Foram encontradas 1.350 questões.
A imagem abaixo mostra a face de uma paciente de 62 anos acometida por Herpes Zoster.

Fonte: Disponível em http://proencaderma.com.br/arquivos-tipo-atlas/herpes_zoster_facial.html.
Acesso em 17/04/2022
Sobre o Herpes Zoster, analise as assertivas abaixo.
I. O vírus causador faz parte da mesma família do HPV.
II. É uma doença viral causada pela reativação do VZV ou HHV-3.
III. A antibioticoterapia é o tratamento de escolha para pacientes com Herpes Zoster.
IV. Na imagem apresentada houve acometimento dos ramos maxilar e mandibular do Trigêmeo, lado esquerdo.
Estão corretas apenas as assertivas:
Provas
Glândulas salivares maiores e menores podem ser afetadas por neoplasias de características clínicas e histopatológicas diversas.
Sobre os aspectos microscópicos dos tumores de glândulas salivares é correto afirmar que:
Provas
Inúmeras síndromes genéticas são marcadas pela presença de manifestações bucais.
Associe as colunas relacionando as síndromes com suas respectivas alterações bucais.
Síndrome
(1) Síndrome de McCune-Albright
(2) Angiomatose de Sturge Weber
(3) Doença de Von Recklinghausen da Pele
(4) Síndrome de Peutz-Jeghers
Alterações bucais
( ) Máculas cutâneas e mucosas.
( ) Manchas “vinho do porto”.
( ) Displasia fibrosa.
( ) Neurofibromas.
A sequência correta dessa classificação é:
Provas
Dentro do grupo das lesões fibro-ósseas, as displasias ósseas são as mais comuns. Sobre essas lesões, é correto afirmar que:
Provas
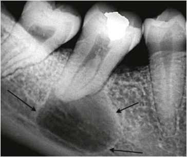
O exame radiográfico abaixo mostra imagem radiolúcida unilocular bem delimitada na região periapical do dente 47.
As setas pretas apontam para o halo radiopaco que circunda a lesão.

Fonte: Disponível em: https://pocketdentistry.com/21-cysts/#st0060. Acesso em 16/04/2022
A imagem radiográfica apresentada é compatível com as seguintes lesões:
Provas
A Doença do Enxerto Contra o Hospedeiro (DECH) é uma complicação enfrentada por pacientes submetidos ao Transplante de Células Tronco Hematopoiéticas (TCTH). O trecho abaixo descreve alguns aspectos da DECH.
A fase _____________ da DECH inicia-se cerca de 3 semanas após o transplante e caracteriza-se por _____________ e sensação de calor nas mãos e nos pés. A DECH _____________ manifesta-se com características de imunossupressão e lesões _____________ são encontradas na mucosa bucal.
A sequência de palavras que preenche corretamente as lacunas é:
Provas
Paciente T.J.I., 48 anos, sexo feminino, procurou o Serviço Odontológico queixando-se de aumento de volume assintomático do lábio superior, lado direito, resultando em apagamento do fundo do vestíbulo e elevação da asa direita do nariz. Foi estabelecido o diagnóstico de Cisto Nasolabial e a paciente foi submetida a tratamento com injeção intralesional de anti-inflamatórios esteroides.
Quanto à conduta do cirurgião-dentista nesse caso, marque a opção correta.
Provas
Segundo a Organização Mundial de Saúde (OMS), atualmente existem 422 milhões de pessoas com diabetes mellitus no mundo e, a cada ano, cerca de 1,5 milhão de mortes são atribuídas a essa doença. Disponível em: <https://www.who.int/health-topics/diabetes#tab=tab_1>. Acesso em 16/04/2022
São possíveis manifestações bucais de diabetes mellitus:
Provas
Tanto os distúrbios genéticos quanto os fatores ambientais podem estar associados às alterações estruturais e funcionais da língua. Marque a opção em que a alteração lingual pode resultar em distúrbios na fonação.
Provas
Toda dor associada aos tecidos da cavidade oral e da face é denominada dor orofacial. Sobre essa condição, marque a opção correta:
Provas
Caderno Container