Foram encontradas 335 questões.
Homem de 54 anos com cirrose alcoólica (Child-Pugh B8,
MELD 15) chega ao pronto-socorro com hematêmese
volumosa há 6 horas. Apresenta frequência cardíaca de
110 bpm, pressão arterial de 95 × 60 mmHg, Sat O2
de
94% em ar ambiente. Recebeu reposição volêmica inicial,
antibioticoterapia profilática e foi iniciado terlipressina. A
endoscopia digestiva alta mostra varizes esofágicas de
grosso calibre com coágulo aderido instável, que sangra
após manipulação com o endoscópio, sendo realizada ligadura elástica.
Dessa forma, qual a conduta mais adequada segundo as diretrizes atuais?
Dessa forma, qual a conduta mais adequada segundo as diretrizes atuais?
Provas
Questão presente nas seguintes provas
Homem de 25 anos, ocupante da motocicleta que colidiu
contra um carro que atravessava na transversal, há 30
minutos, velocidade de 40 km/h, sem capacete. Lateral
do veículo com deformidades significativas na porta e
no vidro. Sinais vitais no local: Sat O2
: 95%, FR: 16 ipm,
FC: 100 bpm, PA: 110 x 70 mmHg, GCS: (AO: 3 RV: 4 RM: 6).
O médico recebe o paciente em um hospital com total
capacidade diagnóstica e cirúrgica, e os dados da admissão são os seguintes:
A: via aérea pérvia, Sat O2 : 94%, com colar cervical;
B: MV+ bilateral, escoriações em tórax anterior bilateral, FR: 16 ipm;
C: FC: 110 bpm, PA: 110 x 70 mmHg, FAST negativo, pelve estável, sem sangramentos externos;
D: pupilas anisocóricas, midríase à direita, GCS: (AO: 2 RV: 2 RM: 3); E: laceração em crânio à direita, sem lesões em dorso.
Qual achado do exame físico seria esperado nessa condição e quais condutas devem ser instituídas nesse momento?
A: via aérea pérvia, Sat O2 : 94%, com colar cervical;
B: MV+ bilateral, escoriações em tórax anterior bilateral, FR: 16 ipm;
C: FC: 110 bpm, PA: 110 x 70 mmHg, FAST negativo, pelve estável, sem sangramentos externos;
D: pupilas anisocóricas, midríase à direita, GCS: (AO: 2 RV: 2 RM: 3); E: laceração em crânio à direita, sem lesões em dorso.
Qual achado do exame físico seria esperado nessa condição e quais condutas devem ser instituídas nesse momento?
Provas
Questão presente nas seguintes provas
Homem de 30 anos, condutor do automóvel que sofreu
colisão lateral no lado do motorista por veículo que transitava a 80 km/h. Extricação em 30 minutos, FC: 90 bpm,
PA: 110 x 70 mmHg, FR: 18 ipm e Sat O2
94%. Chega
ao serviço médico com colar cervical, prancha rígida
e máscara de O2
a 15 L/min. Sua unidade não possui
tomografia e equipe cirúrgica. Os dados da admissão são
os seguintes:
• Conversa com equipe, respiração sem ruídos;
• Murmúrios vesiculares e expansibilidade reduzidos a esquerda, Sat. O2 : 92%;
• Sem sangramentos externos, dor abdominal difusa, pelve estável, PA: 100 x 70 mmHg, FC: 100 bpm, FR: 18 ipm, TEC: 4s;
• AO: 4, RV: 5, RM: 6, pupilas isocóricas e fotorreagentes;
• Escoriações toracoabdominais à esquerda, sem lesões em dorso.
Qual exame adjunto confirmaria os prováveis diagnósticos e quais as condutas necessárias, respectivamente?
• Conversa com equipe, respiração sem ruídos;
• Murmúrios vesiculares e expansibilidade reduzidos a esquerda, Sat. O2 : 92%;
• Sem sangramentos externos, dor abdominal difusa, pelve estável, PA: 100 x 70 mmHg, FC: 100 bpm, FR: 18 ipm, TEC: 4s;
• AO: 4, RV: 5, RM: 6, pupilas isocóricas e fotorreagentes;
• Escoriações toracoabdominais à esquerda, sem lesões em dorso.
Qual exame adjunto confirmaria os prováveis diagnósticos e quais as condutas necessárias, respectivamente?
Provas
Questão presente nas seguintes provas
Homem de 22 anos, vítima de colisão de motocicleta versus automóvel, ocupante da motocicleta, sem capacete,
a 50 km/h. Colidiu com a face contra o para-brisa traseiro do veículo. Levado ao pronto-socorro em prancha
rígida, com colar cervical e máscara não reinalante com
oxigênio 100% a 15 L/min. Há múltiplas fraturas de face,
fratura de mandíbula e sangramento em grande quantidade em cavidade oral. Realizada aspiração de via aérea
e tentativa de laringoscopia, sem sucesso devido a sangramento contínuo em orofaringe.
