Magna Concursos

Foram encontradas 49 questões.

486564 Ano: 2019
Disciplina: Medicina
Banca: IADES
Orgão: ALEGO
Uma paciente de 70 anos de idade sofreu queda do segundo pavimento da própria casa sobre o joelho, apresentando fratura transversal de patela, sem desvio ou afastamento significativo dos fragmentos.

Com relação a esse caso clínico, é correto afirmar que a imobilização inicial adequada é
 

Provas

Questão presente nas seguintes provas
486562 Ano: 2019
Disciplina: Medicina
Banca: IADES
Orgão: ALEGO
Um paciente de 18 anos de idade refere “mau jeito” na coluna lombar quando se abaixou para pegar caneta no chão, há cerca de três horas. Paciente tem pontos miofasciais e dor em altura de L2-L3. Lasègue negativo. Refere prática esportiva regular.

Acerca desse caso clínico e quanto à avaliação desse paciente e à conduta subsequente, assinale a alternativa correta.
 

Provas

Questão presente nas seguintes provas
486557 Ano: 2019
Disciplina: Medicina
Banca: IADES
Orgão: ALEGO
Um paciente de 67 anos de idade, com HAS e glaucoma, apresenta-se com lombalgia aguda de características mecânicas. Foi prescrito para o paciente meloxicam e ciclobenzaprina.

A respeito desse caso clínico e considerando essa prescrição, assinale a alternativa correta.
 

Provas

Questão presente nas seguintes provas
486556 Ano: 2019
Disciplina: Medicina
Banca: IADES
Orgão: ALEGO

Um paciente de 22 anos de idade, corredor, queixa-se de dor em joelho há seis meses, que iniciou ao final das corridas, mas atualmente ocorre mesmo em movimentos do dia a dia. Durante o exame físico, foram negativos os testes: Clarke, rechaço patelar, McMurray, Apley, gaveta anterior, gaveta posterior, estresse em valgo e varo. A palpação do ligamento patelar ou tendão quadriciptal foram indolores. Durante o exame físico, com o paciente sentado com as pernas para fora da maca e a tíbia em rotação interna, o examinador realizou flexo-extensão passiva do joelho do paciente, notando banda fibrosa peri patelar, que o paciente identificou na palpação como fonte da respectiva dor.

Considerando o diagnóstico mais provável, epidemiologicamente, essa é uma causa de dor com maior probabilidade em qual região do joelho?

 

Provas

Questão presente nas seguintes provas
486553 Ano: 2019
Disciplina: Medicina
Banca: IADES
Orgão: ALEGO
A respeito das amputações, assinale a alternativa correta.
 

Provas

Questão presente nas seguintes provas
486543 Ano: 2019
Disciplina: Medicina
Banca: IADES
Orgão: ALEGO
Um paciente de 6 anos de idade, negro, com histórico de anemia falciforme com crises frequentes, consulta em PS ortopédico por queixa de aumento de volume importante do joelho esquerdo, dor intensa, restrição de movimentação e febre há três dias. No exame físico, há bloqueio articular importante, edema articular de grande volume, dor intensa e calor local. É realizada punção articular sob técnica estéril, com drenagem de secreção francamente purulenta.

Quanto a esse caso clínico e à principal hipótese diagnóstica desse paciente, é correto afirmar que a etiopatogenia mais comum seria
 

Provas

Questão presente nas seguintes provas
486537 Ano: 2019
Disciplina: Medicina
Banca: IADES
Orgão: ALEGO
Uma paciente de 18 anos de idade envolveu-se em colisão carro x caminhão, sofrendo fraturas múltiplas de pelve. Após correção cirúrgica e intensa fisioterapia por três meses, ainda se manteve com leve dificuldade de fletir o joelho do lado esquerdo. Na ultrassonografia da coxa, nota-se uma atrofia importante do músculo grácil. Considerando esse quadro clínico, é correto afirmar que o provável nervo lesado é o (a)
 

Provas

Questão presente nas seguintes provas
486534 Ano: 2019
Disciplina: Medicina
Banca: IADES
Orgão: ALEGO

enunciado 486534-1

Um paciente de 44 anos de idade tentou suicídio atirando-se na frente de um ônibus. O motorista desviou-se, mas a perna esquerda do paciente foi atropelada, com fraturas múltiplas de tíbia e fíbula, manejadas com uso de fixador externo. O paciente atualmente se queixa de insensibilidade nas zonas 3 e 4, representadas na figura. Quais nervos devem ter sido afetados, respectivamente?

 

Provas

Questão presente nas seguintes provas
486533 Ano: 2019
Disciplina: Medicina
Banca: IADES
Orgão: ALEGO

enunciado 486533-1

Um paciente apresentou queda de altura, tendo aparado a queda com a região tenar da mão, gerando a fratura representada na imagem.

Com base no caso clínico apresentado, é correto afirmar que se trata de uma fratura de

 

Provas

Questão presente nas seguintes provas
486532 Ano: 2019
Disciplina: Medicina
Banca: IADES
Orgão: ALEGO

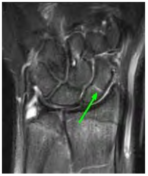
enunciado 486532-1

Uma paciente de 32 anos de idade sofreu queda sobre a mão espalmada. Após exame físico, foi realizado o exame de imagem apresentado.

A respeito desse caso clínico e da fratura indicada na imagem, assinale a alternativa correta.

 

Provas

Questão presente nas seguintes provas