Foram encontradas 349 questões.
Assinale a alternativa que apresenta a linha de referência que deve estar perpendicular à mesa na incidência de Caldwell para crânio.
Provas
Questão presente nas seguintes provas
Assinale a alternativa que apresenta as estruturas que podem ser avaliadas pela incidência submentovértice, cada qual com as suas especificações.
Provas
Questão presente nas seguintes provas
Assinale a alternativa que apresenta o exame não funcional do sistema urinário em que o contraste é injetado contra o fluxo normal da urina via cateterização.
Provas
Questão presente nas seguintes provas
A utilização do bário em exames do TGI é contraindicada em casos de:
Provas
Questão presente nas seguintes provas
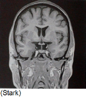
De acordo com a imagem a seguir, assinale a alternativa que determina a secção de corte.


Provas
Questão presente nas seguintes provas
Assinale o exame que permite a incoporação das tecnologias computer aided detection e tomossíntese.
Provas
Questão presente nas seguintes provas
Assinale a alternativa correta considerando o câncer de pele.
Provas
Questão presente nas seguintes provas
O dosímetro individual deve ser utilizado sempre.
Provas
Questão presente nas seguintes provas
O mAs pode ser definido como a quantidade de raios X emitidos pelo tubo por unidade de tempo, isto porque:
Provas
Questão presente nas seguintes provas
Assinale a alternativa que possui a consequência de se aumentar a Dfofi.
Provas
Questão presente nas seguintes provas
Cadernos
Caderno Container