Qual a complicação tardia mais frequente do procedimento necessário para assegurar a via aérea do paciente?
Qual a complicação tardia mais frequente do procedimento necessário para assegurar a via aérea do paciente?
Provas
Questão presente nas seguintes provas
Homem de 46 anos, trabalhador da construção civil,
sofreu queda ao escorregar, caindo sentado sobre um
vergalhão. Não houve perfuração da parede abdominal.
A imagem a seguir mostra o exame físico da região
genital:
(Arquivo pessoal; imagem usada com autorização)
Durante a exploração cirúrgica para retirada do vergalhão, quais estruturas devem ser avaliadas?
(Arquivo pessoal; imagem usada com autorização)
Durante a exploração cirúrgica para retirada do vergalhão, quais estruturas devem ser avaliadas?
Provas
Questão presente nas seguintes provas
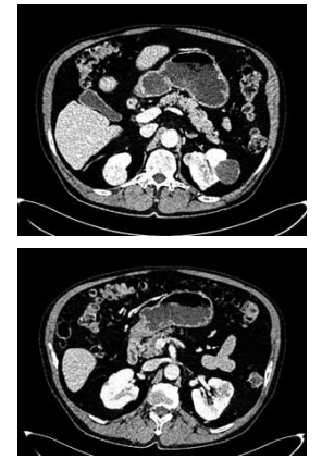
Homem de 65 anos refere hematúria macroscópica há
1 mês. Nega comorbidades ou cirurgias prévias e tem
antecedente de cálculos urinários. É tabagista há 40
anos, de um maço por dia. Foi solicitada a tomografia de
abdome e pelve, demonstrada a seguir:
(Arquivo pessoal; imagem usada com autorização)
Com essas informações, qual o diagnóstico, uma possível complicação pós-operatória e a medida necessária para reduzir o risco dessa complicação, respectivamente?
(Arquivo pessoal; imagem usada com autorização)
Com essas informações, qual o diagnóstico, uma possível complicação pós-operatória e a medida necessária para reduzir o risco dessa complicação, respectivamente?
Provas
Questão presente nas seguintes provas
Homem de 67 anos, com queixa de piora progressiva do
jato miccional associada a aumento do esforço miccional e hesitação, além de urgência miccional esporádica
sem perdas urinárias. Paciente com hipertensão arterial
sistêmica, com controle adequado e em programação
cirúrgica para correção de catarata bilateral. O PSA é de
1,8 ng/dL, e a ultrassonografia demonstra próstata com
45 g, bexiga normal e resíduo pós-miccional de 60 mL.
Dentre os medicamentos utilizados para tratar esse paciente, qual deve ser evitado nesse momento?
Dentre os medicamentos utilizados para tratar esse paciente, qual deve ser evitado nesse momento?
Provas
Questão presente nas seguintes provas
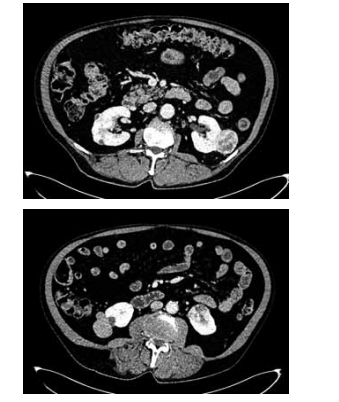
Observe a imagem da tomografia a seguir:


(Arquivo pessoal; imagem usada com autorização)
Qual diagnóstico deve ser considerado com base nos achados da tomografia e qual diagnóstico concomitante está associado à sua hipótese?
Provas
Questão presente nas seguintes provas
Mulher de 62 anos, submetida a histerectomia total
videolaparoscópica, sem intercorrências, há 7 dias. Chega ao pronto-socorro referindo dor abdominal difusa há
3 dias, incialmente leve, mas com piora progressiva, e
que melhora com dipirona. Sem queixas miccionais.
Ao exame físico, as feridas operatórias estão com bom
aspecto, abdome distendido, mas compressível e dor
difusa à palpação. Exames relevantes: Hb: 12,5 g/dL, Cr:
1,3 mg/dL, Ur: 25 mg/dL, PCR: 5,3 mg/dL. A ultrassonografia demonstra líquido livre abdominal em moderada
quantidade.
Qual estrutura está comprometida e qual a sua provável causa, respectivamente?
Qual estrutura está comprometida e qual a sua provável causa, respectivamente?
Provas
Questão presente nas seguintes provas
Mulher de 42 anos, submetida e ureterorrenolitotripsia
flexível com colocação de duplo J à direita por cálculo
calicinal superior de 10 mm. No primeiro dia pós-operatório, refere hematúria, disúria e urgência miccional sem
perdas urinárias.
Esses sintomas estão relacionados a qual condição e qual o tratamento indicado, respectivamente?
Esses sintomas estão relacionados a qual condição e qual o tratamento indicado, respectivamente?
Provas
Questão presente nas seguintes provas
Cadernos
Caderno Container