Magna Concursos

Foram encontradas 260 questões.

3560336 Ano: 2024
Disciplina: Fonoaudiologia
Banca: VUNESP
Orgão: AC Carmargo

De acordo com Jotz et al. (2018), a fonoterapia pode ser iniciada antes e durante a radioterapia, com intenção de reduzir e/ou adaptar as alterações da comunicação oral e/ou deglutição decorrentes da radiação. Embora ainda não haja estudos de efetividade dessa proposta de tratamento, a prática clínica sugere benefícios aos pacientes, em temos de melhor adaptação às sequelas ao término do tratamento radioterápico. De acordo com os autores, além dos registros das avaliações vocais e de deglutição na fase pré-radioterapia, a principal estratégia utilizada é

 

Provas

Questão presente nas seguintes provas
3560335 Ano: 2024
Disciplina: Fonoaudiologia
Banca: VUNESP
Orgão: AC Carmargo

A disfagia decorrente do câncer de cabeça e pescoço em geral é multifatorial e pode ser tratada por meio de diferentes abordagens, sejam elas , que modificam a função de deglutição apenas durante a sua utilização, ou , que são utilizadas para melhorar a função de deglutição por meio da mudança da fisiologia e do funcionamento muscular. Assinale a alternativa que completa, correta e respectivamente, as lacunas do excerto.

 

Provas

Questão presente nas seguintes provas
3560334 Ano: 2024
Disciplina: Fonoaudiologia
Banca: VUNESP
Orgão: AC Carmargo

Não há contraindicações específicas de indicação de videoendocoscopia (nasofibroscopia) e videofluoroscopia da deglutição para os pacientes oncológicos, diferentemente de outras doenças de base da disfagia. Porém, deformidades anatômicas do tumor ou decorrentes do tratamento oncológico podem limitar a possibilidade de execução desses exames. Assinale a alternativa que corrobora com o excerto.

 

Provas

Questão presente nas seguintes provas
3560333 Ano: 2024
Disciplina: Fonoaudiologia
Banca: VUNESP
Orgão: AC Carmargo

O conceito de Prática Baseada em Evidência (PBE) refere- se ao uso consciente, responsável, explícito e cuidadoso da melhor evidência disponível para a tomada de decisão relacionada com o cuidado de um indivíduo. Por meio de indicadores de performance diagnóstica é possível investigar uma condição de saúde com instrumentos de rastreamento ou avaliação que gerem resultados válidos e confiáveis para a tomada de decisão. Um dos tipos de indicadores de performance diagnóstica utilizado na área da saúde é a verificação matemática de como duas ou mais variáveis se relacionam e representam um recurso útil para a tomada de decisão ao permitir a identificação dos fatores que trazem mais impacto a uma determinada questão de saúde. Esse modelo tem o intuito de realizar previsões sobre o comportamento de algum fenômeno ou determinar os efeitos sobre a variável resposta ou de interesse em decorrência de alterações introduzidas nas covariáveis.

Esse tipo de indicador refere-se

 

Provas

Questão presente nas seguintes provas
3560332 Ano: 2024
Disciplina: Fonoaudiologia
Banca: VUNESP
Orgão: AC Carmargo

Assinale a alternativa que corretamente descreve o fenômeno “White out” nos procedimentos de execução da Videoendoscopia da Deglutição (VED).

 

Provas

Questão presente nas seguintes provas
3560331 Ano: 2024
Disciplina: Fonoaudiologia
Banca: VUNESP
Orgão: AC Carmargo

A interpretação dos resultados da Videofluoroscopia da deglutição (VFD), considerando a motilidade da orofaringe, permite: i) uma análise qualitativa de presença e grau de estase, penetrações e aspirações; ii) caracterizar o momento (antes, durante ou após a deglutição) de suas ocorrências, o grau e a sistematicidade. Com base no excerto, é correto afirmar que, na fase oral, a alteração na mobilidade da mandíbula tem como consequência a

 

Provas

Questão presente nas seguintes provas
3560330 Ano: 2024
Disciplina: Fonoaudiologia
Banca: VUNESP
Orgão: AC Carmargo

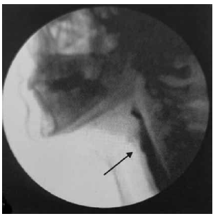
Segundo Magalhães e Magnoni (2022), nos pacientes oncológicos, principalmente com câncer de cabeça e pescoço, há modificações na anatomia e é importante conhecê-las para melhor avaliação.

Observe o exame a seguir:

Enunciado 4185785-1

(Magalhães e Magnoni: Disfagia orofaríngea no adulto em ambiente hospitalar. Rubio, 2022. p. 89)

O resultado do exame apresentado é compatível com um exemplo de

 

Provas

Questão presente nas seguintes provas
3560329 Ano: 2024
Disciplina: Fonoaudiologia
Banca: VUNESP
Orgão: AC Carmargo

A Videofluoroscopia da Deglutição (VFD) possibilita a avaliação completa e dinâmica de todas as fases da deglutição, bem como apresenta grande sensibilidade e especificidade na detecção de aspiração. Observe a figura a seguir.

Enunciado 4185784-1

(Magalhães e Magnoni: Disfagia orofaríngea no adulto em ambiente hospitalar. Rubio, 2022. p. 81)

Assinale a alternativa que apresenta uma descrição compatível com o exame apresentado.

 

Provas

Questão presente nas seguintes provas
3560328 Ano: 2024
Disciplina: Fonoaudiologia
Banca: VUNESP
Orgão: AC Carmargo

Nos pacientes com Acidente Vascular Encefálico (AVE) hemorrágico, além da escala de Glasgow, é importante ter conhecimento do quão grave pode ser a hemorragia. A hemorragia subaracnóidea (HSA) representa de 5% a 10% de todos os tipos de AVE. As alterações das funções cerebrais parecem estar relacionadas com o sangue nesse espaço. Assinale a alternativa que denomina corretamente a escala que mede o conteúdo hemático realizada por meio da tomografia computadorizada (TC).

 

Provas

Questão presente nas seguintes provas
3560327 Ano: 2024
Disciplina: Fonoaudiologia
Banca: VUNESP
Orgão: AC Carmargo

Antes da avaliação fonoaudiológica e diariamente durante todo o processo terapêutico, é importante verificar em que nível da escala de coma de Glasgow o paciente se encontra, uma vez que, dependendo do escore encontrado, não é possível iniciar a avaliação ou prosseguir com os atendimentos. A escala se baseia em três indicadores: abertura ocular, resposta verbal e resposta motora. Assinale a alternativa que apresenta, correta e respectivamente, uma resposta observada para cada um dos indicadores mencionados.

 

Provas

Questão presente nas seguintes provas