Magna Concursos

Foram encontradas 108 questões.

1103782 Ano: 2017
Disciplina: Biologia
Banca: Cepros
Orgão: CESMAC
Provas:

Analise o funcionamento do rim, importante órgão do sistema excretor humano, representado abaixo.

enunciado 1103782-1

As funções indicadas pelas estruturas numeradas 1 e 2 são, respectivamente:

 

Provas

Questão presente nas seguintes provas
1103781 Ano: 2017
Disciplina: Biologia
Banca: Cepros
Orgão: CESMAC
Provas:
Bactérias resistentes aos antibióticos podem transferir informação genética entre si, fazendo com que outras cepas se tornem também resistentes. Um dos mecanismos que explica tal processo é ilustrado abaixo e conhecido como:
enunciado 1103781-1
 

Provas

Questão presente nas seguintes provas
1103780 Ano: 2017
Disciplina: Biologia
Banca: Cepros
Orgão: CESMAC
Provas:

Considerando os conhecimentos de taxonomia, analise a figura abaixo.

enunciado 1103780-1

Podemos afirmar que:

 

Provas

Questão presente nas seguintes provas
1103779 Ano: 2017
Disciplina: Biologia
Banca: Cepros
Orgão: CESMAC
Provas:

Analise a charge abaixo:

enunciado 1103779-1

É correto afirmar que a poluição atmosférica:

1) gera óxidos de enxofre que são reabsorvidos pelas árvores, por meio da respiração celular.
2) é produzida por gases do efeito estufa, tais como ozônio e clorofluorcarbono.
3) origina monóxido de carbono, que combinado à hemoglobina forma carboxihemoglobina.

Está(ão) correta(s):

 

Provas

Questão presente nas seguintes provas
1103778 Ano: 2017
Disciplina: Biologia
Banca: Cepros
Orgão: CESMAC
Provas:
Analise, abaixo, o gráfico de distribuição fenotípica das populações de pássaros 1, 2 e 3, ao longo da evolução.
enunciado 1103778-1
Considerando, acima, a curva normal de variação fenotípica para uma dada característica na população de pássaros 1, é correto afirmar que a seleção natural favoreceu:
1) na população 2, o aumento na frequência de indivíduos com fenótipos de um dos extremos.
2) na população 3, o aumento na frequência de indivíduos com fenótipos intermediários.
3) na população 2, a diminuição na frequência de indivíduos com fenótipos extremos.
4) na população 3, o aumento na frequência de indivíduos com fenótipos de um dos extremos.
5) na população 2, o aumento na frequência de indivíduos com fenótipos intermediários.
Estão corretas apenas:
 

Provas

Questão presente nas seguintes provas
1103777 Ano: 2017
Disciplina: Biologia
Banca: Cepros
Orgão: CESMAC
Provas:

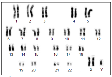
Analise o cariótipo abaixo.

enunciado 1103777-1

É possível concluir que os portadores da síndrome mostrada apresentam fenotipicamente, dentre outras características:

 

Provas

Questão presente nas seguintes provas
1103776 Ano: 2017
Disciplina: Biologia
Banca: Cepros
Orgão: CESMAC
Provas:

Analise o processo bioquímico celular, a seguir:

enunciado 1103776-1

É correto afirmar que tal equação geral demonstra, por exemplo, que:

 

Provas

Questão presente nas seguintes provas
1103775 Ano: 2017
Disciplina: Biologia
Banca: Cepros
Orgão: CESMAC
Provas:
O HPV é um vírus com material genético de DNA, não envelopado, que produz lesões epiteliais. Sobre este assunto, analise as informações contidas no panfleto abaixo para responder a questão seguinte
enunciado 1103775-1
Sobre a vacinação contra o vírus HPV, é correto afirmar que:
 

Provas

Questão presente nas seguintes provas
1103774 Ano: 2017
Disciplina: Biologia
Banca: Cepros
Orgão: CESMAC
Provas:
O HPV é um vírus com material genético de DNA, não envelopado, que produz lesões epiteliais. Sobre este assunto, analise as informações contidas no panfleto abaixo para responder a questão seguinte
enunciado 1103774-1
Sobre a biologia do vírus HPV e seus mecanismos de transmissão, é correto afirmar que:
 

Provas

Questão presente nas seguintes provas
1103771 Ano: 2017
Disciplina: Biologia
Banca: Cepros
Orgão: CESMAC
Provas:
A teníase é uma doença provocada por Taenia solium ou Taenia saginata, quando estes parasitas infectam animais e seres humanos. É correto afirmar que ambas as espécies de tênias:
1) são hermafroditas.
2) infectam o intestino delgado de humanos.
3) podem provocar cisticercose.
4) têm o porco como hospedeiro intermediário.
Estão corretas:
 

Provas

Questão presente nas seguintes provas