Magna Concursos

Foram encontradas 45 questões.

1921746 Ano: 2016
Disciplina: Medicina
Banca: NUCEPE
Orgão: FHT-PI
Provas:

Recém-nascido, com idade gestacional por Capurro de 36 semanas, com peso no percentil 3, comprimento e perímetro cefálico no percentil 50 da curva de crescimento de referência, é classificado como:

 

Provas

Questão presente nas seguintes provas
1921742 Ano: 2016
Disciplina: Medicina
Banca: NUCEPE
Orgão: FHT-PI
Provas:

O projeto “Mãe Canguru” foi idealizado e implantado de forma pioneira por Edgar Rey Sanabria e Hector Martinez, em 1979, na Colômbia, e denominado dessa maneira devido à maneira pela qual as mães carregavam seus bebês após o nascimento, de forma semelhante aos marsupiais. Era destinado a dar alta precoce para recém-nascidos de baixo peso, frente a uma situação crítica de falta de incubadoras, infecções cruzadas, desmame precoce, altas taxas de mortalidade neonatal e abandono materno.

Texto adaptado de: (http://prematuridade.com/a-uti-neonatal/mae-canguru#sthash.WMUZdELw.dpuf)

Sobre esse assunto, analise as afirmativas a seguir:

1) O Projeto tem como proposta uma alternativa de baixo custo ao cuidado neonatal convencional para bebês de baixo peso ao nascer.

2) Algumas das principais vantagens do método são estimular o aleitamento materno, diminuir a incidência de infecção hospitalar e melhor controle térmico.

3) Os critérios de elegibilidade da criança para ser admitido levam em conta um peso mínimo, estabilidade clínica e tolerância à dieta enteral.

4) Os admitidos no programa necessitam de acompanhamento direto da enfermagem na alimentação e na monitorização de sinais vitais.

Estão CORRETAS:

 

Provas

Questão presente nas seguintes provas
1921737 Ano: 2016
Disciplina: Medicina
Banca: NUCEPE
Orgão: FHT-PI
Provas:

Retinopatia da prematuridade (ROP) é uma doença que pode levar à perda da visão em recém-nascidos e é hoje uma importante causa de cegueira infantil na América Latina. Sobre este assunto, assinale a alternativa INCORRETA.

 

Provas

Questão presente nas seguintes provas
1921735 Ano: 2016
Disciplina: Medicina
Banca: NUCEPE
Orgão: FHT-PI
Provas:

Segundo a Sociedade Brasileira de Pediatria, o teste do olhinho é um exame simples, rápido e indolor. Consiste na identificação de um reflexo vermelho, que aparece quando um feixe de luz ilumina o olho do bebê (observe a figura abaixo). Com este procedimento, podemos identificar duas patologias com maior incidência na faixa etária neonatal:

enunciado 1921735-1

Imagem disponível em: http://www.hospitaldeolhosdorn.com.br/imgs/noticias/2011/dez/teste_olhinho.jpg

 

Provas

Questão presente nas seguintes provas
1921730 Ano: 2016
Disciplina: Medicina
Banca: NUCEPE
Orgão: FHT-PI
Provas:

A Síndrome do Desconforto Respiratório (SDR) do recém-nascido ainda constitui a causa mais frequente de insuficiência respiratória no prematuro de muito baixo peso. Sobre a SDR, assinale a alternativa INCORRETA.

 

Provas

Questão presente nas seguintes provas
1921727 Ano: 2016
Disciplina: Medicina
Banca: NUCEPE
Orgão: FHT-PI
Provas:

Paciente apresenta, ao exame físico completo no alojamento conjunto, no membro superior direito, perda da capacidade de abdução, rotação externa do braço e supinação do antebraço. O reflexo de Moro encontra-se ausente do mesmo lado. Pré-natal sem intercorrências. Parto descrito como laborioso. Com base nesses dados, o pediatra percebe que se trata de paralisia de:

 

Provas

Questão presente nas seguintes provas
1921725 Ano: 2016
Disciplina: Medicina
Banca: NUCEPE
Orgão: FHT-PI
Provas:

São contraindicações absolutas ao aleitamento materno, EXCETO,

 

Provas

Questão presente nas seguintes provas
1921720 Ano: 2016
Disciplina: Medicina
Banca: NUCEPE
Orgão: FHT-PI
Provas:

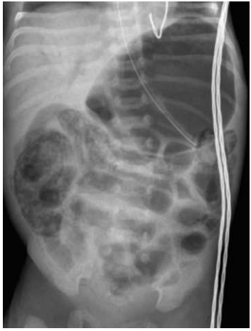
A enterocolite necrosante (NEC), mostrada na figura abaixo, é uma doença de origem desconhecida que afeta principalmente recém-nascidos prematuros (80% dos casos). As manifestações cobrem amplo espectro, de distensão abdominal leve com hematoquezia a choque séptico fulminante com necrose transmural de todo o trato gastrointestinal. Com relação a essa patologia, analise as afirmativas a seguir.

enunciado 1921720-1

http://www.adhb.govt.nz/newborn/TeachingResources/Radiology/AXR/NEC/NECwithPortalGasAP1.jpg

1) Ocorre tipicamente em recém-nascidos com uma idade gestacional corrigida de 30-32 semanas, um momento em que a maioria dos prematuros está em progressão de dieta enteral.

2) O leite materno pode reduzir o risco de NEC. Uma das ações seria favorecer o crescimento de Lactobacillus bifidus, promovendo o desenvolvimento de um microbioma intestinal saudável.

3) O estagiamento da NEC é realizado com base em sinais sistêmicos e radiológicos.

4) O tratamento deve ser conservador, apenas com vigilância rigorosa e antibioticoterapia nos casos de pneumoperitônio, devido à instabilidade clínica e a gravidade do paciente.

5) A ausência de NEC intrauterina sugere uma necessidade absoluta de colonização intestinal em sua patogênese.

Estão CORRETAS:

 

Provas

Questão presente nas seguintes provas
1921713 Ano: 2016
Disciplina: Medicina
Banca: NUCEPE
Orgão: FHT-PI
Provas:

Mãe de primeiro filho comparece à consulta de egresso no quinto dia pós-parto com dificuldade na amamentação devida a feridas no mamilo. O pediatra, visando estimular o aleitamento materno exclusivo, explica que a principal causa de fissura mamária é:

 

Provas

Questão presente nas seguintes provas
1921710 Ano: 2016
Disciplina: Medicina
Banca: NUCEPE
Orgão: FHT-PI
Provas:

Prematuro, nascido com 28 semanas de idade gestacional, em tratamento de síndrome do desconforto respiratório, apresenta piora do quadro no quinto dia de vida. Neste momento, mostra-se taquipneico, taquicárdico, com precórdio hiperdinâmico e íctus visível. A ausculta cardíaca revela sopro contínuo audível em bordo esternal esquerdo. A piora do quadro deve-se a:

 

Provas

Questão presente nas seguintes provas