Foram encontradas 1.592 questões.
A radioterapia moderna oferece uma série de equipamentos que auxiliam na programação do tratamento. Estes equipamentos não estão disponíveis em várias localidades e, quando disponíveis, são melhor utilizados se aplicados os
conhecimentos de anatomia topográfica. Sobre os conhecimentos em anatomia de superfície, assinale a afirmativa
INCORRETA.
Provas
Questão presente nas seguintes provas
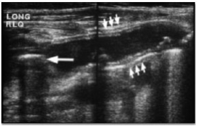
“Paciente, jovem, com queixa de dor abdominal, de início há 2 dias, com localização inespecífica, e agora bem localizada em fossa ilíaca direita, é submetido à ultrassonografia da região, a qual é esclarecedora e apresenta os seguintes achados de imagem.”

Com base no disposto, é correto afirmar que trata-se, provavelmente, de
Provas
Questão presente nas seguintes provas
A Portaria nº 453 limita a dose para indivíduos ocupacionalmente expostos. Um caso especial é para as mulheres
grávidas. A respeito de limites durante a gravidez, é correto afirmar que
Provas
Questão presente nas seguintes provas
Considere uma criança de 6 anos, com a seguinte imagem radiológica:

Diante do exposto, é correto afirmar que trata-se
Provas
Questão presente nas seguintes provas
Apesar da ressonância magnética do encéfalo ser a técnica de neuroimagem de escolha na investigação de pacientes
com crises epilépticas, fornecendo excelentes informações anatômicas com alta sensibilidade, técnicas de neuroimagem
funcional como o estudo tomográfico de perfusão cerebral (SPECT – Single Photon Emission Computed Tomography –
cerebral) e o estudo tomográfico de metabolismo cerebral (PET – Positron Emission Tomography – cerebral) têm se
tornado instrumentos importantes na avaliação de pacientes com crises epilépticas. Estas técnicas funcionais permitem
avaliação não invasiva do substrato epileptogênico, do estado funcional da atividade cerebral durante o período ictal,
das alterações de fluxo sanguíneo cerebral regional, do metabolismo cerebral e, ainda, dos neuroreceptores, sendo que
este tipo de investigação funcional permite um avanço na compreensão e no tratamento das crises. Qual o marcador
metabólico mais utilizado para o estudo funcionais do cérebro?
Provas
Questão presente nas seguintes provas
Para cintigrafia miocárdica, em repouso ou sobre estímulo por esforço físico ou drogas, pode-se usar um contraste.
Qual o elemento utilizado na cintrilografia miocárdia?
Provas
Questão presente nas seguintes provas
A figura a seguir representa a curva de operação de um detector a gás.

Assinale a alternativa que apresenta a faixa de trabalho de um detector Geiger-Müller.
Provas
Questão presente nas seguintes provas
Para ter o funcionamento de um serviço de radiologia autorizado é necessário apresentar um relatório de levantamento radiométrico. Esse relatório deve ser providenciado sempre que
Provas
Questão presente nas seguintes provas
O contraste selenometionina (75Se), um dos contrastes usados nos exames de cintilografia, é um dos poucos que
permite a visualização do
Provas
Questão presente nas seguintes provas
O Dosímetro Termoluminescente (TLD) pode ser utilizado como dosímetro individual para registro de dose de IOE’s.
Assinale a alternativa que NÃO apresenta uma característica do TLD.
Provas
Questão presente nas seguintes provas
Cadernos
Caderno Container