Magna Concursos

Foram encontradas 3.709 questões.

1181989 Ano: 2018
Disciplina: Radiologia
Banca: CESPE / CEBRASPE
Orgão: EBSERH
Provas:

Julgue o item seguinte, a respeito das estruturas que compõem o aparelho locomotor.

A região da diáfise no osso longo de um adulto abriga, em seu interior, a medula vermelha, local preenchido por tecido hematopoiético.

 

Provas

Questão presente nas seguintes provas
1181986 Ano: 2018
Disciplina: Radiologia
Banca: CESPE / CEBRASPE
Orgão: EBSERH
Provas:

Julgue o item seguinte, a respeito das estruturas que compõem o aparelho locomotor.

A articulação radiocárpica, com seus respectivos músculos, realiza movimentos de flexão, extensão, abdução e adução.

 

Provas

Questão presente nas seguintes provas
1181967 Ano: 2018
Disciplina: Radiologia
Banca: CESPE / CEBRASPE
Orgão: EBSERH
Provas:

Julgue o item seguinte, a respeito das estruturas que compõem o aparelho locomotor.

O esqueleto axial e suas estruturas participam diretamente das funções de motricidade fina e da sustentação de peso.

 

Provas

Questão presente nas seguintes provas
1181960 Ano: 2018
Disciplina: Radiologia
Banca: CESPE / CEBRASPE
Orgão: EBSERH
Provas:

Julgue o item seguinte, a respeito das estruturas que compõem o aparelho locomotor.

A articulação glenoumeral, classificada como sinovial do tipo esferoide, permite movimentos nos três planos anatômicos.

 

Provas

Questão presente nas seguintes provas
1181773 Ano: 2018
Disciplina: Radiologia
Banca: CESPE / CEBRASPE
Orgão: EBSERH
Provas:

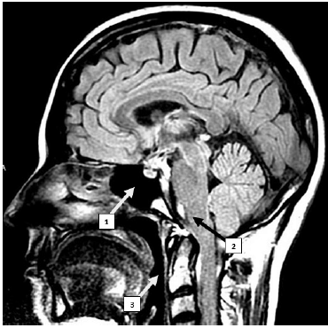
Enunciado 1181773-1

Internet: <cdiumuarama com br/exame/> Figura 3

Tendo como referência a imagem precedente, julgue o item que se segue.

A estrutura indicada pelo número 3, denominada faringe, é um órgão tubular com início logo após as coanas e possui, na sua terminação, comunicação com a laringe e o esôfago.

 

Provas

Questão presente nas seguintes provas
1181772 Ano: 2018
Disciplina: Radiologia
Banca: CESPE / CEBRASPE
Orgão: EBSERH
Provas:

Enunciado 1181772-1

Internet: <cdiumuarama com br/exame/> Figura 3

Tendo como referência a imagem precedente, julgue o item que se segue.

Para indicar a posição de estruturas na vertical localizadas no esqueleto axial, são utilizados os termos proximal e distal.

 

Provas

Questão presente nas seguintes provas
1181771 Ano: 2018
Disciplina: Radiologia
Banca: CESPE / CEBRASPE
Orgão: EBSERH
Provas:

Enunciado 1181771-1

Internet: <cdiumuarama com br/exame/> Figura 3

Tendo como referência a imagem precedente, julgue o item que se segue.

A primeira vértebra da região cervical, chamada de Atlas, possui articulação com os processos condilares do osso temporal, em suas facetas articulares superiores, e articulação com o áxis, em suas facetas articulares inferiores.

 

Provas

Questão presente nas seguintes provas
1181770 Ano: 2018
Disciplina: Radiologia
Banca: CESPE / CEBRASPE
Orgão: EBSERH
Provas:

Enunciado 1181770-1

Internet: <cdiumuarama com br/exame/> Figura 3

Tendo como referência a imagem precedente, julgue o item que se segue.

O número 2 indica o bulbo, um centro de comando respiratório autônomo, em cuja região caudal ocorre o cruzamento de fibras nervosas, que constitui a decussação das pirâmides.

 

Provas

Questão presente nas seguintes provas
1181769 Ano: 2018
Disciplina: Radiologia
Banca: CESPE / CEBRASPE
Orgão: EBSERH
Provas:

Enunciado 1181769-1

Internet: <cdiumuarama com br/exame/> Figura 3

Tendo como referência a imagem precedente, julgue o item que se segue.

A estrutura indicada pelo número 1 corresponde ao seio etmoidal, uma cavidade oca revestida com mucosa e preenchida com ar.

 

Provas

Questão presente nas seguintes provas
1181768 Ano: 2018
Disciplina: Radiologia
Banca: CESPE / CEBRASPE
Orgão: EBSERH
Provas:

Enunciado 1181768-1

Internet: <cdiumuarama com br/exame/> Figura 3

Tendo como referência a imagem precedente, julgue o item que se segue.

A imagem apresenta um corte coronal mediano, que divide o corpo em direito e esquerdo.

 

Provas

Questão presente nas seguintes provas