas
3988604 Ano: 2025
Disciplina: Medicina
Banca: QUADRIX
Orgão: FMJ
Mulher, 45 anos de idade, com quadro de leve cefaleia frontal associado à rinorreia hialina, temperaturas aferidas de 37,8 graus celsius, sem alergia medicamentosa, apresenta piora dos sintomas após 5 dias de melhora inicial.

Com base nesse caso clínico hipotético, assinale a opção que contempla o critério clínico mais associado à infecção de etiologia bacteriana.
 

Provas

Questão presente nas seguintes provas
3988603 Ano: 2025
Disciplina: Medicina
Banca: QUADRIX
Orgão: FMJ
Paciente de 60 anos de idade, com perda de peso, astenia, dor abdominal crônica e hiponatremia persistente. Exames: cortisol matinal 3,2 µg/dL (VR > 5), ACTH elevado, aldosterona baixa, renina aumentada.

Com base nesse caso clínico hipotético, assinale a opção que contempla a etiologia mais provável.
 

Provas

Questão presente nas seguintes provas
3988602 Ano: 2025
Disciplina: Medicina
Banca: QUADRIX
Orgão: FMJ
Mulher de 60 anos de idade, com has e dm em tratamento há 10 anos, doença renal crônica e hiperuricemia recém-diagnosticada. Em uso de enalapril, dapaglifozina, insulina e alopurinol. Inicia quadro de a febre, exantema, edema facial, linfadenopatia e elevação de transaminases com eosinofilia.

Com base nesse caso clínico hipotético, assinale a opção que contempla a conduta inicial prioritária.
 

Provas

Questão presente nas seguintes provas
3988601 Ano: 2025
Disciplina: Medicina
Banca: QUADRIX
Orgão: FMJ
Equipe inicia ressuscitação em um paciente com taquicardia ventricular sem pulso. Após 2 minutos de compressões e desfibrilação, o ritmo persiste. Realizada nova desfibrilação e administração de adrenalina. Paciente persiste em TV após mais 2 minutos.


Com base nesse caso clínico hipotético, assinale a opção que contempla a intervenção farmacológica mais recomendada nesse momento.
 

Provas

Questão presente nas seguintes provas
3988600 Ano: 2025
Disciplina: Medicina
Banca: QUADRIX
Orgão: FMJ
Um homem de 62 anos de idade, previamente hígido, é admitido após 15 minutos de crises tônico-clônicas generalizadas sem recuperação da consciência entre os episódios. Glicemia capilar normal. Após administração de diazepam IV, as crises persistem.

Com base nesse caso clínico hipotético, assinale a opção que contempla o próximo passo mais apropriado.
 

Provas

Questão presente nas seguintes provas
3988599 Ano: 2025
Disciplina: Medicina
Banca: QUADRIX
Orgão: FMJ
Um paciente de 68 anos de idade estava com insuficiência cardíaca descompensada perfil B e pneumonia associada, em uso de nitrato, hidralazina, carvedilol e furosemida ev. Após 48 horas, apresentou fraqueza muscular, parestesias e o ECG a seguir.

Enunciado 4939207-1

Com base nesse caso clínico hipotético, assinale a opção que apresenta o distúrbio hidroeletrolítico associado a esse quadro.
 

Provas

Questão presente nas seguintes provas
3988598 Ano: 2025
Disciplina: Medicina
Banca: QUADRIX
Orgão: FMJ
Um paciente de 52 anos de idade, que apresentava obesidade, relatou pirose diária há 6 meses, regurgitação ácida noturna e tosse crônica. Ele negou perda de peso ou disfagia.

Com base nesse caso clínico hipotético, assinale a opção que apresenta a conduta adequada a se providenciar.
 

Provas

Questão presente nas seguintes provas