Foram encontradas 1.080 questões.

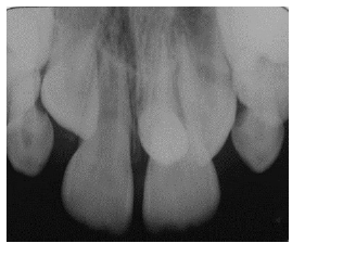
Uma criança de oito anos de idade foi ao dentista, pela primeira vez, para consulta de rotina. Mediante análise do exame radiográfico periapical dos dentes anterossuperiores, encontrou-se um mesiodens. Considerando essa situação e a(s) técnica(s) de localização radiográfica, julgue os itens a seguir.
Provas
Questão presente nas seguintes provas

Uma criança de oito anos de idade foi ao dentista, pela primeira vez, para consulta de rotina. Mediante análise do exame radiográfico periapical dos dentes anterossuperiores, encontrou-se um mesiodens. Considerando essa situação e a(s) técnica(s) de localização radiográfica, julgue os itens a seguir.
Provas
Questão presente nas seguintes provas
Considerando um paciente saudável de 20 anos de idade, que
não tem os terceiros molares irrompidos, e que necessite
fazer exame radiográfico, julgue os itens a seguir.
Para esse procedimento, o operador deve usar, como
equipamento proteção individual, luvas, máscara, gorro
e jaleco, sendo que os óculos de proteção podem ser
dispensados.Provas
Questão presente nas seguintes provas
Considerando um paciente saudável de 20 anos de idade, que
não tem os terceiros molares irrompidos, e que necessite
fazer exame radiográfico, julgue os itens a seguir.
Para o exame periapical completo, serão necessárias
14 incidências radiográficas.Provas
Questão presente nas seguintes provas
A frustração com os resultados da biomedicina, crescentemente
caudatária dos interesses do complexo médico industrial, e
responsável ela própria por provocar riscos e danos, fez com que
surgisse, a partir sobretudo da década de 1960, e em várias
partes do mundo ocidental, um pensamento crítico ao modelo e
voltado para revalorizar as dimensões sociais e culturais
determinantes do processo saúde-doença, ultrapassando o foco
exclusivo de combater a doença somente depois de instalada.
Considerando esse contexto, julgue os itens a seguir.
A doença não é mais que um constructo que guarda
relação com o sofrimento, com o mal, mas não lhe
corresponde integralmente. Quadros clínicos semelhantes,
ou seja, com os mesmos parâmetros biológicos,
prognóstico e implicações para o tratamento, podem afetar
pessoas diferentes de forma distinta, resultando em
variadas manifestações de sintomas e desconforto, com
comprometimento diferenciado de suas habilidades de
atuar em sociedade.Provas
Questão presente nas seguintes provas
A frustração com os resultados da biomedicina, crescentemente
caudatária dos interesses do complexo médico industrial, e
responsável ela própria por provocar riscos e danos, fez com que
surgisse, a partir sobretudo da década de 1960, e em várias
partes do mundo ocidental, um pensamento crítico ao modelo e
voltado para revalorizar as dimensões sociais e culturais
determinantes do processo saúde-doença, ultrapassando o foco
exclusivo de combater a doença somente depois de instalada.
Considerando esse contexto, julgue os itens a seguir.
O enfrentamento das determinações econômicas e
sociais mais gerais dos processos saúde-doença envolve
ações apenas no sistema de atenção à saúde, com
mudanças nos modelos assistenciais e ampliação da
autonomia dos sujeitos.Provas
Questão presente nas seguintes provas
A frustração com os resultados da biomedicina, crescentemente
caudatária dos interesses do complexo médico industrial, e
responsável ela própria por provocar riscos e danos, fez com que
surgisse, a partir sobretudo da década de 1960, e em várias
partes do mundo ocidental, um pensamento crítico ao modelo e
voltado para revalorizar as dimensões sociais e culturais
determinantes do processo saúde-doença, ultrapassando o foco
exclusivo de combater a doença somente depois de instalada.
Considerando esse contexto, julgue os itens a seguir.
Um dos principais mecanismos pelos quais as
iniquidades de renda produzem um impacto na situação
de saúde é o desgaste das relações de solidariedade e
confiança entre pessoas e grupos.Provas
Questão presente nas seguintes provas
A frustração com os resultados da biomedicina, crescentemente
caudatária dos interesses do complexo médico industrial, e
responsável ela própria por provocar riscos e danos, fez com que
surgisse, a partir sobretudo da década de 1960, e em várias
partes do mundo ocidental, um pensamento crítico ao modelo e
voltado para revalorizar as dimensões sociais e culturais
determinantes do processo saúde-doença, ultrapassando o foco
exclusivo de combater a doença somente depois de instalada.
Considerando esse contexto, julgue os itens a seguir.
O que caracteriza a promoção da saúde modernamente
é considerar como foco da ação sanitária os
determinantes gerais sobre a saúde.Provas
Questão presente nas seguintes provas
A frustração com os resultados da biomedicina, crescentemente
caudatária dos interesses do complexo médico industrial, e
responsável ela própria por provocar riscos e danos, fez com que
surgisse, a partir sobretudo da década de 1960, e em várias
partes do mundo ocidental, um pensamento crítico ao modelo e
voltado para revalorizar as dimensões sociais e culturais
determinantes do processo saúde-doença, ultrapassando o foco
exclusivo de combater a doença somente depois de instalada.
Considerando esse contexto, julgue os itens a seguir.
As iniquidades são as desigualdades inevitáveis na
saúde, injustas e desnecessárias. Nesse sentido, a
intervenção sobre os determinantes sociais em saúde
com base em evidência é estratégia de combate às
iniquidades.Provas
Questão presente nas seguintes provas
A frustração com os resultados da biomedicina, crescentemente
caudatária dos interesses do complexo médico industrial, e
responsável ela própria por provocar riscos e danos, fez com que
surgisse, a partir sobretudo da década de 1960, e em várias
partes do mundo ocidental, um pensamento crítico ao modelo e
voltado para revalorizar as dimensões sociais e culturais
determinantes do processo saúde-doença, ultrapassando o foco
exclusivo de combater a doença somente depois de instalada.
Considerando esse contexto, julgue os itens a seguir.
O controle de algumas doenças é possível por meio de
ações sobre os determinantes sociais, os quais não
variam entre indivíduos e entre as diferentes realidades
da sociedade.Provas
Questão presente nas seguintes provas
Cadernos
Caderno Container