Foram encontradas 40 questões.
Texto para a questão.
Um paciente de 32 anos de idade deu entrada no pronto-socorro com quadro de tosse e dor torácica de padrão pleural há cerca de um mês. Seu acompanhante refere que, há cinco dias, ele evoluiu com febre associada à cefaleia e, hoje, iniciou sonolência, afasia e hemiplegia à direita. O plantonista solicitou exames laboratoriais gerais, bem como tomografia computadorizada de crânio sem e com contraste. Após o resultado do exame de imagem mostrado a seguir, solicitou avaliação da neurocirurgia.

Mário G. Siqueira. Tratado de neurocirurgia. 1.ª ed. 2016.
Provas
Questão presente nas seguintes provas
Texto para a questão.
Um paciente de 28 anos de idade, previamente hígido, queixa-se de cefaleia de intensidade progressiva há duas semanas, associada a vômitos e à turvação visual. Ao exame físico, observa-se sonolência e desorientação, bem como papiledema à fundoscopia, paresia do olhar conjugado para cima e nistagmo em convergência. Traz consigo a ressonância magnética de crânio mostrada a seguir, que foi realizada após pedido de médico no posto de saúde.

Provas
Questão presente nas seguintes provas
Os tumores primários da coluna vertebral são lesões raras, representando até 13% dos tumores ósseos. Apesar disso, seu diagnóstico precoce é de suma importância, pois há impacto direto na chance de cura do doente. No que se refere a esses tumores, assinale a alternativa correta.
Provas
Questão presente nas seguintes provas
A ressonância magnética é um dos exames de imagem mais importantes para a identificação de lesões, bem como para o planejamento da abordagem cirúrgica. Acerca desse exame e de seus achados, assinale a alternativa incorreta.
Provas
Questão presente nas seguintes provas
O sistema ventricular representa um sítio cirúrgico bastante complexo, tendo em vista a sua localização profunda no encéfalo, entre outras características. Diante disso, a compreensão de sua anatomia é extremamente necessária para uma abordagem adequada. Considerando essas informações, assinale a alternativa correta acerca da anatomia do sistema ventricular.
Provas
Questão presente nas seguintes provas
A terceiroventriculostomia endoscópica tem se tornado uma importante opção terapêutica para determinados casos de hidrocefalia supratentoriais, tendo em vista sua eficácia e baixa morbidade para os pacientes candidatos. Ao realizar tal procedimento, a membrana de Liliequist é perfurada, comunicando duas cisternas subaracnoides. São elas a cisterna
Provas
Questão presente nas seguintes provas

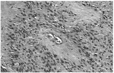
Com base na imagem acima, o diagnóstico mais provável é o de
Provas
Questão presente nas seguintes provas
A síndrome do túnel do carpo é a neuropatia compressiva mais frequente nos membros superiores. Ela é caracterizada pela compressão do nervo mediano em seu trajeto pelo túnel do carpo na região do punho. Com relação à anatomia dessas estruturas, assinale a alternativa correta.
Provas
Questão presente nas seguintes provas
Um paciente com queixa de dor ocular e proptose progressivas em olho direito há três meses, associadas à diplopia, realizou ressonância magnética de órbitas, que evidenciou lesão expansiva localizada no espaço intraorbitário.
Com base nessa situação hipotética, assinale a alternativa correta.
Com base nessa situação hipotética, assinale a alternativa correta.
Provas
Questão presente nas seguintes provas
Texto para a questão.
Um paciente de 32 anos de idade deu entrada no pronto-socorro com quadro de tosse e dor torácica de padrão pleural há cerca de um mês. Seu acompanhante refere que, há cinco dias, ele evoluiu com febre associada à cefaleia e, hoje, iniciou sonolência, afasia e hemiplegia à direita. O plantonista solicitou exames laboratoriais gerais, bem como tomografia computadorizada de crânio sem e com contraste. Após o resultado do exame de imagem mostrado a seguir, solicitou avaliação da neurocirurgia.

Mário G. Siqueira. Tratado de neurocirurgia. 1.ª ed. 2016.
Provas
Questão presente nas seguintes provas
Cadernos
Caderno Container