Foram encontradas 120 questões.
Lactente de 4 meses de vida inicia com quadro de secreção nasal, tosse e espirros, progredindo dois dias após com aumento da frequência respiratória e ruído de “chiado” notado pelos pais. Ao exame, a criança está afebril, com saturação de oxigênio de 98%, FR de 26 irpm e FC de 98 bpm, sem esforço respiratório; na ausculta respiratória, nota-se sibilos difusos. Os pais negam episódios anteriores ou antecedentes de atopia.
A respeito desse caso clínico, julgue os itens a seguir.
Provas

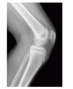
R.L.P, de 14 anos de idade, joga futebol diariamente com colegas de bairro, por ao menos quatro horas diárias. Iniciou, há cerca de um ano, com queixas de dor anterior em ambos os joelhos. Foi realizada a radiografia apresentada.
Com base nesse caso clínico e nos conhecimentos médicos correlatos, julgue os itens a seguir.
Provas

R.L.P, de 14 anos de idade, joga futebol diariamente com colegas de bairro, por ao menos quatro horas diárias. Iniciou, há cerca de um ano, com queixas de dor anterior em ambos os joelhos. Foi realizada a radiografia apresentada.
Com base nesse caso clínico e nos conhecimentos médicos correlatos, julgue os itens a seguir.
Provas

R.L.P, de 14 anos de idade, joga futebol diariamente com colegas de bairro, por ao menos quatro horas diárias. Iniciou, há cerca de um ano, com queixas de dor anterior em ambos os joelhos. Foi realizada a radiografia apresentada.
Com base nesse caso clínico e nos conhecimentos médicos correlatos, julgue os itens a seguir.
Provas

R.L.P, de 14 anos de idade, joga futebol diariamente com colegas de bairro, por ao menos quatro horas diárias. Iniciou, há cerca de um ano, com queixas de dor anterior em ambos os joelhos. Foi realizada a radiografia apresentada.
Com base nesse caso clínico e nos conhecimentos médicos correlatos, julgue os itens a seguir.
Provas

R.L.P, de 14 anos de idade, joga futebol diariamente com colegas de bairro, por ao menos quatro horas diárias. Iniciou, há cerca de um ano, com queixas de dor anterior em ambos os joelhos. Foi realizada a radiografia apresentada.
Com base nesse caso clínico e nos conhecimentos médicos correlatos, julgue os itens a seguir.
Provas

R.L.P, de 14 anos de idade, joga futebol diariamente com colegas de bairro, por ao menos quatro horas diárias. Iniciou, há cerca de um ano, com queixas de dor anterior em ambos os joelhos. Foi realizada a radiografia apresentada.
Com base nesse caso clínico e nos conhecimentos médicos correlatos, julgue os itens a seguir.
Provas

R.L.P, de 14 anos de idade, joga futebol diariamente com colegas de bairro, por ao menos quatro horas diárias. Iniciou, há cerca de um ano, com queixas de dor anterior em ambos os joelhos. Foi realizada a radiografia apresentada.
Com base nesse caso clínico e nos conhecimentos médicos correlatos, julgue os itens a seguir.
Provas
M.C.T., de 18 anos de idade, portadora de HIV em uso de TARV, deu à luz a filha há dois meses. A recém-nascida não apresenta sinais de imunossupressão no momento e ainda não recebeu qualquer vacina. A mãe foi orientada a realizar as vacinas da criança em centro especializado de vacinação, por insegurança da equipe da Unidade Básica de Saúde.
Quanto a esse caso clínico, julgue os itens a seguir.
Provas
M.C.T., de 18 anos de idade, portadora de HIV em uso de TARV, deu à luz a filha há dois meses. A recém-nascida não apresenta sinais de imunossupressão no momento e ainda não recebeu qualquer vacina. A mãe foi orientada a realizar as vacinas da criança em centro especializado de vacinação, por insegurança da equipe da Unidade Básica de Saúde.
Quanto a esse caso clínico, julgue os itens a seguir.
Provas
Caderno Container