Foram encontradas 50 questões.
Assinale a alternativa correta. Na avaliação do perfil lipídico utiliza-se comumente a fórmula de Friedewald para o calculo do LDL- colesterol. Nesta formula utilizase o valor do colesterol total, HDL colesterol e do triglicérides, sendo que o triglicérides deve ser divido por:
Provas
Questão presente nas seguintes provas
Assinale a alternativa correta. A presença de hemácias dismórficas em torno de 20% em um exame de sedimento urinário indica:
Provas
Questão presente nas seguintes provas
Assinale a alternativa que apresenta uma das causas de hemólise de amostra de sangue in vitro:
Provas
Questão presente nas seguintes provas
Assinale a alternativa correta. A toxoplasmose é uma zoonose, sendo que sua transmissão ocorre através de:
Provas
Questão presente nas seguintes provas
A larva migrans cutânea, conhecida popularmente como bicho-geográfico, é causada pela penetração de larvas na pele humana, que causam uma lesão serpetiginosa. O nematóide que ocasiona esta lesão denomina-se:
Provas
Questão presente nas seguintes provas
No ciclo evolutivo do Ancilostomideos ocorre o ciclo pulmonar, que é a síndrome de Loeffler. Os outros helmintos que também realizam este ciclo e cujas larvas podem ser encontradas no escarro são:
Provas
Questão presente nas seguintes provas
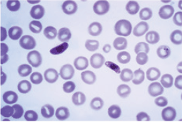
A malária é uma doença infecciosa cujo diagnóstico é feito pela visualização microscópica do plasmódio em exame da gota espessa. A ilustração abaixo indica a presença de:

Assinale a alternativa correta.
Provas
Questão presente nas seguintes provas
Assinale a alternativa correta. O diagnóstico laboratorial de infecção por Zika vírus pode ser realizado por:
Provas
Questão presente nas seguintes provas
Faça associação correta entre as os exames microscópicos diretos sem colorações e as indicações para investigação microbiológica.
1- Salina
2- Exame em Campo Escuro
3- Tinta da China (nanquim)
A) Trichomonas
B) Criptococos
C) Treponema pallidum
Assinale a alternativa que apresenta a associação correta.
Provas
Questão presente nas seguintes provas
Assinale a alternativa correta. Na manipulação de culturas com Mycobacterium tuberculosis em um laboratório de microbiologia deve-se utilizar como medidas de proteção individual:
Provas
Questão presente nas seguintes provas
Cadernos
Caderno Container