Foram encontradas 300 questões.
Uma criança de 3 anos e 6 meses de idade apresenta manchas brancas opacas e rugosas, localizadas na região cervical dos dentes anterossuperiores, e cavitação na face oclusal dos segundos molares inferiores. Encontra-se em uso de mamadeira noturna, composta somente por leite de vaca. Apresenta dificuldade de aceitação de alimentos que integram a dieta familiar, como arroz, feijão, carne, legumes e frutas.
Quanto a esse caso clínico e aos conhecimentos correlatos, julgue os itens a seguir.
O uso de bochechos diários ou semanais de fluoreto de sódio a 0,05% e 0,2%, respectivamente, está indicado para a remineralização das manchas brancas.
Provas
Uma criança de 3 anos e 6 meses de idade apresenta manchas brancas opacas e rugosas, localizadas na região cervical dos dentes anterossuperiores, e cavitação na face oclusal dos segundos molares inferiores. Encontra-se em uso de mamadeira noturna, composta somente por leite de vaca. Apresenta dificuldade de aceitação de alimentos que integram a dieta familiar, como arroz, feijão, carne, legumes e frutas.
Quanto a esse caso clínico e aos conhecimentos correlatos, julgue os itens a seguir.
A escovação deve ser realizada com pasta dental contendo de 1.000 a 1.100 ppm de flúor, duas vezes ao dia, com a recomendação expressa do controle da quantidade a ser colocada nas cerdas da escova.
Provas
Uma criança de 3 anos e 6 meses de idade apresenta manchas brancas opacas e rugosas, localizadas na região cervical dos dentes anterossuperiores, e cavitação na face oclusal dos segundos molares inferiores. Encontra-se em uso de mamadeira noturna, composta somente por leite de vaca. Apresenta dificuldade de aceitação de alimentos que integram a dieta familiar, como arroz, feijão, carne, legumes e frutas.
Quanto a esse caso clínico e aos conhecimentos correlatos, julgue os itens a seguir.
A lactose é um dissacarídeo presente no leite, e a respectiva fermentação resulta na produção de ácidos, o que reduz o pH local a valores abaixo de 5,5, determinando a dissolução da hidroxiapatita.
Provas

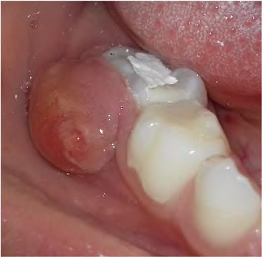
Figura D
Uma criança de 4 anos de idade, afebril e em bom estado geral compareceu para tratamento de urgência em função do surgimento de um nódulo de consistência amolecida e coloração amarelada, medindo 1 cm de diâmetro, localizado na região vestibular do dente 85. palpação do nódulo, houve a saída de secreção purulenta. A mãe informou que, há três meses, a criança havia passado por um atendimento de urgência, e na ocasião, havia sido colocada apenas uma “massinha no dente”.
Com relação a esse caso clínico e aos conhecimentos correlatos, julgue os itens a seguir.
A presença de inúmeros canais secundários na superfície radicular e na área de furca aumenta a possibilidade de repercussões periapicais, a partir da evolução do processo carioso, em dentes decíduos posteriores.
Provas

Figura D
Uma criança de 4 anos de idade, afebril e em bom estado geral compareceu para tratamento de urgência em função do surgimento de um nódulo de consistência amolecida e coloração amarelada, medindo 1 cm de diâmetro, localizado na região vestibular do dente 85. palpação do nódulo, houve a saída de secreção purulenta. A mãe informou que, há três meses, a criança havia passado por um atendimento de urgência, e na ocasião, havia sido colocada apenas uma “massinha no dente”.
Com relação a esse caso clínico e aos conhecimentos correlatos, julgue os itens a seguir.
O exame radiográfico, a anamnese e o teste de vitalidade pulpar são essenciais para o diagnóstico e o planejamento do tratamento.
Provas

Figura D
Uma criança de 4 anos de idade, afebril e em bom estado geral compareceu para tratamento de urgência em função do surgimento de um nódulo de consistência amolecida e coloração amarelada, medindo 1 cm de diâmetro, localizado na região vestibular do dente 85. palpação do nódulo, houve a saída de secreção purulenta. A mãe informou que, há três meses, a criança havia passado por um atendimento de urgência, e na ocasião, havia sido colocada apenas uma “massinha no dente”.
Com relação a esse caso clínico e aos conhecimentos correlatos, julgue os itens a seguir.
Trata-se de abscesso dento-alveolar agudo, cujo tratamento deve ser realizado por meio da antibioticoterapia, com amoxicilina durante sete dias ou azitromicina durante três dias e, posteriormente, a endodontia do 85.
Provas

