Foram encontradas 60 questões.
A varíola dos macacos é causada pelo vírus da espécie Monkeypox virus, e preocupou as autoridades de saúde pública com o surgimento de um surto da doença no ano de 2022. Sobre a varíola dos macacos, assinale a alternativa correta.
Provas
Paciente de 65 anos, fototipo II, com antecedentes de hipertensão arterial sistêmica e diabetes mellitus, relata aparecimento de calor e rubor na perna esquerda há menos de 24 horas, com dor intensa. Ao exame físico, observa-se eritema difuso, associado a rubor e aumento de temperatura do membro inferior esquerdo, associados à dor à palpação, desproporcional aos achados físicos encontrados. Diante da principal hipótese diagnóstica para o caso, assinale a alternativa que apresenta a conduta mais adequada.
Provas
Paciente de 11 anos, do sexo feminino, fototipo III, foi encaminhada ao dermatologista devido à presença de “pontinhos brancos no cabelo”, percebidos pela mãe, assintomáticos. Ao exame físico, foram evidenciados pequenos nódulos, amareloesbranquiçados, de consistência amolecida, aderidos às hastes pilosas. Quanto à principal hipótese diagnóstica, assinale a alternativa incorreta.
Provas
Mulher de 65 anos, encaminhada devido ao início abrupto de lesões cutâneas há cerca de dois meses, associadas à perda de peso e alterações na função cognitiva. Ao exame, foram evidenciadas placas eritematosas com crostas na periferia, principalmente na região intertriginosa perineal e no dorso dos pés. Feito exame anatomopatológico, que evidenciou necrose de queratinócitos na camada espinhosa e infiltrado neutrofílico intenso. Analise as afirmativas abaixo.
I. O quadro clínico é compatível com eritema gyratum repens, uma paraneoplasia cujo sítio mais acometido é o trato pulmonar.
II. O quadro clínico é compatível com eritema necrolítico migratório, uma paraneoplasia cujo sítio clássico de acometimento é a cauda pancreática.
III. O quadro clínico é compatível com eritema necrolítico migratório e pode ocorrer devido à insuficiência pancreática, distúrbios na absorção intestinal, doença celíaca, outras doenças inflamatórias intestinais e cirrose hepática.
Estão corretas as afirmativas:
Provas
Analise as afirmativas abaixo.
I. A necrobiose lipoídica é uma dermatose exclusiva de pacientes diabéticos, na qual ocorre degeneração do colágeno.
II. A necrobiose lipoídica é dermatose mais comum em pacientes do sexo feminino, com início mais precoce em pacientes com diabetes tipo II e pode preceder o diagnóstico de diabetes em cerca de 15% dos casos.
III. As lesões de necrobiose lipoídica acometem principalmente a região pré-tibial, podendo ocorrer uni ou bilateralmente, porém face, couro cabeludo, tronco e membros superiores podem ser afetados.
Estão corretas as afirmativas:
Provas
Paciente de 54 anos, fofotipo II, relata mudança no formato da unha há quatro anos, com aumento da curvatura longitudinal, sem dor ou outros sintomas. Ao exame físico, observou-se um aumento significativo da curvatura longitudinal da parte mais lateral da unha. Realizada biópsia excisional da região, que evidenciou, na macroscopia, múltiplas projeções digitiformes e a presença de cavitações na lâmina ungueal acometida. De acordo com o exame clínico acima descrito, assinale a alternativa que apresenta o diagnóstico correto.
Provas
Paciente de 56 anos, fototipo IV, com queixa de queda de cabelo progressiva e prurido no couro cabeludo há três anos. Nega uso de medicamentos, doenças de base ou eventos estressores desencadeantes do quadro. Relata realização de relaxamento com frequência, tendo suspendido há seis meses. Ao exame físico, presença de área alopécica bem delimitada e de limites regulares na região parietal, sem a visualização de aberturas foliculares na região. À dermatoscopia, confirma-se a ausência de aberturas foliculares na região, porém não são observados outros sinais tricoscópicos. Dada a apresentação clínica acima, assinale a alternativa correta que apresenta a principal hipótese diagnóstica.
Provas
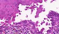
É necessário que o dermatologista tenha conhecimento em dermatopatologia, pois, nos casos mais desafiadores, a descrição do exame anatomopatológico pode trazer elementos que facilitam a definição do diagnóstico pelo dermatologista. Sobre a imagem abaixo, assinale a alternativa correta.

Provas
Paciente de 28 anos, médica veterinária, relata que há dois meses atendeu gato com lesão cutânea no dorso nasal, e que o mesmo lhe causou arranhões nas suas mãos. Após duas semanas, relata o surgimento das lesões abaixo:

Considerando qual a melhor forma para determinar sua principal hipótese diagnóstica, assinale a alternativa correta.
Provas
A hanseníase é uma dermatose infecciosa endêmica no Brasil e caracteriza-se pela multiplicidade de apresentações clínicas, sendo o exame anatomopatológico importante no auxílio da classificação de um paciente doente. Sobre o exame anatomopatológico abaixo, assinale a alternativa correta.

Provas
Caderno Container