Figura A

Figura B

Figura C
Durante o exame físico intrabucal de uma criança de 11 anos de idade, observou-se escarificação e ulceração da mucosa jugal do lado direito (figura A), assim como áreas avermelhadas e despapiladas na língua, circundadas por um halo esbranquiçado, entretanto sem queixas de dor (figura C). Além disso, foram observadas pequenas vesículas agrupadas na região do lábio superior, que surgiram após relato de prurido e ardência na região (figura B). A mãe da criança informou que tais vesículas são recorrentes e que a criança se encontra bastante ansiosa e irrequieta, tendo inclusive observado nela o hábito de morder a bochecha. Acredita, ainda, que a suspensão das aulas presenciais e das atividades físicas em função da pandemia por Covid-19 tenham relação com o quadro psicológico.
A respeito desse caso clínico e dos conhecimentos correlatos, julgue os itens a seguir.
A Figura C mostra um quadro de glossite migratória benigna, conhecido também por língua geográfica. O tratamento deve ser realizado à base de bochechos de corticoide.
Provas

Figura A

Figura B

Figura C
Durante o exame físico intrabucal de uma criança de 11 anos de idade, observou-se escarificação e ulceração da mucosa jugal do lado direito (figura A), assim como áreas avermelhadas e despapiladas na língua, circundadas por um halo esbranquiçado, entretanto sem queixas de dor (figura C). Além disso, foram observadas pequenas vesículas agrupadas na região do lábio superior, que surgiram após relato de prurido e ardência na região (figura B). A mãe da criança informou que tais vesículas são recorrentes e que a criança se encontra bastante ansiosa e irrequieta, tendo inclusive observado nela o hábito de morder a bochecha. Acredita, ainda, que a suspensão das aulas presenciais e das atividades físicas em função da pandemia por Covid-19 tenham relação com o quadro psicológico.
A respeito desse caso clínico e dos conhecimentos correlatos, julgue os itens a seguir.
Embora de etiologias diferentes, as lesões das figuras A e B podem ser relacionadas ao quadro psicológico do paciente.
Provas

Figura A

Figura B

Figura C
Durante o exame físico intrabucal de uma criança de 11 anos de idade, observou-se escarificação e ulceração da mucosa jugal do lado direito (figura A), assim como áreas avermelhadas e despapiladas na língua, circundadas por um halo esbranquiçado, entretanto sem queixas de dor (figura C). Além disso, foram observadas pequenas vesículas agrupadas na região do lábio superior, que surgiram após relato de prurido e ardência na região (figura B). A mãe da criança informou que tais vesículas são recorrentes e que a criança se encontra bastante ansiosa e irrequieta, tendo inclusive observado nela o hábito de morder a bochecha. Acredita, ainda, que a suspensão das aulas presenciais e das atividades físicas em função da pandemia por Covid-19 tenham relação com o quadro psicológico.
A respeito desse caso clínico e dos conhecimentos correlatos, julgue os itens a seguir.
Mucosa mordiscada e herpes labial recorrente são as lesões mostradas nas Figuras A e B, respectivamente.
Provas
Em razão da pandemia de Covid-19, o Congresso Nacional aprovou a Lei nº 13.989/2020, e o Ministério da Saúde publicou a Portaria nº 467/2020, que autorizam e regulamentam o uso da telemedicina, durante a crise causada pelo Coronavírus (SARS-CoV-2), na interação médicopaciente para fins de assistência, pesquisa, prevenção de doenças e lesões e promoção de saúde. Os profissionais podem contemplar o atendimento pré-clínico, de suporte assistencial, de consulta, de monitoramento e de diagnóstico, por meio de tecnologia da informação e comunicação, no âmbito do Sistema Único de Saúde (SUS), bem como na saúde suplementar e na saúde privada. Para evitar intepretações e utilização indevidas no exercício da Odontologia, o Conselho Federal de Odontologia aprovou a Resolução do CFO nº 226/2020.
Acerca do exercício da Odontologia a distância, mediado por tecnologias contidas na Resolução do CFO nº 226/2020, julgue os itens a seguir.
O cirurgião-dentista também pode realizar teleorientação, com objetivo de identificar, por meio da realização de questionário pré-clínico, o melhor momento para a realização do atendimento presencial.
Provas
Caderno Container